ARG44351
anti-XPNPEP3 antibody
anti-XPNPEP3 antibody for ICC/IF,Western blot and Human,Mouse,Rat
概述
| 产品描述 | Rabbit Polyclonal antibody recognizes XPNPEP3 |
|---|---|
| 反应物种 | Hu, Ms, Rat |
| 应用 | ICC/IF, WB |
| 宿主 | Rabbit |
| 克隆 | Polyclonal |
| 同位型 | IgG |
| 靶点名称 | XPNPEP3 |
| 抗原物种 | Human |
| 抗原 | Human XPNPEP3 recombinant fusion protein (a.a. sequence: 1-250). |
| 偶联标记 | Un-conjugated |
| 別名 | XPNPEP3; X-Prolyl Aminopeptidase 3; APP3; NPHPL1; ICP55; X-Prolyl Aminopeptidase 3, Mitochondrial; Intermediate Cleaving Peptidase 55; Xaa-Pro Aminopeptidase 3; X-Pro Aminopeptidase 3; X-Prolyl Aminopeptidase (Aminopeptidase P) 3, Putative; Probable Xaa-Pro Aminopeptidase 3; Aminopeptidase P3; EC 3.4.11.9 |
应用说明
| 应用建议 |
|
||||||
|---|---|---|---|---|---|---|---|
| 应用说明 | * The dilutions indicate recommended starting dilutions and the optimal dilutions or concentrations should be determined by the scientist. |
属性
| 形式 | Liquid |
|---|---|
| 纯化 | Affinity purified. |
| 缓冲液 | PBS, 0.01% Thimerosal and 50% Glycerol. |
| 抗菌剂 | 0.01% Thimerosal |
| 稳定剂 | 50% Glycerol |
| 存放说明 | For continuous use, store undiluted antibody at 2-8°C for up to a week. For long-term storage, aliquot and store at -20°C. Storage in frost free freezers is not recommended. Avoid repeated freeze/thaw cycles. Suggest spin the vial prior to opening. The antibody solution should be gently mixed before use. |
| 注意事项 | For laboratory research only, not for drug, diagnostic or other use. |
生物信息
| 数据库连接 | |
|---|---|
| 基因名称 | XPNPEP3 |
| 全名 | X-Prolyl Aminopeptidase 3 |
| 背景介绍 | The protein encoded by this gene belongs to the family of X-pro-aminopeptidases that utilize a metal cofactor, and remove the N-terminal amino acid from peptides with a proline residue in the penultimate position. This protein has been shown to localize to the mitochondria of renal cells, and have a role in ciliary function. Mutations in this gene are associated with nephronophthisis-like nephropathy-1. Alternatively spliced transcript variants encoding different isoforms have been noted for this gene, however, expression of some of these isoforms in vivo is not known. |
| 生物功能 | Catalyzes the removal of a penultimate prolyl residue from the N-termini of peptides, such as Leu-Pro-Ala. |
| 细胞定位 | Cytoplasm, Mitochondrion |
| 预测分子量 | 57 kDa |
检测图片 (3) Click the Picture to Zoom In
-
ARG44351 anti-XPNPEP3 antibody ICC/IF image
Immunofluorescence: L929 stained with ARG44351 anti-XPNPEP3 antibody at 1:100 dilution.
-
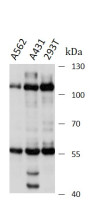
ARG44351 anti-XPNPEP3 antibody WB image
Western blot: A562, A431 and 293 stained with ARG44351 anti-XPNPEP3 antibody at 1:1000 dilution.
-
ARG44351 anti-XPNPEP3 antibody WB image
Western blot: Mouse kidney and Mouse heart stained with ARG44351 anti-XPNPEP3 antibody at 1:1000 dilution.
