ARG59194
anti-XDH / Xanthine Oxidase antibody
anti-XDH / Xanthine Oxidase antibody for Flow cytometry,IHC-Formalin-fixed paraffin-embedded sections,Western blot and Human,Mouse,Rat
概述
| 产品描述 | Rabbit Polyclonal antibody recognizes XDH / Xanthine Oxidase |
|---|---|
| 反应物种 | Hu, Ms, Rat |
| 应用 | FACS, IHC-P, WB |
| 宿主 | Rabbit |
| 克隆 | Polyclonal |
| 同位型 | IgG |
| 靶点名称 | XDH / Xanthine Oxidase |
| 抗原物种 | Human |
| 抗原 | Recombinant protein corresponding to T2-K343 of Human XDH / Xanthine Oxidase. |
| 偶联标记 | Un-conjugated |
| 別名 | EC 1.17.1.4; XOR; XO; Xanthine dehydrogenase/oxidase [Includes: Xanthine dehydrogenase; XD; EC 1.17.3.2; Xanthine oxidoreductase |
应用说明
| 应用建议 |
|
||||||||
|---|---|---|---|---|---|---|---|---|---|
| 应用说明 | IHC-P: Antigen Retrieval: Heat mediation was performed in Citrate buffer (pH 6.0) for 20 min. * The dilutions indicate recommended starting dilutions and the optimal dilutions or concentrations should be determined by the scientist. |
属性
| 形式 | Liquid |
|---|---|
| 纯化 | Affinity purification with immunogen. |
| 缓冲液 | 0.9% NaCl, 0.2% Na2HPO4, 0.05% Sodium azide and 5% BSA. |
| 抗菌剂 | 0.05% Sodium azide |
| 稳定剂 | 5% BSA |
| 浓度 | 0.5 mg/ml |
| 存放说明 | For continuous use, store undiluted antibody at 2-8°C for up to a week. For long-term storage, aliquot and store at -20°C or below. Storage in frost free freezers is not recommended. Avoid repeated freeze/thaw cycles. Suggest spin the vial prior to opening. The antibody solution should be gently mixed before use. |
| 注意事项 | For laboratory research only, not for drug, diagnostic or other use. |
生物信息
| 数据库连接 | |
|---|---|
| 基因名称 | XDH |
| 全名 | xanthine dehydrogenase |
| 背景介绍 | Xanthine dehydrogenase belongs to the group of molybdenum-containing hydroxylases involved in the oxidative metabolism of purines. The encoded protein has been identified as a moonlighting protein based on its ability to perform mechanistically distinct functions. Xanthine dehydrogenase can be converted to xanthine oxidase by reversible sulfhydryl oxidation or by irreversible proteolytic modification. Defects in xanthine dehydrogenase cause xanthinuria, may contribute to adult respiratory stress syndrome, and may potentiate influenza infection through an oxygen metabolite-dependent mechanism. [provided by RefSeq, Jan 2014] |
| 生物功能 | Key enzyme in purine degradation. Catalyzes the oxidation of hypoxanthine to xanthine. Catalyzes the oxidation of xanthine to uric acid. Contributes to the generation of reactive oxygen species. Has also low oxidase activity towards aldehydes (in vitro). [UniProt] |
| 细胞定位 | Cytoplasm. Peroxisome. Secreted. [UniProt] |
| 预测分子量 | 146 kDa |
| 翻译后修饰 | Subject to partial proteolysis; this alters the enzyme from the dehydrogenase form (D) to the oxidase form (O). Contains sulfhydryl groups that are easily oxidized (in vitro); this alters the enzyme from the dehydrogenase form (D) to the oxidase form (O). [UniProt] |
检测图片 (4) Click the Picture to Zoom In
-
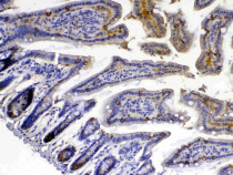
ARG59194 anti-XDH / Xanthine Oxidase antibody IHC-P image
Immunohistochemistry: Paraffin-embedded Mouse intestine tissue. Antigen Retrieval: Heat mediated was performed in Citrate buffer (pH 6.0, epitope retrieval solution) for 20 min. The tissue section was blocked with 10% goat serum. The tissue section was then stained with ARG59194 anti-XDH / Xanthine Oxidase antibody at 1 µg/ml dilution, overnight at 4°C.
-
ARG59194 anti-XDH / Xanthine Oxidase antibody WB image
Western blot: 50 µg of samples under reducing conditions. Rat liver and Mouse liver tissue lysates stained with ARG59194 anti-XDH / Xanthine Oxidase antibody at 0.5 µg/ml, overnight at 4°C.
-
ARG59194 anti-XDH / Xanthine Oxidase antibody FACS image
Flow Cytometry: A431 cells were blocked with 10% normal goat serum and then stained with ARG59194 anti-XDH / Xanthine Oxidase antibody (blue) at 1 µg/10^6 cells for 30 min at 20°C, followed by incubation with DyLight®488 labelled secondary antibody. Isotype control antibody (green) was rabbit IgG (1 µg/10^6 cells) used under the same conditions. Unlabelled sample (red) was also used as a control.
-
ARG59194 anti-XDH / Xanthine Oxidase antibody IHC-P image
Immunohistochemistry: Paraffin-embedded Rat intestine tissue. Antigen Retrieval: Heat mediated was performed in Citrate buffer (pH 6.0, epitope retrieval solution) for 20 min. The tissue section was blocked with 10% goat serum. The tissue section was then stained with ARG59194 anti-XDH / Xanthine Oxidase antibody at 1 µg/ml dilution, overnight at 4°C.
