ARG59427
anti-XAF1 antibody
anti-XAF1 antibody for IHC-Formalin-fixed paraffin-embedded sections,Western blot and Human,Mouse,Rat
概述
| 产品描述 | Rabbit Polyclonal antibody recognizes XAF1 |
|---|---|
| 反应物种 | Hu, Ms, Rat |
| 应用 | IHC-P, WB |
| 宿主 | Rabbit |
| 克隆 | Polyclonal |
| 同位型 | IgG |
| 靶点名称 | XAF1 |
| 抗原物种 | Human |
| 抗原 | Synthetic peptide within the last 50 amino acids of Human XAF1. |
| 偶联标记 | Un-conjugated |
| 別名 | BIRC4-binding protein; XIAPAF1; HSXIAPAF1; XIAP-associated factor 1; BIRC4BP |
应用说明
| 应用建议 |
|
||||||
|---|---|---|---|---|---|---|---|
| 应用说明 | * The dilutions indicate recommended starting dilutions and the optimal dilutions or concentrations should be determined by the scientist. | ||||||
| 阳性对照 | Human spleen | ||||||
| 实际分子量 | 32 kDa |
属性
| 形式 | Liquid |
|---|---|
| 纯化 | Affinity purification with immunogen. |
| 缓冲液 | PBS and 0.02% Sodium azide |
| 抗菌剂 | 0.02% Sodium azide |
| 浓度 | 1 mg/ml |
| 存放说明 | For continuous use, store undiluted antibody at 2-8°C for up to a week. For long-term storage, aliquot and store at -20°C or below. Storage in frost free freezers is not recommended. Avoid repeated freeze/thaw cycles. Suggest spin the vial prior to opening. The antibody solution should be gently mixed before use. |
| 注意事项 | For laboratory research only, not for drug, diagnostic or other use. |
生物信息
| 数据库连接 | |
|---|---|
| 基因名称 | XAF1 |
| 全名 | XIAP associated factor 1 |
| 背景介绍 | This gene encodes a protein which binds to and counteracts the inhibitory effect of a member of the IAP (inhibitor of apoptosis) protein family. IAP proteins bind to and inhibit caspases which are activated during apoptosis. The proportion of IAPs and proteins which interfere with their activity, such as the encoded protein, affect the progress of the apoptosis signaling pathway. Multiple transcript variants encoding different isoforms have been found for this gene. [provided by RefSeq, Feb 2012] |
| 生物功能 | Seems to function as a negative regulator of members of the IAP (inhibitor of apoptosis protein) family. Inhibits anti-caspase activity of BIRC4. Induces cleavage and inactivation of BIRC4 independent of caspase activation. Mediates TNF-alpha-induced apoptosis and is involved in apoptosis in trophoblast cells. May inhibit BIRC4 indirectly by activating the mitochondrial apoptosis pathway. After translocation to mitochondra, promotes translocation of BAX to mitochondria and cytochrome c release from mitochondria. Seems to promote the redistribution of BIRC4 from the cytoplasm to the nucleus, probably independent of BIRC4 inactivation which seems to occur in the cytoplasm. The BIRC4-XAF1 complex mediates down-regulation of BIRC5/survivin; the process requires the E3 ligase activity of BIRC4. Seems to be involved in cellular sensitivity to the proapoptotic actions of TRAIL. May be a tumor suppressor by mediating apoptosis resistance of cancer cells. [UniProt] |
| 细胞定位 | Cytoplasm. Nucleus. Mitochondrion. Note=Found in the cytoplasm and nucleus of placental syncytiotrophoblasts. Translocates to mitochondria upon TNF-alpha treatment. Isoform 1: Nucleus. Isoform 5: Nucleus. [UniProt] |
| 预测分子量 | 35 kDa |
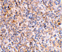
检测图片 (3) Click the Picture to Zoom In
-
ARG59427 anti-XAF1 antibody IHC-P image
Immunohistochemistry: Paraffin-embedded Human spleen stained with ARG59427 anti-XAF1 antibody at 10 µg/ml dilution.
-
ARG59427 anti-XAF1 antibody WB image
Western blot: Human spleen lysate stained with ARG59427 anti-XAF1 antibody at 0.5, 1 and 2 µg/ml dilutions.
-
ARG59427 anti-XAF1 antibody IHC-P image
Immunohistochemistry: Paraffin-embedded Human spleen stained with ARG59427 anti-XAF1 antibody at 2 µg/ml dilution.
