ARG41698
anti-Wnt7b antibody
anti-Wnt7b antibody for IHC-Formalin-fixed paraffin-embedded sections,Western blot and Human,Mouse
概述
| 产品描述 | Rabbit Polyclonal antibody recognizes Wnt7b |
|---|---|
| 反应物种 | Hu, Ms |
| 预测物种 | Cow, Rat, Dog, Gpig, Hrs, Pig |
| 应用 | IHC-P, WB |
| 宿主 | Rabbit |
| 克隆 | Polyclonal |
| 同位型 | IgG |
| 靶点名称 | Wnt7b |
| 抗原物种 | Human |
| 抗原 | Synthetic peptide around the middle region of Human Wnt7b. (within the following region: WTTLPKFREVGHLLKEKYNAAVQVEVVRASRLRQPTFLRIKQLRSYQKPM) |
| 偶联标记 | Un-conjugated |
| 別名 | Protein Wnt-7b |
应用说明
| 预测反应性说明 | Predicted Homology Based On Immunogen Sequence: Cow: 100%; Dog: 100%; Guinea pig: 86%; Horse: 100%; Pig: 100%; Rat: 100% | ||||||
|---|---|---|---|---|---|---|---|
| 应用建议 |
|
||||||
| 应用说明 | IHC-P: Antigen Retrieval: Heat mediation was recommended. * The dilutions indicate recommended starting dilutions and the optimal dilutions or concentrations should be determined by the scientist. |
||||||
| 阳性对照 | MCF7 | ||||||
| 实际分子量 | ~ 36 kDa |
属性
| 形式 | Liquid |
|---|---|
| 纯化 | Affinity purified. |
| 缓冲液 | PBS, 0.09% (w/v) Sodium azide and 2% Sucrose. |
| 抗菌剂 | 0.09% (w/v) Sodium azide |
| 稳定剂 | 2% Sucrose |
| 浓度 | Batch dependent: 0.5 - 1 mg/ml |
| 存放说明 | For continuous use, store undiluted antibody at 2-8°C for up to a week. For long-term storage, aliquot and store at -20°C or below. Storage in frost free freezers is not recommended. Avoid repeated freeze/thaw cycles. Suggest spin the vial prior to opening. The antibody solution should be gently mixed before use. |
| 注意事项 | For laboratory research only, not for drug, diagnostic or other use. |
生物信息
| 数据库连接 | |
|---|---|
| 基因名称 | WNT7B |
| 全名 | wingless-type MMTV integration site family, member 7B |
| 背景介绍 | This gene is a member of the WNT gene family, which consists of structurally related genes that encode secreted signaling proteins. These proteins have been implicated in oncogenesis and in several developmental processes, including regulation of cell fate and patterning during embryogenesis. Among members of the human WNT family, this gene product is most similar to WNT7A protein. [provided by RefSeq, Oct 2008] |
| 生物功能 | Ligand for members of the frizzled family of seven transmembrane receptors. Probable developmental protein. May be a signaling molecule which affects the development of discrete regions of tissues. Is likely to signal over only few cell diameters (By similarity). [UniProt] |
| 细胞定位 | Secreted, extracellular space, extracellular matrix. Secreted. [UniProt] |
| 预测分子量 | 39 kDa |
| 翻译后修饰 | Palmitoleylation is required for efficient binding to frizzled receptors. Depalmitoleylation leads to Wnt signaling pathway inhibition. [UniProt] |
检测图片 (3) Click the Picture to Zoom In
-
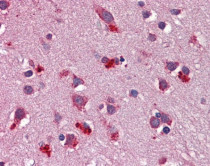
ARG41698 anti-Wnt7b antibody IHC-P image
Immunohistochemistry: Formalin-fixed and paraffin-embedded Human cerebral cortex tissue. Antigen Retrieval: Heat mediation was recommended. The tissue section was stained with ARG41698 anti-Wnt7b antibody at 5 µg/ml dilution.
-
ARG41698 anti-Wnt7b antibody WB image
Western blot: MCF7 cell lysate stained with ARG41698 anti-Wnt7b antibody at 1 µg/ml dilution.
-
ARG41698 anti-Wnt7b antibody WB image
Western blot: Mouse spleen lysate stained with ARG41698 anti-Wnt7b antibody at 1 µg/ml dilution.
