ARG59244
anti-Wnt2b antibody
anti-Wnt2b antibody for IHC-Formalin-fixed paraffin-embedded sections,Western blot and Human
概述
| 产品描述 | Rabbit Polyclonal antibody recognizes Wnt2b |
|---|---|
| 反应物种 | Hu |
| 预测物种 | Ms, Rat, Cow, Dog, Gpig, Hrs, Rb |
| 应用 | IHC-P, WB |
| 宿主 | Rabbit |
| 克隆 | Polyclonal |
| 同位型 | IgG |
| 靶点名称 | Wnt2b |
| 抗原物种 | Human |
| 抗原 | Synthetic peptide around the middle region of Human Wnt2b. (within the following region: LRTCWRALSDFRRTGDYLRRRYDGAVQVMATQDGANFTAARQGYRRATRT) |
| 偶联标记 | Un-conjugated |
| 別名 | Protein Wnt-13; WNT13; Protein Wnt-2b |
应用说明
| 预测反应性说明 | Predicted Homology Based On Immunogen Sequence: Cow: 100%; Dog: 100%; Guinea Pig: 100%; Horse: 100%; Mouse: 100%; Rabbit: 100%; Rat: 100% | ||||||
|---|---|---|---|---|---|---|---|
| 应用建议 |
|
||||||
| 应用说明 | * The dilutions indicate recommended starting dilutions and the optimal dilutions or concentrations should be determined by the scientist. | ||||||
| 阳性对照 | HepG2 | ||||||
| 实际分子量 | 37 kDa |
属性
| 形式 | Liquid |
|---|---|
| 纯化 | Affinity purified. |
| 缓冲液 | PBS, 0.09% (w/v) Sodium azide and 2% Sucrose. |
| 抗菌剂 | 0.09% (w/v) Sodium azide |
| 稳定剂 | 2% Sucrose |
| 浓度 | Batch dependent: 0.5 - 1 mg/ml |
| 存放说明 | For continuous use, store undiluted antibody at 2-8°C for up to a week. For long-term storage, aliquot and store at -20°C or below. Storage in frost free freezers is not recommended. Avoid repeated freeze/thaw cycles. Suggest spin the vial prior to opening. The antibody solution should be gently mixed before use. |
| 注意事项 | For laboratory research only, not for drug, diagnostic or other use. |
生物信息
| 数据库连接 | |
|---|---|
| 基因名称 | WNT2B |
| 全名 | wingless-type MMTV integration site family, member 2B |
| 背景介绍 | This gene encodes a member of the wingless-type MMTV integration site (WNT) family of highly conserved, secreted signaling factors. WNT family members function in a variety of developmental processes including regulation of cell growth and differentiation and are characterized by a WNT-core domain. This gene may play a role in human development as well as carcinogenesis. Alternative splicing results in multiple transcript variants. [provided by RefSeq, May 2014] |
| 生物功能 | Ligand for members of the frizzled family of seven transmembrane receptors. Probable developmental protein. May be a signaling molecule which affects the development of discrete regions of tissues. Is likely to signal over only few cell diameters. May be involved in normal development or differentiation as well as in carcinogenesis. [UniProt] |
| 细胞定位 | Secreted, extracellular space, extracellular matrix. Secreted. [UniProt] |
| 预测分子量 | 44 kDa |
| 翻译后修饰 | Palmitoleylation is required for efficient binding to frizzled receptors. Depalmitoleylation leads to Wnt signaling pathway inhibition. [UniProt] |
检测图片 (2) Click the Picture to Zoom In
-
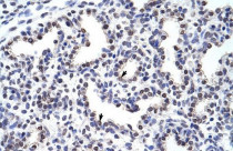
ARG59244 anti-Wnt2b antibody IHC-P image
Immunohistochemistry: Paraffin-embedded Human lung stained with ARG59244 anti-Wnt2b antibody at 4.0 - 8.0 µg/ml dilution. Magnification: 400X.
-
ARG59244 anti-Wnt2b antibody WB image
Western blot: HepG2 cell lysate stained with ARG59244 anti-Wnt2b antibody at 1.0 µg/ml dilution.
