ARG43049
anti-WWOX antibody [3D10]
anti-WWOX antibody [3D10] for Flow cytometry,ICC/IF,IHC-Formalin-fixed paraffin-embedded sections,Western blot and Human,Mouse,Rat
概述
| 产品描述 | Mouse Monoclonal antibody [3D10] recognizes WWOX |
|---|---|
| 反应物种 | Hu, Ms, Rat |
| 应用 | FACS, ICC/IF, IHC-P, WB |
| 宿主 | Mouse |
| 克隆 | Monoclonal |
| 克隆号 | 3D10 |
| 同位型 | IgG1 |
| 靶点名称 | WWOX |
| 抗原物种 | Human |
| 抗原 | Recombinant protein corresponding to M1-D245 of Human WWOX. |
| 偶联标记 | Un-conjugated |
| 別名 | D16S432E; EC 1.1.1.-; FRA16D; FOR; WOX1; EIEE28; WW domain-containing oxidoreductase; Short chain dehydrogenase/reductase family 41C member 1; SCAR12; Fragile site FRA16D oxidoreductase; HHCMA56; PRO0128; SDR41C1 |
应用说明
| 应用建议 |
|
||||||||||
|---|---|---|---|---|---|---|---|---|---|---|---|
| 应用说明 | IHC-P: Antigen Retrieval: Heat mediation was performed in EDTA buffer (pH 8.0). * The dilutions indicate recommended starting dilutions and the optimal dilutions or concentrations should be determined by the scientist. |
属性
| 形式 | Liquid |
|---|---|
| 纯化 | Affinity purification with immunogen. |
| 缓冲液 | 0.2% Na2HPO4, 0.9% NaCl, 0.05% Sodium azide and 4% Trehalose. |
| 抗菌剂 | 0.05% Sodium azide |
| 稳定剂 | 4% Trehalose |
| 浓度 | 0.5 mg/ml |
| 存放说明 | For continuous use, store undiluted antibody at 2-8°C for up to a week. For long-term storage, aliquot and store at -20°C or below. Storage in frost free freezers is not recommended. Avoid repeated freeze/thaw cycles. Suggest spin the vial prior to opening. The antibody solution should be gently mixed before use. |
| 注意事项 | For laboratory research only, not for drug, diagnostic or other use. |
生物信息
| 数据库连接 |
Swiss-port # Q91WL8 Mouse WW domain-containing oxidoreductase Swiss-port # Q9NZC7 Human WW domain-containing oxidoreductase |
|---|---|
| 基因名称 | WWOX |
| 全名 | WW domain containing oxidoreductase |
| 背景介绍 | This gene encodes a member of the short-chain dehydrogenases/reductases (SDR) protein family. This gene spans the FRA16D common chromosomal fragile site and appears to function as a tumor suppressor gene. Expression of the encoded protein is able to induce apoptosis, while defects in this gene are associated with multiple types of cancer. Disruption of this gene is also associated with autosomal recessive spinocerebellar ataxia 12. Disruption of a similar gene in mouse results in impaired steroidogenesis, additionally suggesting a metabolic function for the protein. Alternative splicing results in multiple transcript variants. [provided by RefSeq, May 2014] |
| 生物功能 | Putative oxidoreductase. Acts as a tumor suppressor and plays a role in apoptosis. Required for normal bone development (By similarity). May function synergistically with p53/TP53 to control genotoxic stress-induced cell death. Plays a role in TGFB1 signaling and TGFB1-mediated cell death. May also play a role in tumor necrosis factor (TNF)-mediated cell death. Inhibits Wnt signaling, probably by sequestering DVL2 in the cytoplasm. [UniProt] |
| 细胞定位 | Cytoplasm. Nucleus. Mitochondrion. Golgi apparatus. Note=Partially localizes to the mitochondria (PubMed:14695174). Translocates to the nucleus upon genotoxic stress or TNF stimulation (By similarity). Translocates to the nucleus in response to TGFB1 (PubMed:19366691). Isoform 5 and isoform 6 may localize in the nucleus. [UniProt] |
| 预测分子量 | 47 kDa |
| 翻译后修饰 | Phosphorylated upon genotoxic stress. Phosphorylation of Tyr-33 regulates interaction with TP53, TP73 and MAPK8. May also regulate proapoptotic activity. Phosphorylation by TNK2 is associated with polyubiquitination and degradation. Ubiquitinated when phosphorylated by TNK2, leading to its degradation. [UniProt] |
检测图片 (7) Click the Picture to Zoom In
-
ARG43049 anti-WWOX antibody [3D10] ICC/IF image
Immunofluorescence: A431 cells were blocked with 10% goat serum and then stained with ARG43049 anti-WWOX antibody [3D10] (green) at 5 µg/ml dilution, overnight at 4°C. DAPI (blue) for nuclear staining.
-
ARG43049 anti-WWOX antibody [3D10] IHC-P image
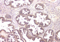
Immunohistochemistry: Paraffin-embedded Human mammary cancer tissue. Antigen Retrieval: Heat mediation was performed in EDTA buffer (pH 8.0). The tissue section was blocked with 10% goat serum. The tissue section was then stained with ARG43049 anti-WWOX antibody [3D10] at 1 µg/ml dilution, overnight at 4°C.
-
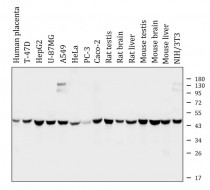
ARG43049 anti-WWOX antibody [3D10] WB image
Western blot: 50 µg of sample under reducing conditions. Human placenta, T-47D, HepG2, U-87MG, A549, HeLa, PC-3, Caco-2, Rat testis, Rat brain, Rat liver, Mouse testis, Mouse brain, Mouse liver and NIH/3T3 whole cell lysates stained with ARG43049 anti-WWOX antibody [3D10] at 0.5 µg/ml dilution, overnight at 4°C.
-
ARG43049 anti-WWOX antibody [3D10] FACS image
Flow Cytometry: U2OS cells were blocked with 10% normal goat serum and then stained with ARG43049 anti-WWOX antibody [3D10] (blue) at 1 µg/10^6 cells for 30 min at 20°C, followed by incubation with DyLight®488 labelled secondary antibody. Isotype control antibody (green) was mouse IgG (1 µg/10^6 cells) used under the same conditions. Unlabelled sample (red) was also used as a control.
-
ARG43049 anti-WWOX antibody [3D10] IHC-P image
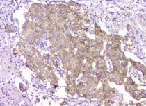
Immunohistochemistry: Paraffin-embedded Human ovarian cancer tissue. Antigen Retrieval: Heat mediation was performed in EDTA buffer (pH 8.0). The tissue section was blocked with 10% goat serum. The tissue section was then stained with ARG43049 anti-WWOX antibody [3D10] at 1 µg/ml dilution, overnight at 4°C.
-
ARG43049 anti-WWOX antibody [3D10] IHC-P image
Immunohistochemistry: Paraffin-embedded Rat testis tissue. Antigen Retrieval: Heat mediation was performed in EDTA buffer (pH 8.0). The tissue section was blocked with 10% goat serum. The tissue section was then stained with ARG43049 anti-WWOX antibody [3D10] at 1 µg/ml dilution, overnight at 4°C.
-
ARG43049 anti-WWOX antibody [3D10] IHC-P image
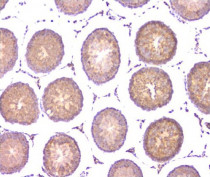
Immunohistochemistry: Paraffin-embedded Mouse testis tissue. Antigen Retrieval: Heat mediation was performed in EDTA buffer (pH 8.0). The tissue section was blocked with 10% goat serum. The tissue section was then stained with ARG43049 anti-WWOX antibody [3D10] at 1 µg/ml dilution, overnight at 4°C.
