ARG63606
anti-WHIP / WRNIP1 antibody
anti-WHIP / WRNIP1 antibody for IHC-Formalin-fixed paraffin-embedded sections,Western blot and Human
Gene Regulation antibody
概述
| 产品描述 | Goat Polyclonal antibody recognizes WHIP / WRNIP1 |
|---|---|
| 反应物种 | Hu |
| 预测物种 | Ms, Rat, Cow, Dog |
| 应用 | IHC-P, WB |
| 特异性 | This antibody is expected to recognise isoform 1 (NP_064520.2) and isoform 2 (NP_569079.1). |
| 宿主 | Goat |
| 克隆 | Polyclonal |
| 同位型 | IgG |
| 靶点名称 | WHIP / WRNIP1 |
| 抗原物种 | Human |
| 抗原 | EELRGVDFFKQRRC |
| 偶联标记 | Un-conjugated |
| 別名 | ATPase WRNIP1; EC 3.6.1.3; bA420G6.2; WHIP; Werner helicase-interacting protein 1 |
应用说明
| 应用建议 |
|
||||||
|---|---|---|---|---|---|---|---|
| 应用说明 | IHC-P: Antigen Retrieval: Steam tissue section in Tris/EDTA buffer (pH 9.0). WB: Recommend incubate at RT for 1h. * The dilutions indicate recommended starting dilutions and the optimal dilutions or concentrations should be determined by the scientist. |
属性
| 形式 | Liquid |
|---|---|
| 纯化 | Purified from goat serum by antigen affinity chromatography. |
| 缓冲液 | Tris saline (pH 7.3), 0.02% Sodium azide and 0.5% BSA. |
| 抗菌剂 | 0.02% Sodium azide |
| 稳定剂 | 0.5% BSA |
| 浓度 | 0.5 mg/ml |
| 存放说明 | For continuous use, store undiluted antibody at 2-8°C for up to a week. For long-term storage, aliquot and store at -20°C or below. Storage in frost free freezers is not recommended. Avoid repeated freeze/thaw cycles. Suggest spin the vial prior to opening. The antibody solution should be gently mixed before use. |
| 注意事项 | For laboratory research only, not for drug, diagnostic or other use. |
生物信息
| 数据库连接 | |
|---|---|
| 背景介绍 | Werner's syndrome is a rare autosomal recessive disorder characterized by accelerated aging that is caused by defects in the Werner syndrome ATP-dependent helicase gene (WRN). The protein encoded by this gene interacts with the exonuclease-containing N-terminal portion of the Werner protein. This protein has a ubiquitin-binding zinc-finger domain in the N-terminus, an ATPase domain, and two leucine zipper motifs in the C-terminus. It has sequence similarity to replication factor C family proteins and is conserved from E. coli to human. This protein likely accumulates at sites of DNA damage by interacting with polyubiquinated proteins and also binds to DNA polymerase delta and increases the initiation frequency of DNA polymerase delta-mediated DNA synthesis. This protein also interacts with nucleoporins at nuclear pore complexes. Two transcript variants encoding different isoforms have been isolated for this gene. [provided by RefSeq, Jul 2012] |
| 研究领域 | Gene Regulation antibody |
| 预测分子量 | 72 kDa |
| 翻译后修饰 | Sumoylated with SUMO1 and SUMO2/3. |
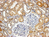
检测图片 (2) Click the Picture to Zoom In
-
ARG63606 anti-WHIP / WRNIP1 antibody WB image
Western Blot: Jurkat lysate (35 µg protein in RIPA buffer) stained with ARG63606 anti-WHIP / WRNIP1 antibody at 1 µg/ml dilution.
-
ARG63606 anti-WHIP / WRNIP1 antibody IHC-P image
Immunohistochemistry: paraffin embedded Human Kidney. (Steamed antigen retrieval with Tris/EDTA buffer pH 9) stained with ARG63606 anti-WHIP / WRNIP1 antibody at 4 µg/ml dilution followed by HRP-staining.
