ARG66842
anti-WDR83 / Morg1 antibody
anti-WDR83 / Morg1 antibody for IHC-Formalin-fixed paraffin-embedded sections,Western blot and Human
概述
| 产品描述 | Rabbit Polyclonal antibody recognizes WDR83 / Morg1 |
|---|---|
| 反应物种 | Hu |
| 预测物种 | Ms, Rat |
| 应用 | IHC-P, WB |
| 宿主 | Rabbit |
| 克隆 | Polyclonal |
| 同位型 | IgG |
| 靶点名称 | WDR83 / Morg1 |
| 抗原物种 | Human |
| 抗原 | Synthetic peptide between aa. 141-190 of Human WDR83 / Morg1. |
| 偶联标记 | Un-conjugated |
| 別名 | MAPK organizer 1; Mitogen-activated protein kinase organizer 1; WD repeat domain-containing protein 83; MORG1 |
应用说明
| 应用建议 |
|
||||||
|---|---|---|---|---|---|---|---|
| 应用说明 | * The dilutions indicate recommended starting dilutions and the optimal dilutions or concentrations should be determined by the scientist. | ||||||
| 阳性对照 | MCF7 | ||||||
| 实际分子量 | ~ 34 kDa |
属性
| 形式 | Liquid |
|---|---|
| 纯化 | Affinity purification with immunogen. |
| 缓冲液 | PBS, 0.02% Sodium azide, 50% Glycerol and 0.5% BSA. |
| 抗菌剂 | 0.02% Sodium azide |
| 稳定剂 | 50% Glycerol and 0.5% BSA |
| 浓度 | 1 mg/ml |
| 存放说明 | For continuous use, store undiluted antibody at 2-8°C for up to a week. For long-term storage, aliquot and store at -20°C. Storage in frost free freezers is not recommended. Avoid repeated freeze/thaw cycles. Suggest spin the vial prior to opening. The antibody solution should be gently mixed before use. |
| 注意事项 | For laboratory research only, not for drug, diagnostic or other use. |
生物信息
| 数据库连接 |
Swiss-port # Q9BRX9 Human WD repeat domain-containing protein 83 |
|---|---|
| 基因名称 | WDR83 |
| 全名 | WD repeat domain 83 |
| 背景介绍 | This gene encodes a member of the WD-40 protein family. The protein is proposed to function as a molecular scaffold for various multimeric protein complexes. The protein associates with several components of the extracellular signal-regulated kinase (ERK) pathway, and promotes ERK activity in response to serum or other signals. The protein also interacts with egl nine homolog 3 (EGLN3, also known as PHD3) and regulates expression of hypoxia-inducible factor 1, and has been purified as part of the spliceosome. Alternative splicing results in multiple transcript variants. [provided by RefSeq, Oct 2009] |
| 生物功能 | Molecular scaffold protein for various multimeric protein complexes. Acts as a module in the assembly of a multicomponent scaffold for the ERK pathway, linking ERK responses to specific agonists. At low concentrations it enhances ERK activation, whereas high concentrations lead to the inhibition of ERK activation. Also involved in response to hypoxia by acting as a negative regulator of HIF1A/HIF-1-alpha via its interaction with EGLN3/PHD3. May promote degradation of HIF1A. May act by recruiting signaling complexes to a specific upstream activator (By similarity). May also be involved in pre-mRNA splicing. [UniProt] |
| 细胞定位 | Cytoplasm. Nucleus. Note=Predominantly cytoplasmic. Partially nuclear. [UniProt] |
| 预测分子量 | 34 kDa |
检测图片 (3) Click the Picture to Zoom In
-
ARG66842 anti-WDR83 / Morg1 antibody IHC-P image
Immunohistochemistry: Paraffin-embedded Human muscle tissue stained with ARG66842 anti-WDR83 / Morg1 antibody at 1:100 dilution.
-
ARG66842 anti-WDR83 / Morg1 antibody WB image
Western blot: MCF7 cell lysate stained with ARG66842 anti-WDR83 / Morg1 antibody.
-
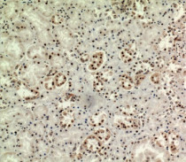
ARG66842 anti-WDR83 / Morg1 antibody IHC-P image
Immunohistochemistry: Paraffin-embedded Human kidney tissue stained with ARG66842 anti-WDR83 / Morg1 antibody at 1:100 dilution.
