ARG45259
anti-WDR44 antibody
anti-WDR44 antibody for Flow cytometry,IHC-Formalin-fixed paraffin-embedded sections,Western blot and Human
概述
| 产品描述 | Polyclonal antibody recognizes WDR44 |
|---|---|
| 反应物种 | Hu |
| 应用 | FACS, IHC-P, WB |
| 宿主 | Rabbit |
| 克隆 | Polyclonal |
| 同位型 | IgG |
| 靶点名称 | WDR44 |
| 抗原物种 | Human |
| 抗原 | Recombinant protein containing to human WDR44. |
| 偶联标记 | Un-conjugated |
| 別名 | WDR44; WD Repeat Domain 44; RPH11; Rabphilin-11; RAB11BP; SYM-4; WD Repeat-Containing Protein 44; Rab11-Binding Protein; DKFZp686L20145; Rab11BP |
应用说明
| 应用建议 |
|
||||||||
|---|---|---|---|---|---|---|---|---|---|
| 应用说明 | * The dilutions indicate recommended starting dilutions and the optimal dilutions or concentrations should be determined by the scientist. | ||||||||
| 实际分子量 | 130 kDa |
属性
| 形式 | Liquid |
|---|---|
| 纯化 | Affinity purification with immunogen. |
| 缓冲液 | 0.2% Na2HPO4, 0.9% NaCl and 4% Trehalose. |
| 稳定剂 | 4% Trehalose |
| 浓度 | 0.5 mg/ml |
| 存放说明 | For continuous use, store undiluted antibody at 2-8°C for up to a week. For long-term storage, aliquot and store at -20°C or below. Storage in frost free freezers is not recommended. Avoid repeated freeze/thaw cycles. Suggest spin the vial prior to opening. The antibody solution should be gently mixed before use. |
| 注意事项 | For laboratory research only, not for drug, diagnostic or other use. |
生物信息
| 数据库连接 | |
|---|---|
| 基因名称 | WDR44 |
| 全名 | WD Repeat Domain 44 |
| 背景介绍 | This gene encodes a protein that interacts with the small GTPase rab11. A similar protein in rat binds the GTP-containing active form of rab11. This protein may play a role in endosome recycling. Alternate splicing results in multiple transcript variants.[provided by RefSeq, May 2010] |
| 生物功能 | Downstream effector for Rab11 which regulates Rab11 intracellular membrane trafficking functions such as endocytic recycling, intracellular ciliogenesis and protein export. [UniProt] |
| 细胞定位 | Cytoplasm; Endosome; Golgi apparatus; Membrane. [UniProt] |
| 预测分子量 | 101 kDa |
| 翻译后修饰 | Acetylation; Phosphoprotein. [UniProt] |
检测图片 (3) Click the Picture to Zoom In
-
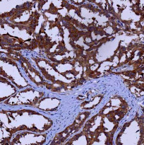
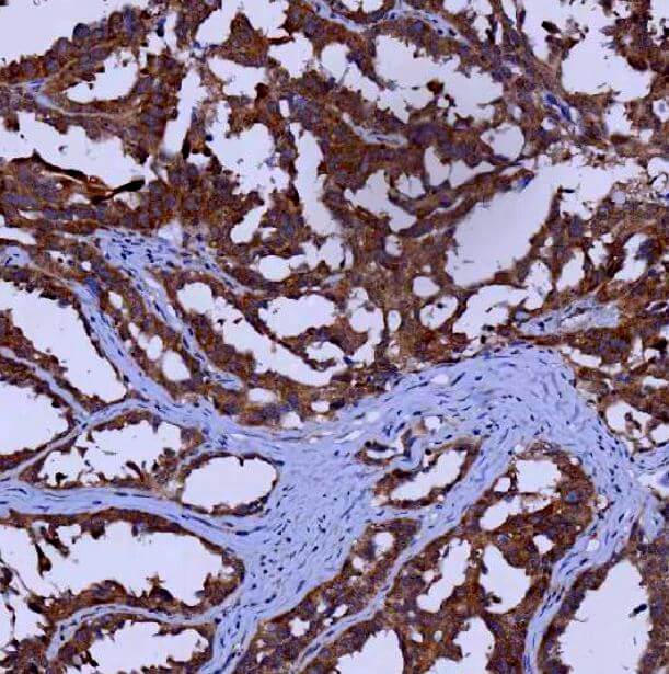
ARG45259 anti-WDR44 antibody IHC-P image
Immunohistochemistry: Human ovarian cancer stained with ARG45259 anti-WDR44 antibody at 2 μg/ml dilution.
-
ARG45259 anti-WDR44 antibody WB image
Western blot: Hela and HEL stained with ARG45259 anti-WDR44 antibody at 0.5 μg/ml dilution.
-
ARG45259 anti-WDR44 antibody FACS image
Flow Cytometry: SiHa stained with ARG45259 anti-WDR44 antibody at 1 µg/10^6 cells dilution.
