ARG55014
anti-WDR43 antibody
anti-WDR43 antibody for Flow cytometry,IHC-Formalin-fixed paraffin-embedded sections,Western blot and Human
Cell Biology and Cellular Response antibody; Gene Regulation antibody
概述
| 产品描述 | Rabbit Polyclonal antibody recognizes WDR43 |
|---|---|
| 反应物种 | Hu |
| 应用 | FACS, IHC-P, WB |
| 宿主 | Rabbit |
| 克隆 | Polyclonal |
| 同位型 | IgG |
| 靶点名称 | WDR43 |
| 抗原物种 | Human |
| 抗原 | KLH-conjugated synthetic peptide corresponding to aa. 636-665 (C-terminus) of Human WDR43. |
| 偶联标记 | Un-conjugated |
| 別名 | NET12; UTP5; WD repeat-containing protein 43 |
应用说明
| 应用建议 |
|
||||||||
|---|---|---|---|---|---|---|---|---|---|
| 应用说明 | * The dilutions indicate recommended starting dilutions and the optimal dilutions or concentrations should be determined by the scientist. | ||||||||
| 阳性对照 | HepG2 |
属性
| 形式 | Liquid |
|---|---|
| 纯化 | Purification with Protein A and immunogen peptide. |
| 缓冲液 | PBS and 0.09% (W/V) Sodium azide |
| 抗菌剂 | 0.09% (W/V) Sodium azide |
| 存放说明 | For continuous use, store undiluted antibody at 2-8°C for up to a week. For long-term storage, aliquot and store at -20°C or below. Storage in frost free freezers is not recommended. Avoid repeated freeze/thaw cycles. Suggest spin the vial prior to opening. The antibody solution should be gently mixed before use. |
| 注意事项 | For laboratory research only, not for drug, diagnostic or other use. |
生物信息
| 数据库连接 | |
|---|---|
| 基因名称 | WDR43 |
| 全名 | WD repeat domain 43 |
| 细胞定位 | Nucleus, nucleolus |
| 研究领域 | Cell Biology and Cellular Response antibody; Gene Regulation antibody |
| 预测分子量 | 75 kDa |
检测图片 (3) Click the Picture to Zoom In
-
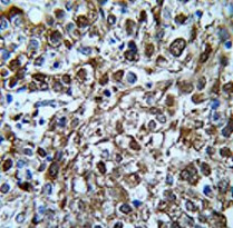
ARG55014 anti-WDR43 antibody IHC-P image
Immunohistochemistry: Formalin-fixed and paraffin-embedded Human cervix carcinoma stained with ARG55014 anti-WDR43 antibody.
-
ARG55014 anti-WDR43 antibody WB image
Western blot: 35 µg of HepG2 cell lysate stained with ARG55014 anti-WDR43 antibody.
-
ARG55014 anti-WDR43 antibody FACS image
Flow Cytometry: HepG2 cells stained with ARG55014 anti-WDR43 antibody (bottom histogram) or without primary antibody control (top histogram), followed by incubation with FITC labelled secondary antibody.
