ARG46636
anti-VISTA antibody [4C4]
anti-VISTA antibody [4C4] for Western blot,IHC-Formalin-fixed paraffin-embedded sections,ICC/IF,Flow cytometry and Human
概述
| 产品描述 | Mouse Monoclonal antibody [4C4] recognizes VISTA |
|---|---|
| 反应物种 | Hu |
| 应用 | FACS, ICC/IF, IHC-P, WB |
| 宿主 | Mouse |
| 克隆 | Monoclonal |
| 克隆号 | 4C4 |
| 同位型 | IgG1 |
| 靶点名称 | VISTA |
| 抗原物种 | Human |
| 抗原 | Extracellular domain of human VISTA. |
| 偶联标记 | Un-conjugated |
| 別名 | VSIR; B7H5; PP2135; GI24; Sisp-1; B7-H5; VISTA; DD1alpha; Platelet receptor Gi24; Stress-induced secreted protein-1; SISP1 |
应用说明
| 应用建议 |
|
||||||||||
|---|---|---|---|---|---|---|---|---|---|---|---|
| 应用说明 | * The dilutions indicate recommended starting dilutions and the optimal dilutions or concentrations should be determined by the scientist. | ||||||||||
| 实际分子量 | 47 kDa |
属性
| 纯化 | Purification with Protein A |
|---|---|
| 缓冲液 | PBS and 0.02% Sodium azide. |
| 抗菌剂 | 0.02% Sodium azide |
| 浓度 | 1 mg/ml |
| 存放说明 | For continuous use, store undiluted antibody at 2-8°C for up to a week. For long-term storage, aliquot and store at -20°C. Storage in frost free freezers is not recommended. Avoid repeated freeze/thaw cycles. Suggest spin the vial prior to opening. The antibody solution should be gently mixed before use. |
| 注意事项 | For laboratory research only, not for drug, diagnostic or other use. |
生物信息
| 数据库连接 | |
|---|---|
| 基因名称 | VSIR |
| 全名 | chromosome 10 open reading frame 54 |
| 生物功能 | May stimulate MMP14-mediated MMP2 activation. [UniProt] |
| 细胞定位 | Cytoplasm, Membrane |
| 预测分子量 | 31 kDa |
| 翻译后修饰 | At the cell surface, may be cleaved by MMP14. N-glycosylated. |
检测图片 (3) Click the Picture to Zoom In
-
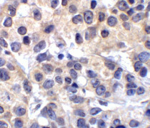
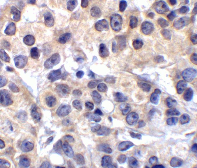
ARG46636 anti-VISTA antibody [4C4] IHC-P image
Immunohistochemistry: Human lymphoma stained with ARG46636 anti-VISTA antibody [4C4].
-
ARG46636 anti-VISTA antibody [4C4] ICC/IF image
Immunofluorescence: Transfected HEK293T cells stained with ARG46636 anti-VISTA antibody [4C4].
-
ARG46636 anti-VISTA antibody [4C4] WB image
Western blot: VISTA transfected HEK293T cells stained with ARG46636 anti-VISTA antibody [4C4].
