ARG54664
anti-VENTX antibody
anti-VENTX antibody for ELISA,ICC/IF,IHC-Formalin-fixed paraffin-embedded sections,Western blot and Human,Mouse,Rat
Gene Regulation antibody
概述
| 产品描述 | Rabbit Polyclonal antibody recognizes VENTX |
|---|---|
| 反应物种 | Hu, Ms, Rat |
| 应用 | ELISA, ICC/IF, IHC-P, WB |
| 宿主 | Rabbit |
| 克隆 | Polyclonal |
| 同位型 | IgG |
| 靶点名称 | VENTX |
| 抗原 | Synthetic peptide (16 aa) within aa. 120-170 of Human VENTX. |
| 偶联标记 | Un-conjugated |
| 別名 | VENT-like homeobox protein 2; HPX42B; VENTX2; VENT homeobox homolog; NA88A; Homeobox protein VENTX |
应用说明
| 应用建议 |
|
||||||||||
|---|---|---|---|---|---|---|---|---|---|---|---|
| 应用说明 | * The dilutions indicate recommended starting dilutions and the optimal dilutions or concentrations should be determined by the scientist. | ||||||||||
| 阳性对照 | Mouse Brain Tissue Lysate |
属性
| 形式 | Liquid |
|---|---|
| 纯化 | Affinity purification with immunogen. |
| 缓冲液 | PBS and 0.02% Sodium azide |
| 抗菌剂 | 0.02% Sodium azide |
| 浓度 | 1 mg/ml |
| 存放说明 | For continuous use, store undiluted antibody at 2-8°C for up to a week. For long-term storage, aliquot and store at -20°C or below. Storage in frost free freezers is not recommended. Avoid repeated freeze/thaw cycles. Suggest spin the vial prior to opening. The antibody solution should be gently mixed before use. |
| 注意事项 | For laboratory research only, not for drug, diagnostic or other use. |
生物信息
| 数据库连接 | |
|---|---|
| 基因名称 | VENTX |
| 全名 | VENT homeobox |
| 背景介绍 | VENTX Antibody: Lymphoid-enhancing factor/T-cell factors (LEF1/TCF) are a high-mobility group of transcriptional factors that play essential roles in cell fate determination during early embryogenesis and ontogenesis. VENTX is a member of the Vent family of homeodomain proteins. It is a novel LEF/TCF-associated transcriptional modulator. VENTX is predominately expressed in hematopoietic cells. VENTX may function as a transcriptional repressor and be involved in mesodermal patterning and hemapoietic stem cell maintenance, and has been suggested to have a potential role in the hematopoietic malignancies. | |
| 研究领域 | Gene Regulation antibody |
| 预测分子量 | 28 kDa |
检测图片 (3) Click the Picture to Zoom In
-
ARG54664 anti-VENTX antibody ICC/IF image
Immunofluorescence: rat brain tissue stained with ARG54664 anti-VENTX antibody at 20 μg/ml.
-
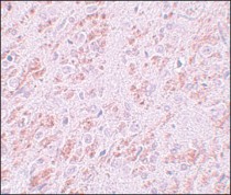
ARG54664 anti-VENTX antibody IHC image
Immunohistochemistry: rat brain tissue stained with ARG54664 anti-VENTX antibody at 5 μg/ml.
-
ARG54664 anti-VENTX antibody WB image
Western blot: mouse brain tissue lysate stained with ARG54664 anti-VENTX antibody at (A) 1 and (B) 2 μg/ml.
