ARG53026
anti-VEGFR2 antibody
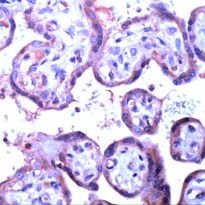
anti-VEGFR2 antibody for IHC-Formalin-fixed paraffin-embedded sections and Human,Mouse,Rat
Cancer antibody; Cell Biology and Cellular Response antibody; Controls and Markers antibody; Developmental Biology antibody; Metabolism antibody; Microbiology and Infectious Disease antibody; Signaling Transduction antibody
概述
| 产品描述 | Rabbit Polyclonal antibody recognizes VEGFR2 |
|---|---|
| 反应物种 | Hu, Ms, Rat |
| 应用 | IHC-P |
| 宿主 | Rabbit |
| 克隆 | Polyclonal |
| 同位型 | IgG |
| 靶点名称 | VEGFR2 |
| 抗原物种 | Human |
| 抗原 | Synthetic peptide derived from C-terminus of mouse FLK-1. |
| 偶联标记 | Un-conjugated |
| 別名 | FLK1; VEGFR; CD antigen CD309; FLK-1; Fetal liver kinase 1; VEGFR2; Vascular endothelial growth factor receptor 2; VEGFR-2; CD309; Kinase insert domain receptor; EC 2.7.10.1; Protein-tyrosine kinase receptor flk-1; KDR |
应用说明
| 应用建议 |
|
||||
|---|---|---|---|---|---|
| 应用说明 | IHC-P: Antigen Retrieval: Boil tissue section in 10mM citrate buffer, pH 6.0 for 10 min followed by cooling at RT for 20 min. Incubation Time: 30 min at RT. * The dilutions indicate recommended starting dilutions and the optimal dilutions or concentrations should be determined by the scientist. |
||||
| 阳性对照 | Angiosarcoma, Placenta |
属性
| 形式 | Liquid |
|---|---|
| 纯化 | Immunogen affinity purified |
| 缓冲液 | PBS (pH 7.6), 1% BSA and <0.1% Sodium azide |
| 抗菌剂 | <0.1% Sodium azide |
| 稳定剂 | 1% BSA |
| 存放说明 | For continuous use, store undiluted antibody at 2-8°C for up to a week. For long-term storage, aliquot and store at -20°C or below. Storage in frost free freezers is not recommended. Avoid repeated freeze/thaw cycles. Suggest spin the vial prior to opening. The antibody solution should be gently mixed before use. |
| 注意事项 | For laboratory research only, not for drug, diagnostic or other use. |
生物信息
| 数据库连接 | |
|---|---|
| 背景介绍 | FLK-1/KDR/VEGFR2, a cell membrane receptor kinase, is a high affinity receptor for vascular endothelial growth factor and is putatively involved in the growth of endothelial cells and angiogenesis. It contains seven immunoglobulin-like sequences in the extracellular domain and exhibits sequence similarity to FLT-1 and FLT-4. |
| 细胞定位 | Cytoplasm, Membrane |
| 研究领域 | Cancer antibody; Cell Biology and Cellular Response antibody; Controls and Markers antibody; Developmental Biology antibody; Metabolism antibody; Microbiology and Infectious Disease antibody; Signaling Transduction antibody |
| 预测分子量 | 152 kDa |
| 翻译后修饰 | N-glycosylated. Ubiquitinated. Tyrosine phosphorylation of the receptor promotes its poly-ubiquitination, leading to its degradation via the proteasome or lysosomal proteases. Autophosphorylated on tyrosine residues upon ligand binding. Autophosphorylation occurs in trans, i.e. one subunit of the dimeric receptor phosphorylates tyrosine residues on the other subunit. Phosphorylation at Tyr-951 is important for interaction with SH2D2A/TSAD and VEGFA-mediated reorganization of the actin cytoskeleton. Phosphorylation at Tyr-1175 is important for interaction with PLCG1 and SHB. Phosphorylation at Tyr-1214 is important for interaction with NCK1 and FYN. Dephosphorylated by PTPRB. Dephosphorylated by PTPRJ at Tyr-951, Tyr-996, Tyr-1054, Tyr-1059, Tyr-1175 and Tyr-1214. The inhibitory disulfide bond between Cys-1024 and Cys-1045 may serve as a specific molecular switch for H(2)S-induced modification that regulates VEGFR2 function. |
检测图片 (1) Click the Picture to Zoom In
