ARG40767
anti-VDR antibody
anti-VDR antibody for IHC-Formalin-fixed paraffin-embedded sections,Western blot and Human,Mouse,Rat
概述
| 产品描述 | Rabbit Polyclonal antibody recognizes VDR |
|---|---|
| 反应物种 | Hu, Ms, Rat |
| 预测物种 | Hm |
| 应用 | IHC-P, WB |
| 宿主 | Rabbit |
| 克隆 | Polyclonal |
| 同位型 | IgG |
| 靶点名称 | VDR |
| 抗原物种 | Human |
| 抗原 | Synthetic peptide corresponding to aa. 377-402 of Human VDR. (HLLYAKMIQKLADLRSLNEEHSKQYR) |
| 偶联标记 | Un-conjugated |
| 別名 | VDR; PPP1R163; NR1I1; 1,25-dihydroxyvitamin D3 receptor; Nuclear receptor subfamily 1 group I member 1; Vitamin D3 receptor; Vitamin D Receptor |
应用说明
| 应用建议 |
|
||||||
|---|---|---|---|---|---|---|---|
| 应用说明 | * The dilutions indicate recommended starting dilutions and the optimal dilutions or concentrations should be determined by the scientist. |
属性
| 形式 | Liquid |
|---|---|
| 纯化 | Affinity purification with immunogen. |
| 缓冲液 | 0.2% Na2HPO4, 0.9% NaCl, 0.05% Sodium azide and 5% BSA. |
| 抗菌剂 | 0.05% Sodium azide |
| 稳定剂 | 5% BSA |
| 浓度 | 0.5 mg/ml |
| 存放说明 | For continuous use, store undiluted antibody at 2-8°C for up to a week. For long-term storage, aliquot and store at -20°C or below. Storage in frost free freezers is not recommended. Avoid repeated freeze/thaw cycles. Suggest spin the vial prior to opening. The antibody solution should be gently mixed before use. |
| 注意事项 | For laboratory research only, not for drug, diagnostic or other use. |
生物信息
| 数据库连接 | |
|---|---|
| 基因名称 | VDR |
| 全名 | vitamin D (1,25- dihydroxyvitamin D3) receptor |
| 背景介绍 | This gene encodes the nuclear hormone receptor for vitamin D3. This receptor also functions as a receptor for the secondary bile acid lithocholic acid. The receptor belongs to the family of trans-acting transcriptional regulatory factors and shows sequence similarity to the steroid and thyroid hormone receptors. Downstream targets of this nuclear hormone receptor are principally involved in mineral metabolism though the receptor regulates a variety of other metabolic pathways, such as those involved in the immune response and cancer. Mutations in this gene are associated with type II vitamin D-resistant rickets. A single nucleotide polymorphism in the initiation codon results in an alternate translation start site three codons downstream. Alternative splicing results in multiple transcript variants encoding different proteins. [provided by RefSeq, Feb 2011] |
| 生物功能 | Nuclear hormone receptor. Transcription factor that mediates the action of vitamin D3 by controlling the expression of hormone sensitive genes. Recruited to promoters via its interaction with BAZ1B/WSTF which mediates the interaction with acetylated histones, an essential step for VDR-promoter association. Plays a central role in calcium homeostasis. [UniProt] |
| 细胞定位 | Nucleus. Cytoplasm. Note=Localizes mainly to the nucleus. Localization to the nucleus is enhanced by vitamin D3. [UniProt] |
| 预测分子量 | 48 kDa |
检测图片 (4) Click the Picture to Zoom In
-
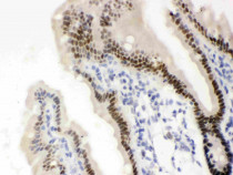
ARG40767 anti-VDR antibody IHC-P image
Immunohistochemistry: Paraffin-embedded Mouse intestine tissue stained with ARG40767 anti-VDR antibody.
-
ARG40767 anti-VDR antibody WB image
Western blot: 50 µg of Human placenta, 50 µg of Rat kidney, 50 µg of Rat liver, 50 µg of Rat pancreas and 40 µg of HeLa whole cell lysates stained with ARG40767 anti-VDR antibody at 0.5 µg/ml dilution.
-
ARG40767 anti-VDR antibody IHC-P image
Immunohistochemistry: Paraffin-embedded Rat intestine tissue stained with ARG40767 anti-VDR antibody.
-
ARG40767 anti-VDR antibody IHC-P image
Immunohistochemistry: Paraffin-embedded Human intestinal cancer tissue stained with ARG40767 anti-VDR antibody.
