ARG45186
anti-VDAC3 antibody
anti-VDAC3 antibody for Flow cytometry,IHC-Formalin-fixed paraffin-embedded sections,Western blot and Human,Mouse,Rat
概述
| 产品描述 | Rabbit Polyclonal antibody recognizes VDAC3 |
|---|---|
| 反应物种 | Hu, Ms, Rat |
| 应用 | FACS, IHC-P, WB |
| 宿主 | Rabbit |
| 克隆 | Polyclonal |
| 同位型 | IgG |
| 靶点名称 | VDAC3 |
| 抗原物种 | Human |
| 抗原 | Recombinant protein containing to human VDAC3. |
| 偶联标记 | Un-conjugated |
| 別名 | VDAC3; Voltage Dependent Anion Channel 3; HD-VDAC3; Voltage-Dependent Anion-Selective Channel Protein 3; Outer Mitochondrial Membrane Protein Porin 3; VDAC-3; HVDAC3 |
应用说明
| 应用建议 |
|
||||||||
|---|---|---|---|---|---|---|---|---|---|
| 应用说明 | * The dilutions indicate recommended starting dilutions and the optimal dilutions or concentrations should be determined by the scientist. | ||||||||
| 实际分子量 | 31 kDa |
属性
| 形式 | Liquid |
|---|---|
| 纯化 | Affinity purification with immunogen. |
| 缓冲液 | 0.9% NaCl, 0.2% Na2HPO4, 0.01% Sodium azide and 4% Trehalose. |
| 抗菌剂 | 0.01% Sodium azide |
| 稳定剂 | 4% Trehalose |
| 浓度 | 0.5 mg/ml |
| 存放说明 | For continuous use, store undiluted antibody at 2-8°C for up to a week. For long-term storage, aliquot and store at -20°C or below. Storage in frost free freezers is not recommended. Avoid repeated freeze/thaw cycles. Suggest spin the vial prior to opening. The antibody solution should be gently mixed before use. |
| 注意事项 | For laboratory research only, not for drug, diagnostic or other use. |
生物信息
| 数据库连接 | |
|---|---|
| 基因名称 | VDAC3 |
| 全名 | Voltage Dependent Anion Channel 3 |
| 背景介绍 | This gene encodes a voltage-dependent anion channel (VDAC), and belongs to the mitochondrial porin family. VDACs are small, integral membrane proteins that traverse the outer mitochondrial membrane and conduct ATP and other small metabolites. They are known to bind several kinases of intermediary metabolism, thought to be involved in translocation of adenine nucleotides, and are hypothesized to form part of the mitochondrial permeability transition pore, which results in the release of cytochrome c at the onset of apoptotic cell death. Alternatively transcript variants encoding different isoforms have been described for this gene. [provided by RefSeq, Oct 2011] |
| 生物功能 | Forms a channel through the mitochondrial outer membrane that allows diffusion of small hydrophilic molecules. [UniProt] |
| 细胞定位 | Membrane; Mitochondrion; Mitochondrion outer membrane. [UniProt] |
| 预测分子量 | 31 kDa |
| 翻译后修饰 | Acetylation; Isopeptide bond; Phosphoprotein; Ubl conjugation. [UniProt] |
检测图片 (7) Click the Picture to Zoom In
-
ARG45186 anti-VDAC3 antibody IHC-P image
Immunohistochemistry: Human testis cancer stained with ARG45186 anti-VDAC3 antibody at 2 μg/ml dilution.
-
ARG45186 anti-VDAC3 antibody WB image
Western blot: K562 and A431 stained with ARG45186 anti-VDAC3 antibody at 0.5 μg/ml dilution.
-
ARG45186 anti-VDAC3 antibody FACS image
Flow Cytometry: U20S stained with ARG45186 anti-VDAC3 antibody at 1 µg/10^6 cells dilution.
-
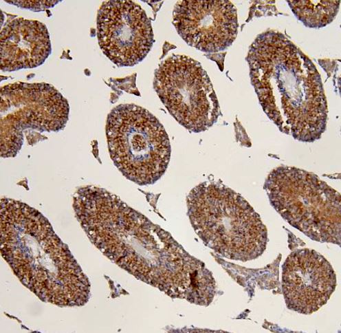
ARG45186 anti-VDAC3 antibody IHC-P image
Immunohistochemistry: Rat testis stained with ARG45186 anti-VDAC3 antibody at 2 μg/ml dilution.
-
ARG45186 anti-VDAC3 antibody WB image
Western blot: Rat heart and Rat kidney stained with ARG45186 anti-VDAC3 antibody at 0.5 μg/ml dilution.
-
ARG45186 anti-VDAC3 antibody IHC-P image
Immunohistochemistry: Mouse testis stained with ARG45186 anti-VDAC3 antibody at 2 μg/ml dilution.
-
ARG45186 anti-VDAC3 antibody WB image
Western blot: Mouse heart stained with ARG45186 anti-VDAC3 antibody at 0.5 μg/ml dilution.
