ARG43822
anti-VDAC1 / Porin antibody
anti-VDAC1 / Porin antibody for IHC-Formalin-fixed paraffin-embedded sections,Western blot and Human,Mouse,Rat
Controls and Markers antibody; Metabolism antibody; Signaling Transduction antibody
概述
| 产品描述 | Rabbit Polyclonal antibody recognizes VDAC1 / Porin |
|---|---|
| 反应物种 | Hu, Ms, Rat |
| 应用 | IHC-P, WB |
| 特异性 | Human,Mouse,Rat |
| 宿主 | Rabbit |
| 克隆 | Polyclonal |
| 同位型 | IgG |
| 靶点名称 | VDAC1 |
| 抗原物种 | Human |
| 抗原 | Synthetic peptide of human VDAC1. |
| 偶联标记 | Un-conjugated |
| Protein Full name | Voltage-dependent anion-selective channel protein 1 |
| 別名 | VDAC1; Voltage Dependent Anion Channel 1; PORIN; Voltage-Dependent Anion-Selective Channel Protein 1; Outer Mitochondrial Membrane Protein Porin 1; Plasmalemmal Porin; Porin 31HL; Porin 31HM; MGC111064; VDAC-1; Sperm Binding Protein 1a; HVDAC1; VDAC |
应用说明
| 应用建议 |
|
||||||
|---|---|---|---|---|---|---|---|
| 应用说明 | * The dilutions indicate recommended starting dilutions and the optimal dilutions or concentrations should be determined by the scientist. | ||||||
| 实际分子量 | 31 kDa |
属性
| 形式 | Liquid |
|---|---|
| 纯化 | Affinity Purified |
| 缓冲液 | Tris-Glycine, 0.15M NaCl, 40% Glycerol, 0.01% Sodium azide and 0.05% BSA |
| 抗菌剂 | 0.01% Sodium azide |
| 稳定剂 | 40% Glycerol and 0.05% BSA |
| 存放说明 | For continuous use, store undiluted antibody at 2-8°C for up to a week. For long-term storage, aliquot and store at -20°C or below. Storage in frost free freezers is not recommended. Avoid repeated freeze/thaw cycles. Suggest spin the vial prior to opening. The antibody solution should be gently mixed before use. |
| 注意事项 | For laboratory research only, not for drug, diagnostic or other use. |
生物信息
| 数据库连接 | |
|---|---|
| 基因名称 | VDAC1 |
| 全名 | voltage-dependent anion channel 1 |
| 背景介绍 | This gene encodes a voltage-dependent anion channel protein that is a major component of the outer mitochondrial membrane. The encoded protein facilitates the exchange of metabolites and ions across the outer mitochondrial membrane and may regulate mitochondrial functions. This protein also forms channels in the plasma membrane and may be involved in transmembrane electron transport. Alternate splicing results in multiple transcript variants. Multiple pseudogenes of this gene are found on chromosomes 1, 2 3, 6, 9, 12, X and Y.[provided by RefSeq, Sep 2010] |
| 生物功能 | Forms a channel through the mitochondrial outer membrane and also the plasma membrane. The channel at the outer mitochondrial membrane allows diffusion of small hydrophilic molecules; in the plasma membrane it is involved in cell volume regulation and apoptosis. It adopts an open conformation at low or zero membrane potential and a closed conformation at potentials above 30-40 mV. The open state has a weak anion selectivity whereas the closed state is cation-selective. [UniProt] |
| 细胞定位 | Cell membrane, Membrane, Mitochondrion, Mitochondrion outer membrane. [UniProt] |
| 研究领域 | Controls and Markers antibody; Metabolism antibody; Signaling Transduction antibody |
| 预测分子量 | 31 kDa |
| 翻译后修饰 | Acetylation, Isopeptide bond, Phosphoprotein, Ubl conjugation. [UniProt] |
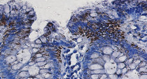
检测图片 (2) Click the Picture to Zoom In
-
ARG43822 anti-VDAC1 / Porin antibody IHC-P image
Immunohistochemistry: Paraffin-embedded Human Colon Cancer tissue stained with ARG43822 anti-VDAC1 / Porin antibody at 1:50 dilution.
-
ARG43822 anti-VDAC1 / Porin antibody WB image
Western blot: Rat kidney and Mouse kidney stained with ARG43822 anti-VDAC1 / Porin antibody at 1:1000 dilution.
