ARG63630
anti-VAV3 antibody
anti-VAV3 antibody for IHC-Formalin-fixed paraffin-embedded sections,Western blot and Human
Cancer antibody; Signaling Transduction antibody
概述
| 产品描述 | Goat Polyclonal antibody recognizes VAV3 |
|---|---|
| 反应物种 | Hu |
| 应用 | IHC-P, WB |
| 特异性 | This antibody is expected to recognize both reported isoforms (NP_006104.4; NP_001073343.1). |
| 宿主 | Goat |
| 克隆 | Polyclonal |
| 同位型 | IgG |
| 靶点名称 | VAV3 |
| 抗原物种 | Human |
| 抗原 | CSGEQGTLKLPEK |
| 偶联标记 | Un-conjugated |
| 別名 | Guanine nucleotide exchange factor VAV3; VAV-3 |
应用说明
| 应用建议 |
|
||||||
|---|---|---|---|---|---|---|---|
| 应用说明 | WB: Recommend incubate at RT for 1h. IHC-P: Antigen Retrieval: Heat mediation was performed in Citrate buffer (pH 6.0). * The dilutions indicate recommended starting dilutions and the optimal dilutions or concentrations should be determined by the scientist. |
属性
| 形式 | Liquid |
|---|---|
| 纯化 | Purified from goat serum by antigen affinity chromatography. |
| 缓冲液 | Tris saline (pH 7.3), 0.02% Sodium azide and 0.5% BSA. |
| 抗菌剂 | 0.02% Sodium azide |
| 稳定剂 | 0.5% BSA |
| 浓度 | 0.5 mg/ml |
| 存放说明 | For continuous use, store undiluted antibody at 2-8°C for up to a week. For long-term storage, aliquot and store at -20°C or below. Storage in frost free freezers is not recommended. Avoid repeated freeze/thaw cycles. Suggest spin the vial prior to opening. The antibody solution should be gently mixed before use. |
| 注意事项 | For laboratory research only, not for drug, diagnostic or other use. |
生物信息
| 数据库连接 |
Swiss-port # Q9UKW4 Human Guanine nucleotide exchange factor VAV3 |
|---|---|
| 背景介绍 | This gene is a member of the VAV gene family. The VAV proteins are guanine nucleotide exchange factors (GEFs) for Rho family GTPases that activate pathways leading to actin cytoskeletal rearrangements and transcriptional alterations. This gene product acts as a GEF preferentially for RhoG, RhoA, and to a lesser extent, RAC1, and it associates maximally with the nucleotide-free states of these GTPases. Alternatively spliced transcript variants encoding different isoforms have been described for this gene. [provided by RefSeq, Jul 2008] |
| 研究领域 | Cancer antibody; Signaling Transduction antibody |
| 预测分子量 | 98 kDa |
| 翻译后修饰 | Phosphorylated. Phosphorylation can be mediated by ROS1. In osteoclasts, undergoes tyrosine phosphorylation in response to CSF1 (By similarity). |
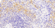
检测图片 (2) Click the Picture to Zoom In
-
ARG63630 anti-VAV3 antibody IHC-P image
Immunohistochemistry: Paraffin-embedded Human spleen tissue. Antigen Retrieval: Heat mediation was performed in Citrate buffer (pH 6.0). The tissue section was stained with ARG63630 anti-VAV3 antibody at 7.5 µg/ml dilution followed by HRP-staining.
-
ARG63630 anti-VAV3 antibody WB image
Western blot: 35 µg of Human bone marrow lysate (in RIPA buffer) stained with ARG63630 anti-VAV3 antibody at 0.5 µg/ml dilution and incubated at RT for 1 hour.
