ARG63329
anti-VAV2 antibody
anti-VAV2 antibody for IHC-Formalin-fixed paraffin-embedded sections,Western blot and Human
Cancer antibody; Gene Regulation antibody; Signaling Transduction antibody
概述
| 产品描述 | Goat Polyclonal antibody recognizes VAV2 |
|---|---|
| 反应物种 | Hu |
| 预测物种 | Ms, Rat, Dog, Pig |
| 应用 | IHC-P, WB |
| 特异性 | This antobody is expected to recognise both reported isoforms (NP_001127870.1 and NP_003362.2). |
| 宿主 | Goat |
| 克隆 | Polyclonal |
| 同位型 | IgG |
| 靶点名称 | VAV2 |
| 抗原物种 | Human |
| 抗原 | ETEAKYYRTLEDIEC |
| 偶联标记 | Un-conjugated |
| 別名 | Guanine nucleotide exchange factor VAV2; VAV-2 |
应用说明
| 应用建议 |
|
||||||
|---|---|---|---|---|---|---|---|
| 应用说明 | WB: Recommend incubate at RT for 1h. IHC-P: Antigen Retrieval: Steam tissue section in Citrate buffer (pH 6.0). * The dilutions indicate recommended starting dilutions and the optimal dilutions or concentrations should be determined by the scientist. |
属性
| 形式 | Liquid |
|---|---|
| 纯化 | Purified from goat serum by antigen affinity chromatography. |
| 缓冲液 | Tris saline (pH 7.3), 0.02% Sodium azide and 0.5% BSA. |
| 抗菌剂 | 0.02% Sodium azide |
| 稳定剂 | 0.5% BSA |
| 浓度 | 0.5 mg/ml |
| 存放说明 | For continuous use, store undiluted antibody at 2-8°C for up to a week. For long-term storage, aliquot and store at -20°C or below. Storage in frost free freezers is not recommended. Avoid repeated freeze/thaw cycles. Suggest spin the vial prior to opening. The antibody solution should be gently mixed before use. |
| 注意事项 | For laboratory research only, not for drug, diagnostic or other use. |
生物信息
| 数据库连接 |
Swiss-port # P52735 Human Guanine nucleotide exchange factor VAV2 |
|---|---|
| 背景介绍 | VAV2 is the second member of the VAV guanine nucleotide exchange factor family of oncogenes. Unlike VAV1, which is expressed exclusively in hematopoietic cells, VAV2 transcripts were found in most tissues. Alternatively spliced transcript variants encoding different isoforms have been found for this gene. [provided by RefSeq, Aug 2008] |
| 研究领域 | Cancer antibody; Gene Regulation antibody; Signaling Transduction antibody |
| 预测分子量 | 101 kDa |
| 翻译后修饰 | Phosphorylated on tyrosine residues in response to FGR activation. |
检测图片 (2) Click the Picture to Zoom In
-
ARG63329 anti-VAV2 antibody WB image
Western Blot: 293 lysate (RIPA buffer, 30µg total protein per lane) stained with ARG63329 anti-VAV2 antibody at 1.5 µg/ml dilution.
-
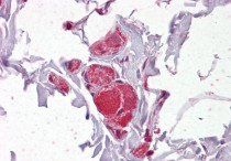
ARG63329 anti-VAV2 antibody IHC-P image
Immunohistochemistry: Paraffin-embedded Human colon tissue. Antigen Retrieval: Steam tissue section in Citrate buffer (pH 6.0). The tissue section was stained with ARG63329 anti-VAV2 antibody at 2.5 µg/ml dilution followed by AP-staining.
