ARG51705
anti-VASP phospho (Ser157) antibody
anti-VASP phospho (Ser157) antibody for IHC-Formalin-fixed paraffin-embedded sections,Western blot and Human,Mouse
Signaling Transduction antibody
概述
| 产品描述 | Rabbit Polyclonal antibody recognizes VASP phospho (Ser157) |
|---|---|
| 反应物种 | Hu, Ms |
| 应用 | IHC-P, WB |
| 宿主 | Rabbit |
| 克隆 | Polyclonal |
| 同位型 | IgG |
| 靶点名称 | VASP |
| 抗原物种 | Human |
| 抗原 | Peptide sequence around phosphorylation site of serine 157 (R-V-S(p)-N-A) derived from Human VASP. |
| 偶联标记 | Un-conjugated |
| 別名 | VASP; Vasodilator-stimulated phosphoprotein |
应用说明
| 应用建议 |
|
||||||
|---|---|---|---|---|---|---|---|
| 应用说明 | * The dilutions indicate recommended starting dilutions and the optimal dilutions or concentrations should be determined by the scientist. |
属性
| 形式 | Liquid |
|---|---|
| 纯化 | Antibodies were produced by immunizing rabbits with KLH-conjugated synthetic phosphopeptide. Antibodies were purified by affinity-chromatography using epitope-specific phosphopeptide. In addition, non-phospho specific antibodies were removed by chromatogramphy using non-phosphopeptide. |
| 缓冲液 | PBS (without Mg2+ and Ca2+, pH 7.4), 150mM NaCl, 0.02% Sodium azide and 50% Glycerol. |
| 抗菌剂 | 0.02% Sodium azide |
| 稳定剂 | 50% Glycerol |
| 浓度 | 1 mg/ml |
| 存放说明 | For continuous use, store undiluted antibody at 2-8°C for up to a week. For long-term storage, aliquot and store at -20°C. Storage in frost free freezers is not recommended. Avoid repeated freeze/thaw cycles. Suggest spin the vial prior to opening. The antibody solution should be gently mixed before use. |
| 注意事项 | For laboratory research only, not for drug, diagnostic or other use. |
生物信息
| 数据库连接 |
Swiss-port # P50552 Human Vasodilator-stimulated phosphoprotein Swiss-port # P70460 Mouse Vasodilator-stimulated phosphoprotein |
|---|---|
| 基因名称 | VASP |
| 全名 | vasodilator-stimulated phosphoprotein |
| 背景介绍 | Ena/VASP proteins are actin-associated proteins involved in a range of processes dependent on cytoskeleton remodeling and cell polarity such as axon guidance, lamellipodial and filopodial dynamics, platelet activation and cell migration. VASP promotes actin filament elongation. It protects the barbed end of growing actin filaments against capping and increases the rate of actin polymerization in the presence of capping protein. VASP stimulates actin filament elongation by promoting the transfer of profilin-bound actin monomers onto the barbed end of growing actin filaments. Plays a role in actin-based mobility of Listeria monocytogenes in host cells. Regulates actin dynamics in platelets and plays an important role in regulating platelet aggregation. |
| 生物功能 | Ena/VASP proteins are actin-associated proteins involved in a range of processes dependent on cytoskeleton remodeling and cell polarity such as axon guidance, lamellipodial and filopodial dynamics, platelet activation and cell migration. VASP promotes actin filament elongation. It protects the barbed end of growing actin filaments against capping and increases the rate of actin polymerization in the presence of capping protein. VASP stimulates actin filament elongation by promoting the transfer of profilin-bound actin monomers onto the barbed end of growing actin filaments. Plays a role in actin-based mobility of Listeria monocytogenes in host cells. Regulates actin dynamics in platelets and plays an important role in regulating platelet aggregation. [UniProt] |
| 研究领域 | Signaling Transduction antibody |
| 预测分子量 | 40 kDa |
| 翻译后修饰 | Major substrate for cAMP-dependent (PKA) and cGMP-dependent protein kinase (PKG) in platelets. The preferred site for PKA is Ser-157, the preferred site for PKG/PRKG1, Ser-239. In ADP-activated platelets, phosphorylation by PKA or PKG on Ser-157 leads to fibrinogen receptor inhibition. Phosphorylation on Thr-278 requires prior phosphorylation on Ser-157 and Ser-239. In response to phorbol ester (PMA) stimulation, phosphorylated by PKC/PRKCA. In response to thrombin, phosphorylated by both PKC and ROCK1. Phosphorylation at Thr-278 by AMPK does not require prior phosphorylation at Ser-157 or Ser-239. Phosphorylation at Ser-157 by PKA is required for localization to the tight junctions in epithelial cells. Phosphorylation modulates F-actin binding, actin filament elongation and platelet activation. Phosphorylation at Ser-322 by AMPK also alters actin filament binding. Carbon monoxide (CO) promotes phosphorylation at Ser-157, while nitric oxide (NO) promotes phosphorylation at Ser-157, but also at Ser-239. Response to NO and CO is blunted in platelets from diabetic patients, and VASP is not phosphorylated efficiently at Ser-157 and Ser-239. |
检测图片 (2) Click the Picture to Zoom In
-
ARG51705 anti-VASP phospho (Ser157) antibody WB image
Western blot: Extracts from C6 cells untreated or treated with PMA stained with ARG51705 anti-VASP phospho (Ser157) antibody.
-
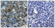
ARG51705 anti-VASP phospho (Ser157) antibody IHC-P image
Immunohistochemistry: Paraffin-embedded Human tonsil carcinoma tissue stained with ARG51705 anti-VASP phospho (Ser157) antibody (left) or the same antibody preincubated with blocking peptide (right).
