ARG43426
anti-VASH1 antibody
anti-VASH1 antibody for IHC-Formalin-fixed paraffin-embedded sections,Western blot and Human,Mouse
概述
| 产品描述 | Rabbit Polyclonal antibody recognizes VASH1 |
|---|---|
| 反应物种 | Hu, Ms |
| 预测物种 | Rat |
| 应用 | IHC-P, WB |
| 宿主 | Rabbit |
| 克隆 | Polyclonal |
| 同位型 | IgG |
| 靶点名称 | VASH1 |
| 抗原物种 | Human |
| 抗原 | A 19-amino acid synthetic peptide within aa. 290-340 of Human VASH1. |
| 偶联标记 | Un-conjugated |
| 別名 | KIAA1036; Vasohibin-1 |
应用说明
| 应用建议 |
|
||||||
|---|---|---|---|---|---|---|---|
| 应用说明 | * The dilutions indicate recommended starting dilutions and the optimal dilutions or concentrations should be determined by the scientist. | ||||||
| 阳性对照 | Human brain | ||||||
| 实际分子量 | ~ 31 kDa |
属性
| 形式 | Liquid |
|---|---|
| 纯化 | Affinity purification with immunogen. |
| 缓冲液 | PBS and 0.02% Sodium azide. |
| 抗菌剂 | 0.02% Sodium azide |
| 浓度 | 1 mg/ml |
| 存放说明 | For continuous use, store undiluted antibody at 2-8°C for up to a week. For long-term storage, aliquot and store at -20°C or below. Storage in frost free freezers is not recommended. Avoid repeated freeze/thaw cycles. Suggest spin the vial prior to opening. The antibody solution should be gently mixed before use. |
| 注意事项 | For laboratory research only, not for drug, diagnostic or other use. |
生物信息
| 数据库连接 | |
|---|---|
| 基因名称 | VASH1 |
| 全名 | vasohibin 1 |
| 生物功能 | Tyrosine carboxypeptidase that removes the C-terminal tyrosine residue of alpha-tubulin, thereby regulating microtubule dynamics and function (PubMed:29146869). Acts as an angiogenesis inhibitor: inhibits migration, proliferation and network formation by endothelial cells as well as angiogenesis (PubMed:15467828, PubMed:16488400, PubMed:16707096, PubMed:19204325). This inhibitory effect is selective to endothelial cells as it does not affect the migration of smooth muscle cells or fibroblasts (PubMed:15467828, PubMed:16488400, PubMed:16707096). [UniProt] |
| 细胞定位 | Secreted. [UniProt] |
| 预测分子量 | 41 kDa |
| 翻译后修饰 | 2 major forms (42 and 36 kDa) and 2 minors (32 and 27 kDa) may be processed by proteolytic cleavage. The largest form (42 kDa) seems to be secreted and the other major form (63 kDa) seems to accumulate within the cells or pericellular milieu. Polypeptide consisting of Met-77 to Arg-318 may correspond to the 27 kDa form and that consisting of Met-77 to Val-365 may correspond to the 36 kDa form. Ubiquitinated in vitro. [UniProt] |
检测图片 (2) Click the Picture to Zoom In
-
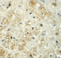
ARG43426 anti-VASH1 antibody IHC-P image
Immunohistochemistry: Paraffin-embedded Mouse brain tissue stained with ARG43426 anti-VASH1 antibody at 5 µg/ml dilution.
-
ARG43426 anti-VASH1 antibody WB image
Western blot: Human brain lysate stained with ARG43426 anti-VASH1 antibody at 1 µg/ml dilution, in the absence (left) and the presence of blocking peptide (right).
