ARG55006
anti-VAMP8 antibody
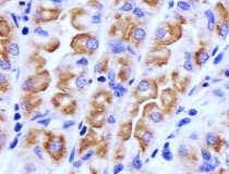
anti-VAMP8 antibody for IHC-Formalin-fixed paraffin-embedded sections,Western blot and Human
Immune System antibody; Neuroscience antibody
概述
| 产品描述 | Rabbit Polyclonal antibody recognizes VAMP8 |
|---|---|
| 反应物种 | Hu |
| 应用 | IHC-P, WB |
| 宿主 | Rabbit |
| 克隆 | Polyclonal |
| 同位型 | IgG |
| 靶点名称 | VAMP8 |
| 抗原物种 | Human |
| 抗原 | KLH-conjugated synthetic peptide corresponding to aa. 1-30 (N-terminus) of Human VAMP8. |
| 偶联标记 | Un-conjugated |
| 別名 | EDB; Vesicle-associated membrane protein 8; Endobrevin; VAMP-8 |
应用说明
| 应用建议 |
|
||||||
|---|---|---|---|---|---|---|---|
| 应用说明 | * The dilutions indicate recommended starting dilutions and the optimal dilutions or concentrations should be determined by the scientist. | ||||||
| 阳性对照 | 293T |
属性
| 形式 | Liquid |
|---|---|
| 纯化 | Purification with Protein A and immunogen peptide. |
| 缓冲液 | PBS and 0.09% (W/V) Sodium azide |
| 抗菌剂 | 0.09% (W/V) Sodium azide |
| 存放说明 | For continuous use, store undiluted antibody at 2-8°C for up to a week. For long-term storage, aliquot and store at -20°C or below. Storage in frost free freezers is not recommended. Avoid repeated freeze/thaw cycles. Suggest spin the vial prior to opening. The antibody solution should be gently mixed before use. |
| 注意事项 | For laboratory research only, not for drug, diagnostic or other use. |
生物信息
| 数据库连接 |
Swiss-port # Q9BV40 Human Vesicle-associated membrane protein 8 |
|---|---|
| 基因名称 | VAMP8 |
| 全名 | vesicle-associated membrane protein 8 |
| 背景介绍 | This gene encodes an integral membrane protein that belongs to the synaptobrevin/vesicle-associated membrane protein subfamily of soluble N-ethylmaleimide-sensitive factor attachment protein receptors (SNAREs). The encoded protein is involved in the fusion of synaptic vesicles with the presynaptic membrane.[provided by RefSeq, Jun 2010] |
| 生物功能 | SNAREs, soluble N-ethylmaleimide-sensitive factor-attachment protein receptors, are essential proteins for fusion of cellular membranes. SNAREs localized on opposing membranes assemble to form a trans-SNARE complex, an extended, parallel four alpha-helical bundle that drives membrane fusion. VAMP8 is a SNARE involved in autophagy through the direct control of autophagosome membrane fusion with the lysososome membrane via its interaction with the STX17-SNAP29 binary t-SNARE complex (PubMed:23217709, PubMed:25686604). Also required for dense-granule secretion in platelets (PubMed:12130530). Plays also a role in regulated enzyme secretion in pancreatic acinar cells (By similarity). Involved in the abscission of the midbody during cell division, which leads to completely separate daughter cells (By similarity). Involved in the homotypic fusion of early and late endosomes (By similarity). [UniProt] |
| 细胞定位 | Cell membrane, Cytoplasmic vesicle, Endosome, Lysosome, Membrane |
| 研究领域 | Immune System antibody; Neuroscience antibody |
| 预测分子量 | 11 kDa |
检测图片 (2) Click the Picture to Zoom In
