ARG59196
anti-Uteroglobin antibody
anti-Uteroglobin antibody for IHC-Formalin-fixed paraffin-embedded sections,Western blot and Mouse
概述
| 产品描述 | Rabbit Polyclonal antibody recognizes Uteroglobin |
|---|---|
| 反应物种 | Ms |
| 预测物种 | Rat |
| 应用 | IHC-P, WB |
| 宿主 | Rabbit |
| 克隆 | Polyclonal |
| 同位型 | IgG |
| 靶点名称 | Uteroglobin |
| 抗原物种 | Mouse |
| 抗原 | Recombinant protein corresponding to D22-F96 of Mouse Uteroglobin. |
| 偶联标记 | Un-conjugated |
| 別名 | Secretoglobin family 1A member 1; Urine protein 1; Urinary protein 1; Clara cell phospholipid-binding protein; UGB; CCPBP; CCSP; UP-1; CC10; Clara cells 10 kDa secretory protein; UP1; Uteroglobin; CC16 |
应用说明
| 应用建议 |
|
||||||
|---|---|---|---|---|---|---|---|
| 应用说明 | IHC-P: Antigen Retrieval: Heat mediated was performed in Citrate buffer (pH 6.0) for 20 min. * The dilutions indicate recommended starting dilutions and the optimal dilutions or concentrations should be determined by the scientist. |
属性
| 形式 | Liquid |
|---|---|
| 纯化 | Affinity purification with immunogen. |
| 缓冲液 | 0.9% NaCl, 0.2% Na2HPO4, 0.05% Sodium azide and 4% Trehalose. |
| 抗菌剂 | 0.05% Sodium azide |
| 稳定剂 | 4% Trehalose |
| 浓度 | 0.5 mg/ml |
| 存放说明 | For continuous use, store undiluted antibody at 2-8°C for up to a week. For long-term storage, aliquot and store at -20°C or below. Storage in frost free freezers is not recommended. Avoid repeated freeze/thaw cycles. Suggest spin the vial prior to opening. The antibody solution should be gently mixed before use. |
| 注意事项 | For laboratory research only, not for drug, diagnostic or other use. |
生物信息
| 数据库连接 | |
|---|---|
| 基因名称 | SCGB1A1 |
| 全名 | secretoglobin, family 1A, member 1 (uteroglobin) |
| 背景介绍 | This gene encodes a member of the secretoglobin family of small secreted proteins. The encoded protein has been implicated in numerous functions including anti-inflammation, inhibition of phospholipase A2 and the sequestering of hydrophobic ligands. Defects in this gene are associated with a susceptibility to asthma. [provided by RefSeq, May 2010] |
| 生物功能 | Binds phosphatidylcholine, phosphatidylinositol, polychlorinated biphenyls (PCB) and weakly progesterone, potent inhibitor of phospholipase A2. [UniProt] |
| 细胞定位 | Secreted. [UniProt] |
| 预测分子量 | 10 kDa |
检测图片 (2) Click the Picture to Zoom In
-
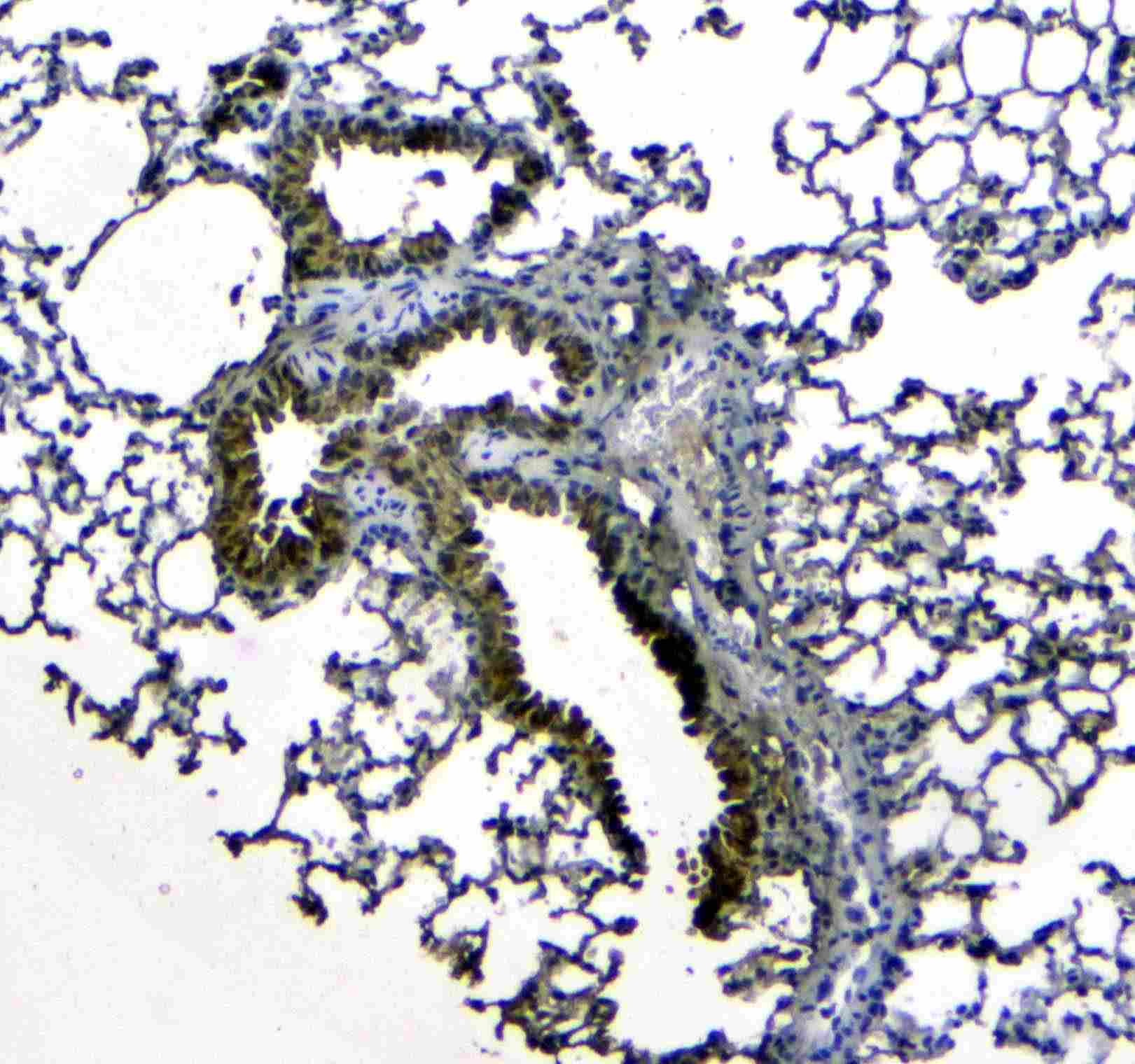
ARG59196 anti-Uteroglobin antibody IHC-P image
Immunohistochemistry: Paraffin-embedded Mouse lung tissue. Antigen Retrieval: Heat mediated was performed in Citrate buffer (pH 6.0, epitope retrieval solution) for 20 min. The tissue section was blocked with 10% goat serum. The tissue section was then stained with ARG59196 anti-Uteroglobin antibody at 1 µg/ml dilution, overnight at 4°C.
-
ARG59196 anti-Uteroglobin antibody WB image
Western blot: 50 µg of samples under reducing conditions. Mouse lung and Mouse lung lysates stained with ARG59196 anti-Uteroglobin antibody at 0.5 µg/ml, overnight at 4°C.
