ARG45051
anti-Uroplakin II / UPII antibody [RM507]
anti-Uroplakin II / UPII antibody [RM507] for IHC-Formalin-fixed paraffin-embedded sections,Western blot and Human
概述
| 产品描述 | Rabbit monoclonal antibody [RM507] recognizes UP2 (UPII)(Uroplakin-2) |
|---|---|
| 反应物种 | Hu |
| 应用 | IHC-P, WB |
| 宿主 | Rabbit |
| 克隆 | Monoclonal |
| 克隆号 | RM507 |
| 同位型 | IgG |
| 靶点名称 | Uroplakin II / UPII |
| 抗原物种 | Human |
| 偶联标记 | Un-conjugated |
应用说明
| 应用建议 |
|
||||||
|---|---|---|---|---|---|---|---|
| 应用说明 | * The dilutions indicate recommended starting dilutions and the optimal dilutions or concentrations should be determined by the scientist. |
属性
| 形式 | Liquid |
|---|---|
| 纯化 | Protein A affinity purified. |
| 缓冲液 | PBS with 50% Glycerol, 1% BSA and 0.09% sodium azide |
| 抗菌剂 | 0.09% sodium azide |
| 稳定剂 | 50% Glycerol, 1% BSA and 0.09% |
| 浓度 | 1 mg/ml |
| 存放说明 | For continuous use, store undiluted antibody at 2-8°C for up to a week. For long-term storage, aliquot and store at -20°C or below. Storage in frost free freezers is not recommended. Avoid repeated freeze/thaw cycles. Suggest spin the vial prior to opening. The antibody solution should be gently mixed before use. |
| 注意事项 | For laboratory research only, not for drug, diagnostic or other use. |
生物信息
| 数据库连接 |
|---|
检测图片 (2) Click the Picture to Zoom In
-
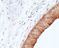
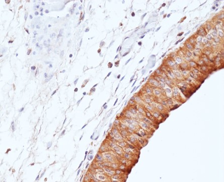
ARG45051 anti-Uroplakin II / UPII antibody [RM507] IHC-P image
Immunohistochemistry: Human Ureter stained with ARG45051 anti-Uroplakin II / UPII antibody [RM507] at 1:200 dilution.
-
ARG45051 anti-Uroplakin II / UPII antibody [RM507] WB image
Western blot: Macaque bladder stained with ARG45051 anti-Uroplakin II / UPII antibody [RM507] at 1:100 dilution.
