ARG41059
anti-USF1 antibody
anti-USF1 antibody for IHC-Formalin-fixed paraffin-embedded sections,Western blot and Human,Mouse,Rat
概述
| 产品描述 | Rabbit Polyclonal antibody recognizes USF1 |
|---|---|
| 反应物种 | Hu, Ms, Rat |
| 应用 | IHC-P, WB |
| 宿主 | Rabbit |
| 克隆 | Polyclonal |
| 同位型 | IgG |
| 靶点名称 | USF1 |
| 抗原物种 | Human |
| 抗原 | Recombinant fusion protein corresponding to aa. 1-310 of Human USF1 (NP_009053.1). |
| 偶联标记 | Un-conjugated |
| 別名 | HYPLIP1; FCHL1; MLTFI; bHLHb11; UEF; Upstream stimulatory factor 1; Class B basic helix-loop-helix protein 11; Major late transcription factor 1; FCHL; MLTF |
应用说明
| 应用建议 |
|
||||||
|---|---|---|---|---|---|---|---|
| 应用说明 | * The dilutions indicate recommended starting dilutions and the optimal dilutions or concentrations should be determined by the scientist. | ||||||
| 阳性对照 | Mouse kidney | ||||||
| 实际分子量 | 41 kDa |
属性
| 形式 | Liquid |
|---|---|
| 纯化 | Affinity purified. |
| 缓冲液 | PBS (pH 7.3), 0.02% Sodium azide and 50% Glycerol. |
| 抗菌剂 | 0.02% Sodium azide |
| 稳定剂 | 50% Glycerol |
| 存放说明 | For continuous use, store undiluted antibody at 2-8°C for up to a week. For long-term storage, aliquot and store at -20°C. Storage in frost free freezers is not recommended. Avoid repeated freeze/thaw cycles. Suggest spin the vial prior to opening. The antibody solution should be gently mixed before use. |
| 注意事项 | For laboratory research only, not for drug, diagnostic or other use. |
生物信息
| 数据库连接 | |
|---|---|
| 基因名称 | USF1 |
| 全名 | upstream transcription factor 1 |
| 背景介绍 | This gene encodes a member of the basic helix-loop-helix leucine zipper family, and can function as a cellular transcription factor. The encoded protein can activate transcription through pyrimidine-rich initiator (Inr) elements and E-box motifs. This gene has been linked to familial combined hyperlipidemia (FCHL). Alternative splicing of this gene results in multiple transcript variants. A related pseudogene has been defined on chromosome 21. [provided by RefSeq, Feb 2013] |
| 生物功能 | Transcription factor that binds to a symmetrical DNA sequence (E-boxes) (5'-CACGTG-3') that is found in a variety of viral and cellular promoters. [UniProt] |
| 细胞定位 | Nucleus. [UniProt] |
| 预测分子量 | 34 kDa |
检测图片 (2) Click the Picture to Zoom In
-
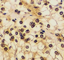
ARG41059 anti-USF1 antibody IHC-P image
Immunohistochemistry: Paraffin-embedded Human kidney cancer stained with ARG41059 anti-USF1 antibody at 1:200 dilution.
-
ARG41059 anti-USF1 antibody WB image
Western blot: 25 µg of Mouse kidney lysate stained with ARG41059 anti-USF1 antibody at 1:1000 dilution.
