ARG44984
anti-UPB1 antibody
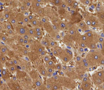
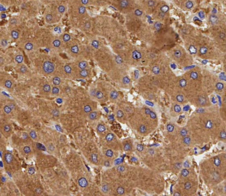
anti-UPB1 antibody for IHC-Formalin-fixed paraffin-embedded sections,Western blot and Human,Rat
概述
| 产品描述 | Mouse Monoclonal antibody recognizes UPB1 |
|---|---|
| 反应物种 | Hu, Rat |
| 应用 | IHC-P, WB |
| 宿主 | Mouse |
| 克隆 | Monoclonal |
| 同位型 | IgG2a |
| 靶点名称 | UPB1 |
| 抗原物种 | Human |
| 抗原表位 | MAGAEWKSLE ECLEKHLPLP DLQEVKRVLY GKELRKLDLP REAFEAASRE DFELQGYAFE AAEEQLRRPR IVHVGLVQNR IPLPANAPVA EQVSALHRRI KAIVEVAAMC GVNIICFQEA WTMPFAFCTR EKLPWTEFAE SAEDGPTTRF CQKLAKNHDM VVVSPILERD SEHGDVLWNT AVVISNSGAV LGKTRKNHIP RVGDFNESTY YMEGNLGHPV FQTQFGRIAV NICYGRHHPL NWLMYSINGA EIIFNPSATI GALSESLWPI EARNAAIANH CFTCAINRVG TEHFPNEFTS GDGKKAHQDF GYFYGSSYVA APDSSRTPGL SRSRDGLLVA KLDLNLCQQV NDVWNFKMTG RYEMYARELA EAVKSNYSPT IVKE |
| 偶联标记 | Un-conjugated |
| 別名 | UPB1; Beta-Ureidopropionase1; BUP1; N-Carbamoyl-Beta-Alanine Amidohydrolase; Ureidopropionase, Beta; Beta-Ureidopropionase; Beta-Alanine Synthase; EC3.5.1.6; BUP-1 |
应用说明
| 应用建议 |
|
||||||
|---|---|---|---|---|---|---|---|
| 应用说明 | * The dilutions indicate recommended starting dilutions and the optimal dilutions or concentrations should be determined by the scientist. |
属性
| 形式 | Liquid |
|---|---|
| 纯化 | Protein A purification |
| 缓冲液 | PBS with0.09% sodium azide |
| 抗菌剂 | 0.09% sodium azide |
| 存放说明 | For continuous use, store undiluted antibody at2-8°C for up to a week. For long-term storage, aliquot and store at -20°C or below. Storage in frost free freezers is not recommended. Avoid repeated freeze/thaw cycles. Suggest spin the vial prior to opening. The antibody solution should be gently mixed before use. |
| 注意事项 | For laboratory research only, not for drug, diagnostic or other use. |
生物信息
| 数据库连接 | |
|---|---|
| 基因名称 | UPB1 |
| 全名 | Beta-Ureidopropionase1 |
| 背景介绍 | This gene encodes a protein that belongs to the CN hydrolase family. Beta-ureidopropionase catalyzes the last step in the pyrimidine degradation pathway. The pyrimidine bases uracil and thymine are degraded via the consecutive action of dihydropyrimidine dehydrogenase (DHPDH), dihydropyrimidinase (DHP) and beta-ureidopropionase (UP) to beta-alanine and beta-aminoisobutyric acid, respectively. UP deficiencies are associated with N-carbamyl-beta-amino aciduria and may lead to abnormalities in neurological activity. [provided by RefSeq, Jul2008] |
| 生物功能 | Likewise, converts N-carbamoyl-beta-aminoisobutyrate (3-ureidoisobutyrate) into beta-aminoisobutyrate, ammonia and carbon dioxide. [Uniprot] |
| 细胞定位 | Cytoplasm. [Uniprot] |
| 翻译后修饰 | Phosphoprotein. [Uniprot] |
检测图片 (2) Click the Picture to Zoom In
