ARG46629
anti-UNC93B1 antibody
anti-UNC93B1 antibody for Western blot,IHC-Formalin-fixed paraffin-embedded sections and Human,Mouse,Rat
概述
| 产品描述 | Rabbit Polyclonal antibody recognizes UNC93B1 |
|---|---|
| 反应物种 | Hu, Ms, Rat |
| 应用 | IHC-P, WB |
| 宿主 | Rabbit |
| 克隆 | Polyclonal |
| 同位型 | IgG |
| 靶点名称 | UNC93B1 |
| 抗原物种 | Human |
| 抗原 | A 19 amino acid synthetic peptide within the last 50 amino acids of human UNC93B1. |
| 偶联标记 | Un-conjugated |
| 別名 | UNC93B1; Unc-93B1; Protein unc-93 homolog B1; UNC93; IIAE1; UNC93B; hUNC93B1 |
应用说明
| 应用建议 |
|
||||||
|---|---|---|---|---|---|---|---|
| 应用说明 | * The dilutions indicate recommended starting dilutions and the optimal dilutions or concentrations should be determined by the scientist. |
属性
| 纯化 | Affinity chromatography purified |
|---|---|
| 缓冲液 | PBS and 0.02% Sodium azide. |
| 抗菌剂 | 0.02% Sodium azide |
| 浓度 | 1 mg/ml |
| 存放说明 | For continuous use, store undiluted antibody at 2-8°C for up to a week. For long-term storage, aliquot and store at -20°C. Storage in frost free freezers is not recommended. Avoid repeated freeze/thaw cycles. Suggest spin the vial prior to opening. The antibody solution should be gently mixed before use. |
| 注意事项 | For laboratory research only, not for drug, diagnostic or other use. |
生物信息
| 数据库连接 | |
|---|---|
| 基因名称 | UNC93B1 |
| 全名 | unc-93 homolog B1 (C. elegans) |
| 背景介绍 | This gene encodes a protein that is involved in innate and adaptive immune response by regulating toll-like receptor signaling. The encoded protein traffics nucleotide sensing toll-like receptors to the endolysosome from the endoplasmic reticulum. Deficiency of the encoded protein has been associated with herpes simplex encephalitis. [provided by RefSeq, Feb 2014] |
| 生物功能 | Plays an important role in innate and adaptive immunity by regulating nucleotide-sensing Toll-like receptor (TLR) signaling. Required for the transport of a subset of TLRs (including TLR3, TLR7 and TLR9) from the endoplasmic reticulum to endolysosomes where they can engage pathogen nucleotides and activate signaling cascades. May play a role in autoreactive B-cells removal. [UniProt] |
| 细胞定位 | Endoplasmic reticulum membrane; Multi-pass membrane protein. Endosome. Lysosome. Cytoplasmic vesicle, phagosome. Note=Relocalizes from endoplasmic reticulum to endosome and lysosome upon cell-stimulation with CpG dinucleotides (By similarity). Colocalizes with LAMP5 in large endosomal intracellular vesicles. [UniProt] |
| 预测分子量 | 67 kDa |
| 翻译后修饰 | N-glycosylated. [UniProt] |
检测图片 (3) Click the Picture to Zoom In
-
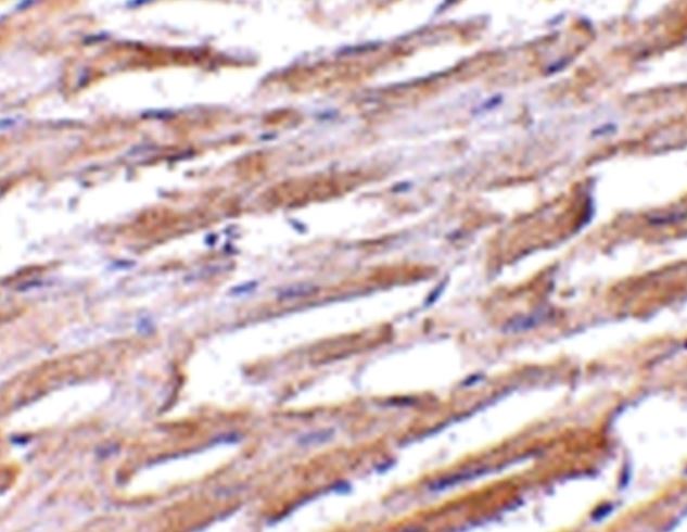
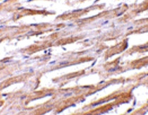
ARG46629 anti-UNC93B1 antibody IHC-P image
Immunohistochemistry: Human heart stained with ARG46629 anti-UNC93B1 antibody.
-
ARG46629 anti-UNC93B1 antibody ICC/IF image
Immunofluorescence: Human Heart stained with ARG46629 anti-UNC93B1 antibody.
-
ARG46629 anti-UNC93B1 antibody WB image
Western blot: Human heart stained with ARG46629 anti-UNC93B1 antibody.
