ARG59306
anti-UGT1A1 antibody
anti-UGT1A1 antibody for IHC-Formalin-fixed paraffin-embedded sections,Western blot and Human,Mouse,Rat
概述
| 产品描述 | Rabbit Polyclonal antibody recognizes UGT1A1 |
|---|---|
| 反应物种 | Hu, Ms, Rat |
| 应用 | IHC-P, WB |
| 宿主 | Rabbit |
| 克隆 | Polyclonal |
| 同位型 | IgG |
| 靶点名称 | UGT1A1 |
| 抗原物种 | Human |
| 抗原 | Recombinant protein corresponding to E316-H533 of Human UGT1A1. |
| 偶联标记 | Un-conjugated |
| 別名 | EC 2.4.1.17; UGT1; HUG-BR1; Bilirubin-specific UDPGT isozyme 1; UGT1A; BILIQTL1; UDP-glucuronosyltransferase 1-A; UDP-glucuronosyltransferase 1A1; hUG-BR1; UGT1-01; UDPGT 1-1; UGT-1A; UGT1*1; UGT1.1; GNT1; UDPGT; UDP-glucuronosyltransferase 1-1 |
应用说明
| 应用建议 |
|
||||||
|---|---|---|---|---|---|---|---|
| 应用说明 | IHC-P: Antigen Retrieval: Heat mediated was performed in Citrate buffer (pH 6.0) for 20 min. * The dilutions indicate recommended starting dilutions and the optimal dilutions or concentrations should be determined by the scientist. |
属性
| 形式 | Liquid |
|---|---|
| 纯化 | Affinity purification with immunogen. |
| 缓冲液 | 0.9% NaCl, 0.2% Na2HPO4, 0.05% Sodium azide and 4% Trehalose. |
| 抗菌剂 | 0.05% Sodium azide |
| 稳定剂 | 4% Trehalose |
| 浓度 | 0.5 mg/ml |
| 存放说明 | For continuous use, store undiluted antibody at 2-8°C for up to a week. For long-term storage, aliquot and store at -20°C or below. Storage in frost free freezers is not recommended. Avoid repeated freeze/thaw cycles. Suggest spin the vial prior to opening. The antibody solution should be gently mixed before use. |
| 注意事项 | For laboratory research only, not for drug, diagnostic or other use. |
生物信息
| 数据库连接 | |
|---|---|
| 基因名称 | UGT1A1 |
| 全名 | UDP glucuronosyltransferase 1 family, polypeptide A1 |
| 背景介绍 | This gene encodes a UDP-glucuronosyltransferase, an enzyme of the glucuronidation pathway that transforms small lipophilic molecules, such as steroids, bilirubin, hormones, and drugs, into water-soluble, excretable metabolites. This gene is part of a complex locus that encodes several UDP-glucuronosyltransferases. The locus includes thirteen unique alternate first exons followed by four common exons. Four of the alternate first exons are considered pseudogenes. Each of the remaining nine 5' exons may be spliced to the four common exons, resulting in nine proteins with different N-termini and identical C-termini. Each first exon encodes the substrate binding site, and is regulated by its own promoter. The preferred substrate of this enzyme is bilirubin, although it also has moderate activity with simple phenols, flavones, and C18 steroids. Mutations in this gene result in Crigler-Najjar syndromes types I and II and in Gilbert syndrome. [provided by RefSeq, Jul 2008] |
| 生物功能 | UDPGT is of major importance in the conjugation and subsequent elimination of potentially toxic xenobiotics and endogenous compounds. This isoform glucuronidates bilirubin IX-alpha to form both the IX-alpha-C8 and IX-alpha-C12 monoconjugates and diconjugate. Is also able to catalyze the glucuronidation of 17beta-estradiol, 17alpha-ethinylestradiol, 1-hydroxypyrene, 4-methylumbelliferone, 1-naphthol, paranitrophenol, scopoletin, and umbelliferone. Isoform 2 lacks transferase activity but acts as a negative regulator of isoform 1. [UniProt] |
| 细胞定位 | Isoform 1: Microsome. Endoplasmic reticulum membrane; Single-pass membrane protein. Isoform 2: Microsome. Endoplasmic reticulum. [UniProt] |
| 预测分子量 | 60 kDa |
检测图片 (5) Click the Picture to Zoom In
-
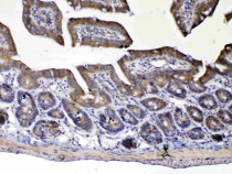
ARG59306 anti-UGT1A1 antibody IHC-P image
Immunohistochemistry: Paraffin-embedded Rat small intestine tissue. Antigen Retrieval: Heat mediated was performed in Citrate buffer (pH 6.0, epitope retrieval solution) for 20 min. The tissue section was blocked with 10% goat serum. The tissue section was then stained with ARG59306 anti-UGT1A1 antibody at 1 ug/ml, overnight at 4°C.
-
ARG59306 anti-UGT1A1 antibody WB image
Western blot: 50 ug of samples under reducing conditions. Rat liver, Rat kidney, Mouse liver and Mouse kidney lysates stained with ARG59306 anti-UGT1A1 antibody at 0.5 ug/ml, overnight at 4°C.
-
ARG59306 anti-UGT1A1 antibody IHC-P image
Immunohistochemistry: Paraffin-embedded Human rectal cancer tissue. Antigen Retrieval: Heat mediated was performed in Citrate buffer (pH 6.0, epitope retrieval solution) for 20 min. The tissue section was blocked with 10% goat serum. The tissue section was then stained with ARG59306 anti-UGT1A1 antibody at 1 ug/ml, overnight at 4°C.
-
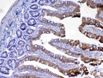
ARG59306 anti-UGT1A1 antibody IHC-P image
Immunohistochemistry: Paraffin-embedded Mouse small intestine tissue. Antigen Retrieval: Heat mediated was performed in Citrate buffer (pH 6.0, epitope retrieval solution) for 20 min. The tissue section was blocked with 10% goat serum. The tissue section was then stained with ARG59306 anti-UGT1A1 antibody at 1 ug/ml, overnight at 4°C.
-
ARG59306 anti-UGT1A1 antibody IHC-P image
Immunohistochemistry: Paraffin-embedded Human mammary cancer tissue. Antigen Retrieval: Heat mediated was performed in Citrate buffer (pH 6.0, epitope retrieval solution) for 20 min. The tissue section was blocked with 10% goat serum. The tissue section was then stained with ARG59306 anti-UGT1A1 antibody at 1 ug/ml, overnight at 4°C.
