ARG59733
anti-U2AF1 antibody
anti-U2AF1 antibody for Flow cytometry,IHC-Formalin-fixed paraffin-embedded sections,Western blot and Human
概述
| 产品描述 | Rabbit Polyclonal antibody recognizes U2AF1 |
|---|---|
| 反应物种 | Hu |
| 预测物种 | Ms, Bov |
| 应用 | FACS, IHC-P, WB |
| 宿主 | Rabbit |
| 克隆 | Polyclonal |
| 同位型 | IgG |
| 靶点名称 | U2AF1 |
| 抗原物种 | Human |
| 抗原 | KLH-conjugated synthetic peptide corresponding to aa. 99-125 of Human U2AF1. |
| 偶联标记 | Un-conjugated |
| 別名 | U2 snRNP auxiliary factor small subunit; U2 auxiliary factor 35 kDa subunit; Splicing factor U2AF 35 kDa subunit; U2 small nuclear RNA auxiliary factor 1 |
应用说明
| 应用建议 |
|
||||||||
|---|---|---|---|---|---|---|---|---|---|
| 应用说明 | * The dilutions indicate recommended starting dilutions and the optimal dilutions or concentrations should be determined by the scientist. | ||||||||
| 阳性对照 | Ramos |
属性
| 形式 | Liquid |
|---|---|
| 纯化 | This antibody is prepared by Saturated Ammonium Sulfate (SAS) precipitation followed by dialysis against PBS. |
| 缓冲液 | PBS and 0.09% (W/V) Sodium azide. |
| 抗菌剂 | 0.09% (W/V) Sodium azide. |
| 存放说明 | For continuous use, store undiluted antibody at 2-8°C for up to a week. For long-term storage, aliquot and store at -20°C or below. Storage in frost free freezers is not recommended. Avoid repeated freeze/thaw cycles. Suggest spin the vial prior to opening. The antibody solution should be gently mixed before use. |
| 注意事项 | For laboratory research only, not for drug, diagnostic or other use. |
生物信息
| 数据库连接 |
Swiss-port # Q01081 Human Splicing factor U2AF 35 kDa subunit |
|---|---|
| 基因名称 | U2AF1 |
| 全名 | U2 small nuclear RNA auxiliary factor 1 |
| 细胞定位 | Nucleus. Nucleus speckle. [UniProt] |
| 预测分子量 | 28 kDa |
检测图片 (3) Click the Picture to Zoom In
-
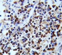
ARG59733 anti-U2AF1 antibody IHC-P image
Immunohistochemistry: Formalin-fixed and paraffin-embedded Human lung carcinoma stained with ARG59733 anti-U2AF1 antibody.
-
ARG59733 anti-U2AF1 antibody WB image
Western blot: 35 µg of Ramos cell lysate stained with ARG59733 anti-U2AF1 antibody.
-
ARG59733 anti-U2AF1 antibody FACS image
Flow Cytometry: Ramos cells stained with ARG59733 anti-U2AF1 antibody (bottom histogram) or without primary antibody as control (top histogram), followed by incubation with FITC labelled secondary antibody.
