ARG55838
anti-Triosephosphate isomerase antibody
anti-Triosephosphate isomerase antibody for Flow cytometry,IHC-Formalin-fixed paraffin-embedded sections,Western blot and Human,Mouse,Rat
概述
| 产品描述 | Rabbit Polyclonal antibody recognizes Triosephosphate isomerase |
|---|---|
| 反应物种 | Hu, Ms, Rat |
| 预测物种 | Bov, Mk, Rb |
| 应用 | FACS, IHC-P, WB |
| 宿主 | Rabbit |
| 克隆 | Polyclonal |
| 同位型 | IgG |
| 靶点名称 | Triosephosphate isomerase |
| 抗原物种 | Human |
| 抗原 | KLH-conjugated synthetic peptide corresponding to aa. 258-286 (C-terminus) of Human Triosephosphate isomerase. |
| 偶联标记 | Un-conjugated |
| 別名 | EC 5.3.1.1; HEL-S-49; TPID; TPI; TIM; Triosephosphate isomerase; Triose-phosphate isomerase |
应用说明
| 应用建议 |
|
||||||||
|---|---|---|---|---|---|---|---|---|---|
| 应用说明 | * The dilutions indicate recommended starting dilutions and the optimal dilutions or concentrations should be determined by the scientist. | ||||||||
| 阳性对照 | HepG2 |
属性
| 形式 | Liquid |
|---|---|
| 纯化 | This antibody is prepared by Saturated Ammonium Sulfate (SAS) precipitation followed by dialysis against PBS. |
| 缓冲液 | PBS and 0.09% (W/V) Sodium azide |
| 抗菌剂 | 0.09% (W/V) Sodium azide |
| 存放说明 | For continuous use, store undiluted antibody at 2-8°C for up to a week. For long-term storage, aliquot and store at -20°C or below. Storage in frost free freezers is not recommended. Avoid repeated freeze/thaw cycles. Suggest spin the vial prior to opening. The antibody solution should be gently mixed before use. |
| 注意事项 | For laboratory research only, not for drug, diagnostic or other use. |
生物信息
| 数据库连接 | |
|---|---|
| 基因名称 | TPI1 |
| 全名 | triosephosphate isomerase 1 |
| 背景介绍 | This gene encodes an enzyme, consisting of two identical proteins, which catalyzes the isomerization of glyceraldehydes 3-phosphate (G3P) and dihydroxy-acetone phosphate (DHAP) in glycolysis and gluconeogenesis. Mutations in this gene are associated with triosephosphate isomerase deficiency. Pseudogenes have been identified on chromosomes 1, 4, 6 and 7. Alternative splicing results in multiple transcript variants. [provided by RefSeq, Apr 2009] |
| 预测分子量 | 31 kDa |
| 翻译后修饰 | The initiator methionine for isoform 2 is removed. |
检测图片 (3) Click the Picture to Zoom In
-
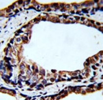
ARG55838 anti-Triosephosphate isomerase antibody IHC-P image
Immunohistochemistry: Formalin-fixed and paraffin-embedded Human prostate carcinoma stained with ARG55838 anti-Triosephosphate isomerase antibody.
-
ARG55838 anti-Triosephosphate isomerase antibody WB image
Western blot: 35 µg of HepG2 cell lysate stained with ARG55838 anti-Triosephosphate isomerase antibody at 1:1000 dilution.
-
ARG55838 anti-Triosephosphate isomerase antibody FACS image
Flow Cytometry: CEM cells stained with ARG55838 anti-Triosephosphate isomerase antibody (bottom histogram) or without primary antibody control (top histogram), followed by incubation with FITC labelled secondary antibody.
