ARG58455
anti-Torsin 1A antibody
anti-Torsin 1A antibody for IHC-Formalin-fixed paraffin-embedded sections,Western blot and Human,Mouse,Rat
概述
| 产品描述 | Rabbit Polyclonal antibody recognizes Torsin 1A |
|---|---|
| 反应物种 | Hu, Ms, Rat |
| 应用 | IHC-P, WB |
| 宿主 | Rabbit |
| 克隆 | Polyclonal |
| 同位型 | IgG |
| 靶点名称 | Torsin 1A |
| 抗原物种 | Human |
| 抗原 | Recombinant fusion protein corresponding to aa. 63-332 of Human Torsin 1A (NP_000104.1). |
| 偶联标记 | Un-conjugated |
| 別名 | DQ2; Dystonia 1 protein; EC 3.6.4.-; Torsin-1A; DYT1; Torsin ATPase-1A; Torsin family 1 member A |
应用说明
| 应用建议 |
|
||||||
|---|---|---|---|---|---|---|---|
| 应用说明 | * The dilutions indicate recommended starting dilutions and the optimal dilutions or concentrations should be determined by the scientist. | ||||||
| 阳性对照 | DU145 | ||||||
| 实际分子量 | 36 kDa |
属性
| 形式 | Liquid |
|---|---|
| 纯化 | Affinity purified. |
| 缓冲液 | PBS (pH 7.3), 0.02% Sodium azide and 50% Glycerol. |
| 抗菌剂 | 0.02% Sodium azide |
| 稳定剂 | 50% Glycerol |
| 存放说明 | For continuous use, store undiluted antibody at 2-8°C for up to a week. For long-term storage, aliquot and store at -20°C. Storage in frost free freezers is not recommended. Avoid repeated freeze/thaw cycles. Suggest spin the vial prior to opening. The antibody solution should be gently mixed before use. |
| 注意事项 | For laboratory research only, not for drug, diagnostic or other use. |
生物信息
| 数据库连接 | |
|---|---|
| 基因名称 | TOR1A |
| 全名 | torsin family 1, member A (torsin A) |
| 背景介绍 | The protein encoded by this gene is a member of the AAA family of adenosine triphosphatases (ATPases), is related to the Clp protease/heat shock family and is expressed prominently in the substantia nigra pars compacta. Mutations in this gene result in the autosomal dominant disorder, torsion dystonia 1. [provided by RefSeq, Jul 2008] |
| 生物功能 | Protein with chaperone functions important for the control of protein folding, processing, stability and localization as well as for the reduction of misfolded protein aggregates. Involved in the regulation of synaptic vesicle recycling, controls STON2 protein stability in collaboration with the COP9 signalosome complex (CSN). In the nucleus, may link the cytoskeleton with the nuclear envelope, this mechanism seems to be crucial for the control of nuclear polarity, cell movement and, specifically in neurons, nuclear envelope integrity. Participates in the cellular trafficking and may regulate the subcellular location of multipass membrane proteins such as the dopamine transporter SLC6A3, leading to the modulation of dopamine neurotransmission. In the endoplasmic reticulum, plays a role in the quality control of protein folding by increasing clearance of misfolded proteins such as SGCE variants or holding them in an intermediate state for proper refolding. May have a redundant function with TOR1B in non-neural tissues. [UniProt] |
| 细胞定位 | Endoplasmic reticulum lumen, Nucleus membrane, Peripheral membrane protein, Cell projection, growth cone, Cytoplasmic vesicle membrane, Cytoplasmic vesicle, secretory vesicle, synaptic vesicle, Cytoplasm, cytoskeleton. [UniProt] |
| 预测分子量 | 38 kDa |
| 翻译后修饰 | N-glycosylated. [UniProt] |
检测图片 (2) Click the Picture to Zoom In
-
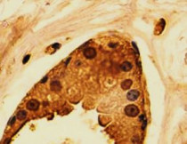
ARG58455 anti-Torsin 1A antibody IHC-P image
Immunohistochemistry: Paraffin-embedded Human normal breast stained with ARG58455 anti-Torsin 1A antibody at 1:200 dilution.
-
ARG58455 anti-Torsin 1A antibody WB image
Western blot: 25 µg of DU145 cell lysate stained with ARG58455 anti-Torsin 1A antibody at 1:1000 dilution.
