ARG41971
anti-Talin 2 antibody
anti-Talin 2 antibody for IHC-Formalin-fixed paraffin-embedded sections,Western blot and Human,Mouse,Rat
概述
| 产品描述 | Rabbit Polyclonal antibody recognizes Talin 2 |
|---|---|
| 反应物种 | Hu, Ms, Rat |
| 应用 | IHC-P, WB |
| 宿主 | Rabbit |
| 克隆 | Polyclonal |
| 同位型 | IgG |
| 靶点名称 | Talin 2 |
| 抗原物种 | Human |
| 抗原 | Synthetic peptide corresponding to aa. 1787-1822 of Human Talin 2. (NPKAQHTHDAITEAAQLMKEAVDDIMVTLNEAASEV) |
| 偶联标记 | Un-conjugated |
| 別名 | Talin-2; ILWEQ |
应用说明
| 应用建议 |
|
||||||
|---|---|---|---|---|---|---|---|
| 应用说明 | * The dilutions indicate recommended starting dilutions and the optimal dilutions or concentrations should be determined by the scientist. |
属性
| 形式 | Liquid |
|---|---|
| 纯化 | Affinity purification with immunogen. |
| 缓冲液 | 0.2% Na2HPO4, 0.9% NaCl, 0.05% Sodium azide and 5% BSA. |
| 抗菌剂 | 0.05% Sodium azide |
| 稳定剂 | 5% BSA |
| 浓度 | 0.5 mg/ml |
| 存放说明 | For continuous use, store undiluted antibody at 2-8°C for up to a week. For long-term storage, aliquot and store at -20°C or below. Storage in frost free freezers is not recommended. Avoid repeated freeze/thaw cycles. Suggest spin the vial prior to opening. The antibody solution should be gently mixed before use. |
| 注意事项 | For laboratory research only, not for drug, diagnostic or other use. |
生物信息
| 数据库连接 | |
|---|---|
| 基因名称 | TLN2 |
| 全名 | talin 2 |
| 背景介绍 | This gene encodes a protein related to talin 1, a cytoskeletal protein that plays a significant role in the assembly of actin filaments and in spreading and migration of various cell types, including fibroblasts and osteoclasts. This protein has a different pattern of expression compared to talin 1 but, like talin 1, is thought to associate with unique transmembrane receptors to form novel linkages between extracellular matrices and the actin cytoskeleton. [provided by RefSeq, Jul 2008] |
| 生物功能 | As a major component of focal adhesion plaques that links integrin to the actin cytoskeleton, may play an important role in cell adhesion. Recruits PIP5K1C to focal adhesion plaques and strongly activates its kinase activity (By similarity). [UniProt] |
| 细胞定位 | Cytoplasm. Cell junction, focal adhesion. Cell junction, synapse. Cell membrane; Peripheral membrane protein; Cytoplasmic side. Cytoplasm, cytoskeleton. Note=Focal adhesion plaques and synapses (PubMed:12422219). [UniProt] |
| 预测分子量 | 272 kDa |
检测图片 (4) Click the Picture to Zoom In
-
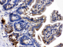
ARG41971 anti-Talin 2 antibody IHC-P image
Immunohistochemistry: Paraffin-embedded Mouse intestine tissue stained with ARG41971 anti-Talin 2 antibody at 1 µg/ml dilution.
-
ARG41971 anti-Talin 2 antibody WB image
Western blot: Rat brain, Mouse cardiac muscle and SMMC-7721 whole cell lysates stained with ARG41971 anti-Talin 2 antibody at 0.5 µg/ml dilution.
-
ARG41971 anti-Talin 2 antibody IHC-P image
Immunohistochemistry: Paraffin-embedded Human intestinal cancer tissue stained with ARG41971 anti-Talin 2 antibody at 1 µg/ml dilution.
-
ARG41971 anti-Talin 2 antibody IHC-P image
Immunohistochemistry: Paraffin-embedded Rat intestine tissue stained with ARG41971 anti-Talin 2 antibody at 1 µg/ml dilution.
