ARG57843
anti-TXNRD2 antibody
anti-TXNRD2 antibody for ICC/IF,IHC-Formalin-fixed paraffin-embedded sections,Western blot and Human,Mouse
概述
| 产品描述 | Rabbit Polyclonal antibody recognizes TXNRD2 |
|---|---|
| 反应物种 | Hu, Ms |
| 应用 | ICC/IF, IHC-P, WB |
| 宿主 | Rabbit |
| 克隆 | Polyclonal |
| 同位型 | IgG |
| 靶点名称 | TXNRD2 |
| 抗原物种 | Human |
| 抗原 | Recombinant protein of Human TXNRD2. |
| 偶联标记 | Un-conjugated |
| 別名 | TR-beta; Thioredoxin reductase 2, mitochondrial; EC 1.8.1.9; TR; Thioredoxin reductase TR3; SelZ; Selenoprotein Z; SELZ; TR3; TRXR2; TR-BETA |
应用说明
| 应用建议 |
|
||||||||
|---|---|---|---|---|---|---|---|---|---|
| 应用说明 | * The dilutions indicate recommended starting dilutions and the optimal dilutions or concentrations should be determined by the scientist. | ||||||||
| 阳性对照 | HepG2 | ||||||||
| 实际分子量 | ~ 55 kDa |
属性
| 形式 | Liquid |
|---|---|
| 纯化 | Affinity purified. |
| 缓冲液 | PBS (pH 7.3), 0.02% Sodium azide and 50% Glycerol. |
| 抗菌剂 | 0.02% Sodium azide |
| 稳定剂 | 50% Glycerol |
| 存放说明 | For continuous use, store undiluted antibody at 2-8°C for up to a week. For long-term storage, aliquot and store at -20°C. Storage in frost free freezers is not recommended. Avoid repeated freeze/thaw cycles. Suggest spin the vial prior to opening. The antibody solution should be gently mixed before use. |
| 注意事项 | For laboratory research only, not for drug, diagnostic or other use. |
生物信息
| 数据库连接 |
Swiss-port # Q9JLT4 Mouse Thioredoxin reductase 2, mitochondrial Swiss-port # Q9NNW7 Human Thioredoxin reductase 2, mitochondrial |
|---|---|
| 基因名称 | TXNRD2 |
| 全名 | thioredoxin reductase 2 |
| 背景介绍 | This gene encodes a member of the class I pyridine nucleotide-disulfide oxidoreductase family. The encoded protein is a selenocysteine-containing flavoenzyme that maintains thioredoxins in a reduced state, thereby playing a key role in regulating the cellular redox environment. Mammals have three related thioredoxin reductases. This gene encodes a mitochondrial form important for scavenging of reactive oxygen species in mitochondria. Alternatively spliced transcript variants encoding different isoforms have been described. [provided by RefSeq, Sep 2013] |
| 生物功能 | Maintains thioredoxin in a reduced state. Implicated in the defenses against oxidative stress. May play a role in redox-regulated cell signaling. [UniProt] |
| 细胞定位 | Mitochondrion. [UniProt] |
| 预测分子量 | 57 kDa |
检测图片 (2) Click the Picture to Zoom In
-
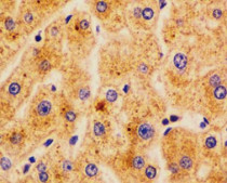
ARG57843 anti-TXNRD2 antibody IHC-P image
Immunohistochemistry: Paraffin-embedded Human liver injury stained with ARG57843 anti-TXNRD2 antibody at 1:100 dilution.
-
ARG57843 anti-TXNRD2 antibody WB image
Western blot: 25 µg of HepG2 cell lysate stained with ARG57843 anti-TXNRD2 antibody at 1:1000 dilution.
