ARG45613
anti-TTC34 antibody
anti-TTC34 antibody for Flow cytometry,ICC/IF,IHC-Formalin-fixed paraffin-embedded sections,Western blot and Human,Mouse,Rat
概述
| 产品描述 | Rabbit Polyclonal antibody recognizes TTC34 |
|---|---|
| 反应物种 | Hu, Ms, Rat |
| 应用 | FACS, ICC/IF, IHC-P, WB |
| 宿主 | Rabbit |
| 克隆 | Polyclonal |
| 同位型 | IgG |
| 靶点名称 | TTC34 |
| 抗原物种 | Human |
| 抗原 | Recombinant protein containing to human TTC34. |
| 偶联标记 | Un-conjugated |
| 別名 | TTC34; Tetratricopeptide Repeat Domain 34; Tetratricopeptide Repeat Protein 34; TPR Repeat Protein 34; TPR Repeat-Containing Protein ENSP00000383873 |
应用说明
| 应用建议 |
|
||||||||||
|---|---|---|---|---|---|---|---|---|---|---|---|
| 应用说明 | * The dilutions indicate recommended starting dilutions and the optimal dilutions or concentrations should be determined by the scientist. | ||||||||||
| 实际分子量 | 61 kDa |
属性
| 形式 | Liquid |
|---|---|
| 纯化 | Affinity purified |
| 缓冲液 | 0.2% Na2HPO4, 0.9% NaCl and 4% Trehalose. |
| 稳定剂 | 4% Trehalose |
| 浓度 | 0.5 mg/ml |
| 存放说明 | For continuous use, store undiluted antibody at 2-8°C for up to a week. For long-term storage, aliquot and store at -20°C or below. Storage in frost free freezers is not recommended. Avoid repeated freeze/thaw cycles. Suggest spin the vial prior to opening. The antibody solution should be gently mixed before use. |
| 注意事项 | For laboratory research only, not for drug, diagnostic or other use. |
生物信息
| 数据库连接 |
Swiss-port # A8MYJ7 Human Tetratricopeptide repeat protein 34 Swiss-port # Q8C0Q3 Mouse Tetratricopeptide repeat protein 34 |
|---|---|
| 基因名称 | TTC34 |
| 全名 | Tetratricopeptide Repeat Domain 34 |
| 预测分子量 | 61 kDa |
检测图片 (6) Click the Picture to Zoom In
-
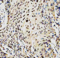
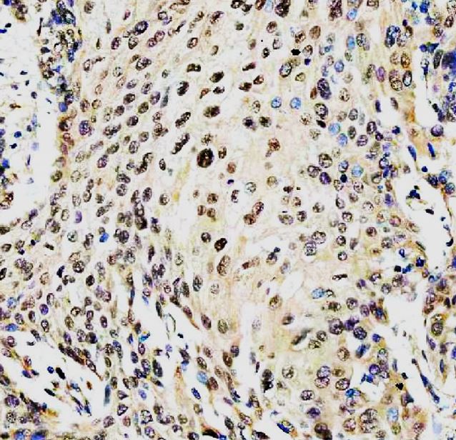
ARG45613 anti-TTC34 antibody IHC-P image
Immunohistochemistry: Human cervical cancer stained with ARG45613 anti-TTC34 antibody at 2 μg/ml dilution.
-
ARG45613 anti-TTC34 antibody ICC/IF image
Immunofluorescence: U2OS stained with ARG45613 anti-TTC34 antibody at 5 μg/ml dilution.
-
ARG45613 anti-TTC34 antibody WB image
Western blot: Jurkat stained with ARG45613 anti-TTC34 antibody at 0.5 μg/ml dilution.
-
ARG45613 anti-TTC34 antibody FACS image
Flow Cytometry: Jurkat stained with ARG45613 anti-TTC34 antibody at 1 µg/10^6 cells dilution.
-
ARG45613 anti-TTC34 antibody WB image
Western blot: Rat testis stained with ARG45613 anti-TTC34 antibody at 0.5 μg/ml dilution.
-
ARG45613 anti-TTC34 antibody WB image
Western blot: Mouse testis stained with ARG45613 anti-TTC34 antibody at 0.5 μg/ml dilution.
