ARG63935
anti-TSC1 / Hamartin antibody
anti-TSC1 / Hamartin antibody for IHC-Formalin-fixed paraffin-embedded sections,Western blot and Human
Cancer antibody; Cell Biology and Cellular Response antibody; Gene Regulation antibody; Metabolism antibody
概述
| 产品描述 | Goat Polyclonal antibody recognizes TSC1 / Hamartin |
|---|---|
| 反应物种 | Hu |
| 预测物种 | Ms, Rat, Dog |
| 应用 | IHC-P, WB |
| 特异性 | This antibody is expected to recognise isoform 1 (NP_000359.1) only. |
| 宿主 | Goat |
| 克隆 | Polyclonal |
| 同位型 | IgG |
| 靶点名称 | TSC1 / Hamartin |
| 抗原物种 | Human |
| 抗原 | C-QLHIMDYNETHHEH |
| 偶联标记 | Un-conjugated |
| 別名 | LAM; Tuberous sclerosis 1 protein; Hamartin; TSC |
应用说明
| 应用建议 |
|
||||||
|---|---|---|---|---|---|---|---|
| 应用说明 | WB: Recommend incubate at RT for 1h. IHC-P: Antigen Retrieval: Steam tissue section in Citrate buffer (pH 6.0). * The dilutions indicate recommended starting dilutions and the optimal dilutions or concentrations should be determined by the scientist. |
属性
| 形式 | Liquid |
|---|---|
| 纯化 | Purified from goat serum by antigen affinity chromatography. |
| 缓冲液 | Tris saline (pH 7.3), 0.02% Sodium azide and 0.5% BSA. |
| 抗菌剂 | 0.02% Sodium azide |
| 稳定剂 | 0.5% BSA |
| 浓度 | 0.5 mg/ml |
| 存放说明 | For continuous use, store undiluted antibody at 2-8°C for up to a week. For long-term storage, aliquot and store at -20°C or below. Storage in frost free freezers is not recommended. Avoid repeated freeze/thaw cycles. Suggest spin the vial prior to opening. The antibody solution should be gently mixed before use. |
| 注意事项 | For laboratory research only, not for drug, diagnostic or other use. |
生物信息
| 数据库连接 | |
|---|---|
| 背景介绍 | This gene encodes a growth inhibitory protein thought to play a role in the stabilization of tuberin. Mutations in this gene have been associated with tuberous sclerosis. Alternative splicing results in multiple transcript variants. [provided by RefSeq, Jun 2009] |
| 研究领域 | Cancer antibody; Cell Biology and Cellular Response antibody; Gene Regulation antibody; Metabolism antibody |
| 预测分子量 | 130 kDa |
| 翻译后修饰 | Phosphorylation at Ser-505 does not affect interaction with TSC2. |
检测图片 (4) Click the Picture to Zoom In
-
ARG63935 anti-TSC1 / Hamartin antibody WB image
Western blot: Human Brain lysate (35 µg protein in RIPA buffer) stained with ARG63935 anti-TSC1 / Hamartin antibody at 0.1 µg/ml dilution.
-
ARG63935 anti-TSC1 / Hamartin antibody WB image
Western blot: 1). Mock transfection; 2) Human TSC1 (RC213332) expressing plasmid transfected HEK293 cell lysate standed with ARG63935 anti-TSC1 / Hamartin antibody.
-
ARG63935 anti-TSC1 / Hamartin antibody IHC-P image
Immunohistochemistry: Paraffin-embedded Human liver tissue. Antigen Retrieval: Steam tissue section in Citrate buffer (pH 6.0). The tissue section was stained with ARG63935 anti-TSC1 / Hamartin antibody at 3.75 µg/ml dilution followed by AP-staining.
-
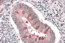
ARG63935 anti-TSC1 / Hamartin antibody IHC-P image
Immunohistochemistry: Paraffin embedded Human Uterus. (Steamed antigen retrieval with citrate buffer pH 6) stained with ARG63935 anti-TSC1 / Hamartin antibody at 3.8 µg/ml dilution followed by AP-staining.
