ARG40781
anti-TRPM8 antibody
anti-TRPM8 antibody for IHC-Formalin-fixed paraffin-embedded sections,Western blot and Human
概述
| 产品描述 | Rabbit Polyclonal antibody recognizes TRPM8 |
|---|---|
| 反应物种 | Hu |
| 应用 | IHC-P, WB |
| 宿主 | Rabbit |
| 克隆 | Polyclonal |
| 同位型 | IgG |
| 靶点名称 | TRPM8 |
| 抗原物种 | Human |
| 抗原 | KLH-conjugated synthetic peptide between aa. 521-552 of Human TRPM8. |
| 偶联标记 | Un-conjugated |
| 別名 | TRPP8; Transient receptor potential cation channel subfamily M member 8; Transient receptor potential p8; LTRPC6; Trp-p8; LTrpC6; Long transient receptor potential channel 6; LTrpC-6 |
应用说明
| 应用建议 |
|
||||||
|---|---|---|---|---|---|---|---|
| 应用说明 | * The dilutions indicate recommended starting dilutions and the optimal dilutions or concentrations should be determined by the scientist. | ||||||
| 阳性对照 | Human brain |
属性
| 形式 | Liquid |
|---|---|
| 纯化 | Purification with Protein A and immunogen peptide. |
| 缓冲液 | PBS and 0.09% (W/V) Sodium azide. |
| 抗菌剂 | 0.09% (W/V) Sodium azide |
| 存放说明 | For continuous use, store undiluted antibody at 2-8°C for up to a week. For long-term storage, aliquot and store at -20°C or below. Storage in frost free freezers is not recommended. Avoid repeated freeze/thaw cycles. Suggest spin the vial prior to opening. The antibody solution should be gently mixed before use. |
| 注意事项 | For laboratory research only, not for drug, diagnostic or other use. |
生物信息
| 数据库连接 |
Swiss-port # Q7Z2W7 Human Transient receptor potential cation channel subfamily M member 8 |
|---|---|
| 基因名称 | TRPM8 |
| 全名 | transient receptor potential cation channel, subfamily M, member 8 |
| 生物功能 | Receptor-activated non-selective cation channel involved in detection of sensations such as coolness, by being activated by cold temperature below 25 degrees Celsius. Activated by icilin, eucalyptol, menthol, cold and modulation of intracellular pH. Involved in menthol sensation. Permeable for monovalent cations sodium, potassium, and cesium and divalent cation calcium. Temperature sensing is tightly linked to voltage-dependent gating. Activated upon depolarization, changes in temperature resulting in graded shifts of its voltage-dependent activation curves. The chemical agonist menthol functions as a gating modifier, shifting activation curves towards physiological membrane potentials. Temperature sensitivity arises from a tenfold difference in the activation energies associated with voltage-dependent opening and closing. In prostate cancer cells, shows strong inward rectification and high calcium selectivity in contrast to its behavior in normal cells which is characterized by outward rectification and poor cationic selectivity. Plays a role in prostate cancer cell migration. Isoform 2 and isoform 3 negatively regulate menthol- and cold-induced channel activity by stabilizing the closed state of the channel. [UniProt] |
| 细胞定位 | Cell membrane; Multi-pass membrane protein. Membrane raft. Endoplasmic reticulum membrane. Note=Localizes to membrane rafts but is also located in the cell membrane outside of these regions where channel response to cold is enhanced compared to membrane rafts. Located in the endoplasmic reticulum in prostate cancer cells. [UniProt] |
| 预测分子量 | 128 kDa |
检测图片 (2) Click the Picture to Zoom In
-
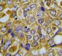
ARG40781 anti-TRPM8 antibody IHC-P image
Immunohistochemistry: Formalin-fixed and paraffin-embedded Human prostata carcinoma tissue stained with ARG40781 anti-TRPM8 antibody.
-
ARG40781 anti-TRPM8 antibody WB image
Western blot: 35 µg of Human brain lysate stained with ARG40781 anti-TRPM8 antibody at 1:1000 dilution.
