ARG40780
anti-TRPM5 antibody
anti-TRPM5 antibody for IHC-Formalin-fixed paraffin-embedded sections,Western blot and Human,Mouse,Rat
概述
| 产品描述 | Rabbit Polyclonal antibody recognizes TRPM5 |
|---|---|
| 反应物种 | Hu, Ms, Rat |
| 应用 | IHC-P, WB |
| 宿主 | Rabbit |
| 克隆 | Polyclonal |
| 同位型 | IgG |
| 靶点名称 | TRPM5 |
| 抗原物种 | Human |
| 抗原 | Recombinant protein corresponding to S1021-Q1108 of Human TRPM5. |
| 偶联标记 | Un-conjugated |
| 別名 | LTrpC5; Transient receptor potential cation channel subfamily M member 5; LTRPC5; MTR1; MLSN1- and TRP-related gene 1 protein; LTrpC-5; Long transient receptor potential channel 5 |
应用说明
| 应用建议 |
|
||||||
|---|---|---|---|---|---|---|---|
| 应用说明 | * The dilutions indicate recommended starting dilutions and the optimal dilutions or concentrations should be determined by the scientist. | ||||||
| 实际分子量 | 130 kDa |
属性
| 形式 | Liquid |
|---|---|
| 纯化 | Affinity purification with immunogen. |
| 缓冲液 | 0.2% Na2HPO4, 0.9% NaCl, 0.05% Sodium azide and 5% BSA. |
| 抗菌剂 | 0.05% Sodium azide |
| 稳定剂 | 5% BSA |
| 浓度 | 0.5 mg/ml |
| 存放说明 | For continuous use, store undiluted antibody at 2-8°C for up to a week. For long-term storage, aliquot and store at -20°C or below. Storage in frost free freezers is not recommended. Avoid repeated freeze/thaw cycles. Suggest spin the vial prior to opening. The antibody solution should be gently mixed before use. |
| 注意事项 | For laboratory research only, not for drug, diagnostic or other use. |
生物信息
| 数据库连接 |
Swiss-port # Q9JJH7 Mouse Transient receptor potential cation channel subfamily M member 5 Swiss-port # Q9NZQ8 Human Transient receptor potential cation channel subfamily M member 5 |
|---|---|
| 基因名称 | TRPM5 |
| 全名 | transient receptor potential cation channel, subfamily M, member 5 |
| 背景介绍 | This gene encodes a member of the transient receptor potential (TRP) protein family, which is a diverse group of proteins with structural features typical of ion channels. This protein plays an important role in taste transduction, and has characteristics of a calcium-activated, non-selective cation channel that carries Na+, K+, and Cs+ ions equally well, but not Ca(2+) ions. It is activated by lower concentrations of intracellular Ca(2+), and inhibited by higher concentrations. It is also a highly temperature-sensitive, heat activated channel showing a steep increase of inward currents at temperatures between 15 and 35 degrees Celsius. This gene is located within the Beckwith-Wiedemann syndrome critical region-1 on chromosome 11p15.5, and has been shown to be imprinted, with exclusive expression from the paternal allele. [provided by RefSeq, Oct 2010] |
| 生物功能 | Voltage-modulated Ca(2+)-activated, monovalent cation channel (VCAM) that mediates a transient membrane depolarization and plays a central role in taste transduction. Monovalent-specific, non-selective cation channel that mediates the transport of Na(+), K(+) and Cs(+) ions equally well. Activated directly by increases in intracellular Ca(2+), but is impermeable to it. Gating is voltage-dependent and displays rapid activation and deactivation kinetics upon channel stimulation even during sustained elevations in Ca(2+). Also activated by a fast intracellular Ca(2+) increase in response to inositol 1,4,5-triphosphate-producing receptor agonists. The channel is blocked by extracellular acidification. External acidification has 2 effects, a fast reversible block of the current and a slower irreversible enhancement of current inactivation. Is a highly temperature-sensitive, heat activated channel showing a steep increase of inward currents at temperatures between 15 and 35 degrees Celsius. Heat activation is due to a shift of the voltage-dependent activation curve to negative potentials. Activated by arachidonic acid in vitro. May be involved in perception of bitter, sweet and umami tastes. May also be involved in sensing semiochemicals. [UniProt] |
| 细胞定位 | Cell membrane; Multi-pass membrane protein. [UniProt] |
| 预测分子量 | 131 kDa |
检测图片 (4) Click the Picture to Zoom In
-
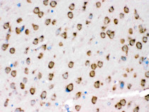
ARG40780 anti-TRPM5 antibody IHC-P image
Immunohistochemistry: Paraffin-embedded Mouse brain tissue stained with ARG40780 anti-TRPM5 antibody at 1 µg/ml dilution.
-
ARG40780 anti-TRPM5 antibody WB image
Western blot: SMMC-7721 and 293T whole cell lysates stained with ARG40780 anti-TRPM5 antibody at 0.5 µg/ml dilution.
-
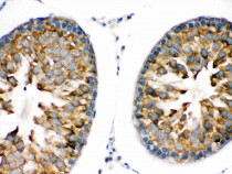
ARG40780 anti-TRPM5 antibody IHC-P image
Immunohistochemistry: Paraffin-embedded Rat testis tissue stained with ARG40780 anti-TRPM5 antibody at 1 µg/ml dilution.
-
ARG40780 anti-TRPM5 antibody IHC-P image
Immunohistochemistry: Paraffin-embedded Human prostatic cancer tissue stained with ARG40780 anti-TRPM5 antibody at 1 µg/ml dilution.
