ARG59339
anti-TRPM4 antibody
anti-TRPM4 antibody for IHC-Formalin-fixed paraffin-embedded sections,Western blot and Human,Mouse
概述
| 产品描述 | Rabbit Polyclonal antibody recognizes TRPM4 |
|---|---|
| 反应物种 | Hu, Ms |
| 应用 | IHC-P, WB |
| 宿主 | Rabbit |
| 克隆 | Polyclonal |
| 同位型 | IgG |
| 靶点名称 | TRPM4 |
| 抗原物种 | Human |
| 抗原 | Recombinant protein corresponding to F1079-D1214 of Human TRPM4. |
| 偶联标记 | Un-conjugated |
| 別名 | hTRPM4; Transient receptor potential cation channel subfamily M member 4; PFHB1B; Melastatin-4; LTrpC4; TRPM4B; Long transient receptor potential channel 4; LTrpC-4; Calcium-activated non-selective cation channel 1 |
应用说明
| 应用建议 |
|
||||||
|---|---|---|---|---|---|---|---|
| 应用说明 | IHC-P: Antigen Retrieval: By heat mediation. * The dilutions indicate recommended starting dilutions and the optimal dilutions or concentrations should be determined by the scientist. |
属性
| 形式 | Liquid |
|---|---|
| 纯化 | Affinity purification with immunogen. |
| 缓冲液 | 0.9% NaCl, 0.2% Na2HPO4, 0.05% Sodium azide and 5% BSA. |
| 抗菌剂 | 0.05% Sodium azide |
| 稳定剂 | 5% BSA |
| 浓度 | 0.5 mg/ml |
| 存放说明 | For continuous use, store undiluted antibody at 2-8°C for up to a week. For long-term storage, aliquot and store at -20°C or below. Storage in frost free freezers is not recommended. Avoid repeated freeze/thaw cycles. Suggest spin the vial prior to opening. The antibody solution should be gently mixed before use. |
| 注意事项 | For laboratory research only, not for drug, diagnostic or other use. |
生物信息
| 数据库连接 |
Swiss-port # Q7TN37 Mouse Transient receptor potential cation channel subfamily M member 4 Swiss-port # Q8TD43 Human Transient receptor potential cation channel subfamily M member 4 |
|---|---|
| 基因名称 | TRPM4 |
| 全名 | transient receptor potential cation channel, subfamily M, member 4 |
| 背景介绍 | The protein encoded by this gene is a calcium-activated nonselective ion channel that mediates transport of monovalent cations across membranes, thereby depolarizing the membrane. The activity of the encoded protein increases with increasing intracellular calcium concentration, but this channel does not transport calcium. Two transcript variants encoding different isoforms have been found for this gene. [provided by RefSeq, Aug 2010] |
| 生物功能 | Calcium-activated non selective (CAN) cation channel that mediates membrane depolarization. While it is activated by increase in intracellular Ca(2+), it is impermeable to it. Mediates transport of monovalent cations (Na(+) > K(+) > Cs(+) > Li(+)), leading to depolarize the membrane. It thereby plays a central role in cadiomyocytes, neurons from entorhinal cortex, dorsal root and vomeronasal neurons, endocrine pancreas cells, kidney epithelial cells, cochlea hair cells etc. Participates in T-cell activation by modulating Ca(2+) oscillations after T lymphocyte activation, which is required for NFAT-dependent IL2 production. Involved in myogenic constriction of cerebral arteries. Controls insulin secretion in pancreatic beta-cells. May also be involved in pacemaking or could cause irregular electrical activity under conditions of Ca(2+) overload. Affects T-helper 1 (Th1) and T-helper 2 (Th2) cell motility and cytokine production through differential regulation of calcium signaling and NFATC1 localization. Enhances cell proliferation through up-regulation of the beta-catenin signaling pathway. [UniProt] |
| 细胞定位 | Isoform 1: Cell membrane; Multi-pass membrane protein. Endoplasmic reticulum. Golgi apparatus. Isoform 2: Cell membrane. Endoplasmic reticulum. Golgi apparatus. [UniProt] |
| 预测分子量 | 134 kDa |
| 翻译后修饰 | Phosphorylation by PKC leads to increase the sensitivity to Ca(2+). Sumoylated. Desumoylated by SENP1. [UniProt] |
检测图片 (2) Click the Picture to Zoom In
-
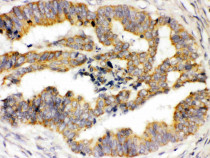
ARG59339 anti-TRPM4 antibody IHC-P image
Immunohistochemistry: Paraffin-embedded Human intestinal cancer stained with ARG59339 anti-TRPM4 antibody at 1 ug/ml dilution.
-
ARG59339 anti-TRPM4 antibody WB image
Western blot: Mouse spleen and SW620 whole cell lysates stained with ARG59339 anti-TRPM4 antibody at 0.5 ug/ml dilution.
