ARG65598
anti-TRPC3 antibody
anti-TRPC3 antibody for IHC-Formalin-fixed paraffin-embedded sections,Western blot and Human,Mouse,Rat
Cell Biology and Cellular Response antibody; Neuroscience antibody; Signaling Transduction antibody
概述
| 产品描述 | Rabbit Polyclonal antibody recognizes TRPC3 |
|---|---|
| 反应物种 | Hu, Ms, Rat |
| 应用 | IHC-P, WB |
| 宿主 | Rabbit |
| 克隆 | Polyclonal |
| 同位型 | IgG |
| 靶点名称 | TRPC3 |
| 抗原物种 | Human |
| 抗原 | Synthetic peptide of human TRPC3 |
| 偶联标记 | Un-conjugated |
| 別名 | hTrp3; hTrp-3; TrpC3; Transient receptor protein 3; TRP3; SCA41; Short transient receptor potential channel 3; TRP-3 |
应用说明
| 应用建议 |
|
||||||
|---|---|---|---|---|---|---|---|
| 应用说明 | * The dilutions indicate recommended starting dilutions and the optimal dilutions or concentrations should be determined by the scientist. |
属性
| 形式 | Liquid |
|---|---|
| 纯化 | Purified by antigen-affinity chromatography. |
| 缓冲液 | PBS (pH 7.4), 0.02% Sodium azide, 0.5% BSA and 50% Glycerol. |
| 抗菌剂 | 0.02% Sodium azide |
| 稳定剂 | 0.5% BSA and 50% Glycerol |
| 浓度 | 1 mg/ml |
| 存放说明 | For continuous use, store undiluted antibody at 2-8°C for up to a week. For long-term storage, aliquot and store at -20°C. Storage in frost free freezers is not recommended. Avoid repeated freeze/thaw cycles. Suggest spin the vial prior to opening. The antibody solution should be gently mixed before use. |
| 注意事项 | For laboratory research only, not for drug, diagnostic or other use. |
生物信息
| 数据库连接 |
Swiss-port # Q13507 Human Short transient receptor potential channel 3 |
|---|---|
| 基因名称 | TRPC3 |
| 全名 | transient receptor potential cation channel, subfamily C, member 3 |
| 背景介绍 | The protein encoded by this gene is a membrane protein that can form a non-selective channel permeable to calcium and other cations. The encoded protein appears to be induced to form channels by a receptor tyrosine kinase-activated phosphatidylinositol second messenger system and also by depletion of intracellular calcium stores. Two transcript variants encoding different isoforms have been found for this gene. |
| 生物功能 | Thought to form a receptor-activated non-selective calcium permeant cation channel. Probably is operated by a phosphatidylinositol second messenger system activated by receptor tyrosine kinases or G-protein coupled receptors. Activated by diacylglycerol (DAG) in a membrane-delimited fashion, independently of protein kinase C, and by inositol 1,4,5-triphosphate receptors (ITPR) with bound IP3. May also be activated by internal calcium store depletion. [UniProt] |
| 研究领域 | Cell Biology and Cellular Response antibody; Neuroscience antibody; Signaling Transduction antibody |
| 预测分子量 | 96 kDa |
检测图片 (4) Click the Picture to Zoom In
-
ARG65598 anti-TRPC3 antibody WB image
Western blot: Mouse hippocampus stained with ARG65598 anti-TRPC3 antibody.
From LI Shuang et al. Journal of China Medical University- (2020), doi: 10.12007-j-issn-0258-4646-2020-12-007, Fig. 1. A.
-
ARG65598 anti-TRPC3 antibody IHC-P image
Immunohistochemistry: Paraffin-embedded Human ovarian cancer tissue stained with ARG65598 anti-TRPC3 antibody (left) at 1:80 dilution, or the same antibody preincubated with synthetic peptide (right). (Original magnification: ×200).
-
ARG65598 anti-TRPC3 antibody WB image
Western blot: 40 μg of Human fetal brain lysate stained with ARG65598 anti-TRPC3 antibody at 1:1600 dilution. Exposure time: 2 minutes.
-
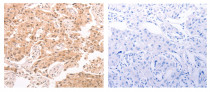
ARG65598 anti-TRPC3 antibody IHC-P image
Immunohistochemistry: Paraffin-embedded Human lung cancer tissue stained with ARG65598 anti-TRPC3 antibody (left) at 1:80 dilution, or the same antibody preincubated with synthetic peptide (right). (Original magnification: ×200).

