ARG63250
anti-TRIM28 / KAP1 antibody
anti-TRIM28 / KAP1 antibody for Flow cytometry,ICC/IF,IHC-Formalin-fixed paraffin-embedded sections and Human
Cancer antibody; Cell Biology and Cellular Response antibody; Cell Death antibody; Gene Regulation antibody
概述
| 产品描述 | Goat Polyclonal antibody recognizes TRIM28 / KAP1 |
|---|---|
| 反应物种 | Hu |
| 预测物种 | Ms |
| 应用 | FACS, ICC/IF, IHC-P |
| 宿主 | Goat |
| 克隆 | Polyclonal |
| 同位型 | IgG |
| 靶点名称 | TRIM28 / KAP1 |
| 抗原物种 | Human |
| 抗原 | C-SSQELSGGPGDGP |
| 偶联标记 | Un-conjugated |
| 別名 | TIF1-beta; Tripartite motif-containing protein 28; EC 6.3.2.-; KAP1; PPP1R157; TIF1B; RNF96; RING finger protein 96; KRIP-1; Nuclear corepressor KAP-1; Transcription intermediary factor 1-beta; KAP-1; KRAB-interacting protein 1; KRAB-associated protein 1; TF1B; E3 SUMO-protein ligase TRIM28 |
应用说明
| 应用建议 |
|
||||||||
|---|---|---|---|---|---|---|---|---|---|
| 应用说明 | IHC-P: Antigen Retrieval: Steam tissue section in Tris/EDTA buffer (pH 9.0). * The dilutions indicate recommended starting dilutions and the optimal dilutions or concentrations should be determined by the scientist. |
属性
| 形式 | Liquid |
|---|---|
| 纯化 | Purified from goat serum by antigen affinity chromatography. |
| 缓冲液 | Tris saline (pH 7.3), 0.02% Sodium azide and 0.5% BSA. |
| 抗菌剂 | 0.02% Sodium azide |
| 稳定剂 | 0.5% BSA |
| 浓度 | 0.5 mg/ml |
| 存放说明 | For continuous use, store undiluted antibody at 2-8°C for up to a week. For long-term storage, aliquot and store at -20°C or below. Storage in frost free freezers is not recommended. Avoid repeated freeze/thaw cycles. Suggest spin the vial prior to opening. The antibody solution should be gently mixed before use. |
| 注意事项 | For laboratory research only, not for drug, diagnostic or other use. |
生物信息
| 数据库连接 |
Swiss-port # Q13263 Human Transcription intermediary factor 1-beta |
|---|---|
| 基因名称 | TRIM28 |
| 全名 | tripartite motif containing 28 |
| 背景介绍 | The protein encoded by this gene mediates transcriptional control by interaction with the Kruppel-associated box repression domain found in many transcription factors. The protein localizes to the nucleus and is thought to associate with specific chromatin regions. The protein is a member of the tripartite motif family. This tripartite motif includes three zinc-binding domains, a RING, a B-box type 1 and a B-box type 2, and a coiled-coil region. [provided by RefSeq, Jul 2008] |
| 研究领域 | Cancer antibody; Cell Biology and Cellular Response antibody; Cell Death antibody; Gene Regulation antibody |
| 预测分子量 | 89 kDa |
| 翻译后修饰 | ATM-induced phosphorylation on Ser-824 represses sumoylation leading to the de-repression of expression of a subset of genes involved in cell cycle control and apoptosis in response to genotoxic stress. Dephosphorylation by the phosphatases, PPP1CA and PP1CB forms, allows sumoylation and expression of TRIM28 target genes. Sumoylation/desumoylation events regulate TRIM28-mediated transcriptional repression. Sumoylation is required for interaction with CHD3 and SETDB1 and the corepressor activity. Represses and is repressed by Ser-824 phosphorylation. Enhances the TRIM28 corepressor activity, inhibiting transcriptional activity of a number of genes including GADD45A and CDKN1A/p21. Lys-554, Lys-779 and Lys-804 are the major sites of sumoylation. In response to Dox-induced DNA damage, enhanced phosphorylation on Ser-824 prevents sumoylation and allows de-repression of CDKN1A/p21. Auto-ubiquitinated; enhanced by MAGEA2 and MAGEC2. Citrullinated by PADI4. |
检测图片 (5) Click the Picture to Zoom In
-
ARG63250 anti-TRIM28 / KAP1 antibody ICC/IF image
Immunofluorescence: Paraformaldehyde fixed HeLa cells permeabilized with 0.15% Triton. Cells were stained with ARG63250 anti-TRIM28 / KAP1 antibody (green) at 10 µg/ml dilution for 1 hour. DAPI (blue) for nuclear staining. Negative control: Unimmunized goat IgG (green) at 10 µg/ml dilution.
-
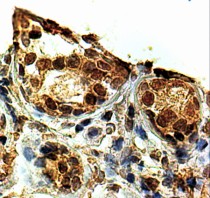
ARG63250 anti-TRIM28 / KAP1 antibody IHC-P image
Immunohistochemistry: Paraffin-embedded Human breast tissue. Antigen Retrieval: Steam tissue section in Tris/EDTA buffer (pH 9.0). The tissue section was stained with ARG63250 anti-TRIM28 / KAP1 antibody at 2 µg/ml dilution followed by HRP-staining.
-
ARG63250 anti-TRIM28 / KAP1 antibody IHC-P image
Immunohistochemistry: Paraffin-embedded Human breast. (Steamed antigen retrieval with citrate buffer pH 9.0) stained with ARG63250 anti-TRIM28 / KAP1 antibody at 2 µg/ml dilution followed by HRP-staining.
-
ARG63250 anti-TRIM28 / KAP1 antibody FACS image
Flow Cytometry: Paraformaldehyde-fixed HeLa cells permeabilized with 0.5% Triton. Cells were stained with ARG63250 anti-TRIM28 / KAP1 antibody (blue line) at 10 µg/ml dilution for 1 hour, followed by incubation with Alexa FluorR 488 labelled secondary antibody. IgG control: Unimmunized goat IgG (black line).
-
ARG63250 anti-TRIM28 / KAP1 antibody ICC/IF image
Immunofluorescence: Paraformaldehyde fixed U2OS cells permeabilized with 0.15% Triton. Cells were stained with ARG63250 anti-TRIM28 / KAP1 antibody (green) at 10 µg/ml dilution for 1 hour. DAPI (blue) for nuclear staining. Negative control: Unimmunized goat IgG (green) at 10 µg/ml dilution.
