ARG40934
anti-TRIM28 / KAP1 antibody
anti-TRIM28 / KAP1 antibody for Flow cytometry,IHC-Formalin-fixed paraffin-embedded sections,Western blot and Human,Mouse,Rat
概述
| 产品描述 | Rabbit Polyclonal antibody recognizes TRIM28 / KAP1 |
|---|---|
| 反应物种 | Hu, Ms, Rat |
| 应用 | FACS, IHC-P, WB |
| 宿主 | Rabbit |
| 克隆 | Polyclonal |
| 同位型 | IgG |
| 靶点名称 | TRIM28 / KAP1 |
| 抗原物种 | Human |
| 抗原 | Recombinant protein corresponding to A699-P835 of Human KAP1. |
| 偶联标记 | Un-conjugated |
| 別名 | TIF1-beta; Tripartite motif-containing protein 28; EC 6.3.2.-; KAP1; PPP1R157; TIF1B; RNF96; RING finger protein 96; KRIP-1; Nuclear corepressor KAP-1; Transcription intermediary factor 1-beta; KAP-1; KRAB-interacting protein 1; KRAB-associated protein 1; TF1B; E3 SUMO-protein ligase TRIM28 |
应用说明
| 应用建议 |
|
||||||||
|---|---|---|---|---|---|---|---|---|---|
| 应用说明 | * The dilutions indicate recommended starting dilutions and the optimal dilutions or concentrations should be determined by the scientist. |
属性
| 形式 | Liquid |
|---|---|
| 纯化 | Affinity purification with immunogen. |
| 缓冲液 | 0.2% Na2HPO4, 0.9% NaCl, 0.05% Sodium azide and 5% BSA. |
| 抗菌剂 | 0.05% Sodium azide |
| 稳定剂 | 5% BSA |
| 浓度 | 0.5 mg/ml |
| 存放说明 | For continuous use, store undiluted antibody at 2-8°C for up to a week. For long-term storage, aliquot and store at -20°C or below. Storage in frost free freezers is not recommended. Avoid repeated freeze/thaw cycles. Suggest spin the vial prior to opening. The antibody solution should be gently mixed before use. |
| 注意事项 | For laboratory research only, not for drug, diagnostic or other use. |
生物信息
| 数据库连接 | |
|---|---|
| 基因名称 | TRIM28 |
| 全名 | tripartite motif containing 28 |
| 背景介绍 | The protein encoded by this gene mediates transcriptional control by interaction with the Kruppel-associated box repression domain found in many transcription factors. The protein localizes to the nucleus and is thought to associate with specific chromatin regions. The protein is a member of the tripartite motif family. This tripartite motif includes three zinc-binding domains, a RING, a B-box type 1 and a B-box type 2, and a coiled-coil region. [provided by RefSeq, Jul 2008] |
| 生物功能 | Nuclear corepressor for KRAB domain-containing zinc finger proteins (KRAB-ZFPs). Mediates gene silencing by recruiting CHD3, a subunit of the nucleosome remodeling and deacetylation (NuRD) complex, and SETDB1 (which specifically methylates histone H3 at 'Lys-9' (H3K9me)) to the promoter regions of KRAB target genes. Enhances transcriptional repression by coordinating the increase in H3K9me, the decrease in histone H3 'Lys-9 and 'Lys-14' acetylation (H3K9ac and H3K14ac, respectively) and the disposition of HP1 proteins to silence gene expression. Recruitment of SETDB1 induces heterochromatinization. May play a role as a coactivator for CEBPB and NR3C1 in the transcriptional activation of ORM1. Also corepressor for ERBB4. Inhibits E2F1 activity by stimulating E2F1-HDAC1 complex formation and inhibiting E2F1 acetylation. May serve as a partial backup to prevent E2F1-mediated apoptosis in the absence of RB1. Important regulator of CDKN1A/p21(CIP1). Has E3 SUMO-protein ligase activity toward itself via its PHD-type zinc finger. Also specifically sumoylates IRF7, thereby inhibiting its transactivation activity. Ubiquitinates p53/TP53 leading to its proteosomal degradation; the function is enhanced by MAGEC2 and MAGEA2, and possibly MAGEA3 and MAGEA6. Mediates the nuclear localization of KOX1, ZNF268 and ZNF300 transcription factors. In association with isoform 2 of ZFP90, is required for the transcriptional repressor activity of FOXP3 and the suppressive function of regulatory T-cells (Treg). [UniProt] |
| 细胞定位 | Nucleus. Note=Associated with centromeric heterochromatin during cell differentiation through CBX1. [UniProt] |
| 预测分子量 | 89 kDa |
| 翻译后修饰 | ATM-induced phosphorylation on Ser-824 represses sumoylation leading to the de-repression of expression of a subset of genes involved in cell cycle control and apoptosis in response to genotoxic stress. Dephosphorylation by the phosphatases, PPP1CA and PP1CB forms, allows sumoylation and expression of TRIM28 target genes. Sumoylation/desumoylation events regulate TRIM28-mediated transcriptional repression. Sumoylation is required for interaction with CHD3 and SETDB1 and the corepressor activity. Represses and is repressed by Ser-824 phosphorylation. Enhances the TRIM28 corepressor activity, inhibiting transcriptional activity of a number of genes including GADD45A and CDKN1A/p21. Lys-554, Lys-779 and Lys-804 are the major sites of sumoylation. In response to Dox-induced DNA damage, enhanced phosphorylation on Ser-824 prevents sumoylation and allows de-repression of CDKN1A/p21. Auto-ubiquitinated; enhanced by MAGEA2 and MAGEC2. Citrullinated by PADI4. [UniProt] |
检测图片 (5) Click the Picture to Zoom In
-
ARG40934 anti-TRIM28 / KAP1 antibody IHC-P image
Immunohistochemistry: Paraffin-embedded Mouse intestine tissue stained with ARG40934 anti-TRIM28 / KAP1 antibody.
-
ARG40934 anti-TRIM28 / KAP1 antibody WB image
Western blot: 50 µg of Rat testis, 50 µg of Rat ovary, 40 µg of SKOV, 40 µg of COLO320 and 40 µg of HeLa whole cell lysates stained with ARG40934 anti-TRIM28 / KAP1 antibody at 0.5 µg/ml dilution.
-
ARG40934 anti-TRIM28 / KAP1 antibody FACS image
Flow Cytometry: U2OS cells were blocked with 10% normal goat serum and then stained with ARG40934 anti-TRIM28 / KAP1 antibody (blue) at 1 µg/10^6 cells for 30 min at 20°C, followed by incubation with DyLight®488 labelled secondary antibody. Isotype control antibody (green) was Rabbit IgG (1 µg/10^6 cells) used under the same conditions. Unlabelled sample (red) was also used as a control.
-
ARG40934 anti-TRIM28 / KAP1 antibody IHC-P image
Immunohistochemistry: Paraffin-embedded Rat intestine tissue stained with ARG40934 anti-TRIM28 / KAP1 antibody.
-
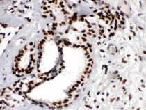
ARG40934 anti-TRIM28 / KAP1 antibody IHC-P image
Immunohistochemistry: Paraffin-embedded Human mammary cancer tissue stained with ARG40934 anti-TRIM28 / KAP1 antibody.
