ARG43044
anti-TRIB2 antibody
anti-TRIB2 antibody for IHC-Formalin-fixed paraffin-embedded sections,Western blot and Human,Mouse,Rat
概述
| 产品描述 | Rabbit Polyclonal antibody recognizes TRIB2 |
|---|---|
| 反应物种 | Hu, Ms, Rat |
| 应用 | IHC-P, WB |
| 宿主 | Rabbit |
| 克隆 | Polyclonal |
| 同位型 | IgG |
| 靶点名称 | TRIB2 |
| 抗原物种 | Human |
| 抗原 | Synthetic peptide corresponding to aa. 175-211 of Human TRIB2. (DLKLRKFIFKDEERTRVKLESLEDAYILRGDDDSLSD) |
| 偶联标记 | Un-conjugated |
| 別名 | TRB-2; GS3955; Tribbles homolog 2; C5FW; TRB2 |
应用说明
| 应用建议 |
|
||||||
|---|---|---|---|---|---|---|---|
| 应用说明 | * The dilutions indicate recommended starting dilutions and the optimal dilutions or concentrations should be determined by the scientist. |
属性
| 形式 | Liquid |
|---|---|
| 纯化 | Affinity purification with immunogen. |
| 缓冲液 | 0.2% Na2HPO4, 0.9% NaCl, 0.05% Sodium azide and 5% BSA. |
| 抗菌剂 | 0.05% Sodium azide |
| 稳定剂 | 5% BSA |
| 浓度 | 0.5 mg/ml |
| 存放说明 | For continuous use, store undiluted antibody at 2-8°C for up to a week. For long-term storage, aliquot and store at -20°C or below. Storage in frost free freezers is not recommended. Avoid repeated freeze/thaw cycles. Suggest spin the vial prior to opening. The antibody solution should be gently mixed before use. |
| 注意事项 | For laboratory research only, not for drug, diagnostic or other use. |
生物信息
| 数据库连接 | |
|---|---|
| 基因名称 | TRIB2 |
| 全名 | tribbles pseudokinase 2 |
| 背景介绍 | This gene encodes one of three members of the Tribbles family. The Tribbles members share a Trb domain, which is homologous to protein serine-threonine kinases, but lacks the active site lysine and probably lacks a catalytic function. The Tribbles proteins interact and modulate the activity of signal transduction pathways in a number of physiological and pathological processes. This Tribbles member induces apoptosis of cells mainly of the hematopoietic origin. It has been identified as a protein up-regulated by inflammatory stimuli in myeloid (THP-1) cells, and also as an oncogene that inactivates the transcription factor C/EBPalpha (CCAAT/enhancer-binding protein alpha) and causes acute myelogenous leukemia. Alternatively spliced transcript variants have been found for this gene. [provided by RefSeq, Mar 2009] |
| 生物功能 | Interacts with MAPK kinases and regulates activation of MAP kinases. Does not display kinase activity (By similarity). [UniProt] |
| 细胞定位 | Cytoplasm. Cytoplasm, cytoskeleton. Note=May associate with the cytoskeleton. [UniProt] |
| 预测分子量 | 39 kDa |
检测图片 (4) Click the Picture to Zoom In
-
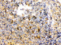
ARG43044 anti-TRIB2 antibody IHC-P image
Immunohistochemistry: Paraffin-embedded Human tonsil tissue stained with ARG43044 anti-TRIB2 antibody at 1 µg/ml dilution.
-
ARG43044 anti-TRIB2 antibody WB image
Western blot: SW620 whole cell lysate stained with ARG43044 anti-TRIB2 antibody at 0.5 µg/ml dilution.
-
ARG43044 anti-TRIB2 antibody IHC-P image
Immunohistochemistry: Paraffin-embedded Rat spleen tissue stained with ARG43044 anti-TRIB2 antibody at 1 µg/ml dilution.
-
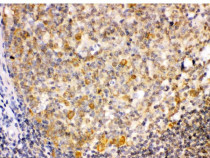
ARG43044 anti-TRIB2 antibody IHC-P image
Immunohistochemistry: Paraffin-embedded Mouse spleen tissue stained with ARG43044 anti-TRIB2 antibody at 1 µg/ml dilution.
