ARG43146
anti-TRF1 antibody
anti-TRF1 antibody for IHC-Formalin-fixed paraffin-embedded sections,Western blot and Human,Rat
概述
| 产品描述 | Rabbit Polyclonal antibody recognizes TRF1 |
|---|---|
| 反应物种 | Hu, Rat |
| 应用 | IHC-P, WB |
| 宿主 | Rabbit |
| 克隆 | Polyclonal |
| 同位型 | IgG |
| 靶点名称 | TRF1 |
| 抗原物种 | Human |
| 抗原 | Recombinant fusion protein corresponding to aa. 240-419 of Human TRF1 (NP_003209.2). |
| 偶联标记 | Un-conjugated |
| 別名 | Telomeric repeat-binding factor 1; NIMA-interacting protein 2; t-TRF1; TRF; TRF1; TRBF1; hTRF1-AS; TTAGGG repeat-binding factor 1; PIN2; Telomeric protein Pin2/TRF1 |
应用说明
| 应用建议 |
|
||||||
|---|---|---|---|---|---|---|---|
| 应用说明 | * The dilutions indicate recommended starting dilutions and the optimal dilutions or concentrations should be determined by the scientist. | ||||||
| 阳性对照 | SH-SY5Y and Mouse eye | ||||||
| 实际分子量 | ~ 60 kDa |
属性
| 形式 | Liquid |
|---|---|
| 纯化 | Affinity purified. |
| 缓冲液 | PBS (pH 7.3), 0.02% Sodium azide and 50% Glycerol. |
| 抗菌剂 | 0.02% Sodium azide |
| 稳定剂 | 50% Glycerol |
| 存放说明 | For continuous use, store undiluted antibody at 2-8°C for up to a week. For long-term storage, aliquot and store at -20°C. Storage in frost free freezers is not recommended. Avoid repeated freeze/thaw cycles. Suggest spin the vial prior to opening. The antibody solution should be gently mixed before use. |
| 注意事项 | For laboratory research only, not for drug, diagnostic or other use. |
生物信息
| 数据库连接 | |
|---|---|
| 基因名称 | TERF1 |
| 全名 | telomeric repeat binding factor (NIMA-interacting) 1 |
| 背景介绍 | This gene encodes a telomere specific protein which is a component of the telomere nucleoprotein complex. This protein is present at telomeres throughout the cell cycle and functions as an inhibitor of telomerase, acting in cis to limit the elongation of individual chromosome ends. The protein structure contains a C-terminal Myb motif, a dimerization domain near its N-terminus and an acidic N-terminus. Two transcripts of this gene are alternatively spliced products. [provided by RefSeq, Jul 2008] |
| 生物功能 | Binds the telomeric double-stranded 5'-TTAGGG-3' repeat and negatively regulates telomere length. Involved in the regulation of the mitotic spindle. Component of the shelterin complex (telosome) that is involved in the regulation of telomere length and protection. Shelterin associates with arrays of double-stranded 5'-TTAGGG-3' repeats added by telomerase and protects chromosome ends; without its protective activity, telomeres are no longer hidden from the DNA damage surveillance and chromosome ends are inappropriately processed by DNA repair pathways. [UniProt] |
| 细胞定位 | Nucleus. Cytoplasm, cytoskeleton, spindle. Chromosome, telomere. Note=Colocalizes with telomeric DNA in interphase and prophase cells. Telomeric localization decreases in metaphase, anaphase and telophase. Associates with the mitotic spindle. [UniProt] |
| 预测分子量 | 50 kDa |
| 翻译后修饰 | Phosphorylated preferentially on Ser-219 in an ATM-dependent manner in response to ionizing DNA damage. ADP-ribosylation by TNKS1 or TNKS2 diminishes its ability to bind to telomeric DNA. Ubiquitinated by RLIM/RNF12, leading to its degradation by the proteasome. Ubiquitinated by a SCF (SKP1-CUL1-F-box protein) ubiquitin-protein ligase complex, leading to its degradation by the proteasome. [UniProt] |
检测图片 (3) Click the Picture to Zoom In
-
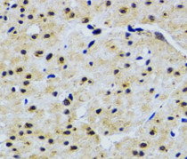
ARG43146 anti-TRF1 antibody IHC-P image
Immunohistochemistry: Paraffin-embedded Human gastric cancer tissue stained with ARG43146 anti-TRF1 antibody at 1:200 dilution.
-
ARG43146 anti-TRF1 antibody WB image
Western blot: SH-SY5Y cell lysate stained with ARG43146 anti-TRF1 antibody.
-
ARG43146 anti-TRF1 antibody WB image
Western blot: 25 µg of Mouse eye lysate stained with ARG43146 anti-TRF1 antibody at 1:1000 dilution.
