ARG44757
anti-TRAFD1 antibody
anti-TRAFD1 antibody for IHC-Formalin-fixed paraffin-embedded sections,Immunoprecipitation,Western blot and Human
概述
| 产品描述 | Mouse Monoclonal antibody recognizes TRAFD1 |
|---|---|
| 反应物种 | Hu |
| 应用 | IHC-P, IP, WB |
| 宿主 | Mouse |
| 克隆 | Monoclonal |
| 同位型 | IgG1 |
| 靶点名称 | TRAFD1 |
| 抗原物种 | Human |
| 偶联标记 | Un-conjugated |
| 別名 | TRAF-type zinc finger domain-containing protein 1; FLN29; Protein FLN29 |
应用说明
| 应用建议 |
|
||||||||
|---|---|---|---|---|---|---|---|---|---|
| 应用说明 | * The dilutions indicate recommended starting dilutions and the optimal dilutions or concentrations should be determined by the scientist. |
属性
| 形式 | Liquid |
|---|---|
| 纯化 | Protein A purification |
| 缓冲液 | PBS with 0.09% sodium azide |
| 存放说明 | For continuous use, store undiluted antibody at 2-8°C for up to a week. For long-term storage, aliquot and store at -20°C or below. Storage in frost free freezers is not recommended. Avoid repeated freeze/thaw cycles. Suggest spin the vial prior to opening. The antibody solution should be gently mixed before use. |
| 注意事项 | For laboratory research only, not for drug, diagnostic or other use. |
生物信息
| 数据库连接 |
Swiss-port # O14545 Human TRAF-type zinc finger domain-containing protein 1 |
|---|---|
| 基因名称 | TRAFD1 |
| 全名 | TRAF-type zinc finger domain containing 1 |
| 背景介绍 | The innate immune system confers host defense against viral and microbial infection, and TRAFD1 is a negative feedback regulator that controls excessive immune responses (Sanada et al., 2008 [PubMed 18849341]).[supplied by OMIM, Dec 2009] |
| 生物功能 | Regulates pathways leading to the activation of NF-kappa-B and MAP kinases, and plays a central role in the regulation of B-cell survival. Part of signaling pathways leading to the production of cytokines and interferon. Required for normal antibody isotype switching from IgM to IgG. Plays a role T-cell dependent immune responses. Plays a role in the regulation of antiviral responses. Is an essential constituent of several E3 ubiquitin-protein ligase complexes. May have E3 ubiquitin-protein ligase activity and promote 'Lys-63'-linked ubiquitination of target proteins. Inhibits activation of NF-kappa-B in response to LTBR stimulation. Inhibits TRAF2-mediated activation of NF-kappa-B. Down-regulates proteolytic processing of NFKB2, and thereby inhibits non-canonical activation of NF-kappa-B. Promotes ubiquitination and proteasomal degradation of MAP3K14. [UniProt] |
| 预测分子量 | 64 kDa |
检测图片 (3) Click the Picture to Zoom In
-
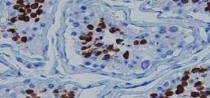
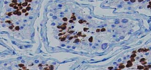
ARG44757 anti-TRAFD1 antibody IHC-P image
Immunohistochemistry: Human testis stained with ARG44757 anti-TRAFD1 antibody at 2.5 µg/mL dilution.
-
ARG44757 anti-TRAFD1 antibody WB image
Western blot: K562 stained with ARG44757 anti-TRAFD1 antibody at 1 µg/mL dilution.
-
ARG44757 anti-TRAFD1 antibody IP image
Immunoprecipitation: K562 lysate immunoprecipitated with 2.5 µg of ARG44757 anti-TRAFD1 antibody.
