ARG41096
anti-TRAF5 antibody
anti-TRAF5 antibody for IHC-Formalin-fixed paraffin-embedded sections,Western blot and Human
概述
| 产品描述 | Rabbit Polyclonal antibody recognizes TRAF5 |
|---|---|
| 反应物种 | Hu |
| 应用 | IHC-P, WB |
| 宿主 | Rabbit |
| 克隆 | Polyclonal |
| 同位型 | IgG |
| 靶点名称 | TRAF5 |
| 抗原物种 | Human |
| 抗原 | Fusion protein of Human TRAF5. |
| 偶联标记 | Un-conjugated |
| 別名 | TNF receptor-associated factor 5; RING finger protein 84; MGC:39780; RNF84 |
应用说明
| 应用建议 |
|
||||||
|---|---|---|---|---|---|---|---|
| 应用说明 | * The dilutions indicate recommended starting dilutions and the optimal dilutions or concentrations should be determined by the scientist. | ||||||
| 阳性对照 | IHC-P: Human lung cancer and human thyroid cancer. WB: Jurkat. |
||||||
| 实际分子量 | 64 kDa |
属性
| 形式 | Liquid |
|---|---|
| 纯化 | Affinity purified. |
| 缓冲液 | PBS (pH 7.4), 0.05% Sodium azide and 40% Glycerol. |
| 抗菌剂 | 0.05% Sodium azide |
| 稳定剂 | 40% Glycerol |
| 浓度 | 0.9 mg/ml |
| 存放说明 | For continuous use, store undiluted antibody at 2-8°C for up to a week. For long-term storage, aliquot and store at -20°C. Storage in frost free freezers is not recommended. Avoid repeated freeze/thaw cycles. Suggest spin the vial prior to opening. The antibody solution should be gently mixed before use. |
| 注意事项 | For laboratory research only, not for drug, diagnostic or other use. |
生物信息
| 数据库连接 | |
|---|---|
| 基因名称 | TRAF5 |
| 全名 | TNF receptor-associated factor 5 |
| 背景介绍 | The scaffold protein encoded by this gene is a member of the tumor necrosis factor receptor-associated factor (TRAF) protein family and contains a meprin and TRAF homology (MATH) domain, a RING-type zinc finger, and two TRAF-type zinc fingers. TRAF proteins are associated with, and mediate signal transduction from members of the TNF receptor superfamily. This protein is one of the components of a multiple protein complex which binds to tumor necrosis factor (TNF) receptor cytoplasmic domains and mediates TNF-induced activation. Alternate transcriptional splice variants have been characterized. [provided by RefSeq, Jul 2008] |
| 生物功能 | Adapter protein and signal transducer that links members of the tumor necrosis factor receptor family to different signaling pathways by association with the receptor cytoplasmic domain and kinases. Mediates activation of NF-kappa-B and probably JNK. Seems to be involved in apoptosis. Plays a role in mediating activation of NF-kappa-B by EIF2AK2/PKR. [UniProt] |
| 细胞定位 | Cytoplasm. Cytoplasm, cytosol. [UniProt] |
| 预测分子量 | 64 kDa |
检测图片 (3) Click the Picture to Zoom In
-
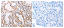
ARG41096 anti-TRAF5 antibody IHC-P image
Immunohistochemistry: Paraffin-embedded Human lung cancer tissue stained with ARG41096 anti-TRAF5 antibody (left) at 1:30 dilution, or the same antibody pre-incubated with antigen (right). (Original magnification: X200)
-
ARG41096 anti-TRAF5 antibody WB image
Western blot: Jurkat cell lysate stained with ARG41096 anti-TRAF5 antibody at 1:450 dilution.
-
ARG41096 anti-TRAF5 antibody IHC-P image
Immunohistochemistry: Paraffin-embedded Human thyroid cancer tissue stained with ARG41096 anti-TRAF5 antibody (left) at 1:30 dilution, or the same antibody pre-incubated with antigen (right). (Original magnification: X200)
