ARG46089
anti-TRAF3IP2 antibody
anti-TRAF3IP2 antibody for Western blot,IHC-Formalin-fixed paraffin-embedded sections and Human
概述
| 产品描述 | Rabbit Polyclonal antibody recognizes TRAF3IP2 |
|---|---|
| 反应物种 | Hu |
| 应用 | IHC-P, WB |
| 宿主 | Rabbit |
| 克隆 | Polyclonal |
| 同位型 | IgG |
| 靶点名称 | TRAF3IP2 |
| 抗原物种 | Human |
| 抗原 | A 14 amino acid synthetic peptide within the first 50 amino acids of human TRAF3IP2. |
| 偶联标记 | Un-conjugated |
| 別名 | TRAF3IP2; CANDF8; Adapter protein CIKS; PSORS13; ACT1; C6orf2; TRAF3-interacting protein 2; C6orf4; C6orf5; C6orf6; CIKS; Connection to IKK and SAPK/JNK; Nuclear factor NF-kappa-B activator 1 |
应用说明
| 应用建议 |
|
||||||
|---|---|---|---|---|---|---|---|
| 应用说明 | * The dilutions indicate recommended starting dilutions and the optimal dilutions or concentrations should be determined by the scientist. |
属性
| 纯化 | Affinity chromatography purified |
|---|---|
| 缓冲液 | PBS and 0.02% Sodium azide. |
| 抗菌剂 | 0.02% Sodium azide |
| 浓度 | 1 mg/ml |
| 存放说明 | For continuous use, store undiluted antibody at 2-8°C for up to a week. For long-term storage, aliquot and store at -20°C. Storage in frost free freezers is not recommended. Avoid repeated freeze/thaw cycles. Suggest spin the vial prior to opening. The antibody solution should be gently mixed before use. |
| 注意事项 | For laboratory research only, not for drug, diagnostic or other use. |
生物信息
| 数据库连接 | |
|---|---|
| 基因名称 | TRAF3IP2 |
| 全名 | TRAF3 interacting protein 2 |
| 背景介绍 | CIKS (for connection to IKK and SAPK/JNK), also called Act1 (for NF-kB activator 1), is a novel protein that associates with and activates IKK (IkB kinase). CIKS/Act1 also activates ATF (activating transcription factor) and AP-1 (activator protein 1) through Jun kinase (JNK). CIKS/Act1 is ubiquitously expressed in human tissues. |
| 生物功能 | Could be involved in the activation of both NF-kappa-B via a NF-kappa-B inhibitor kinase (IKK)-dependent mechanism and stress-activated protein kinase (SAPK)/JNK. [UniProt] |
检测图片 (3) Click the Picture to Zoom In
-
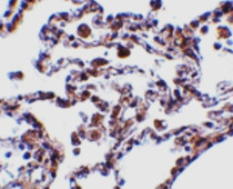
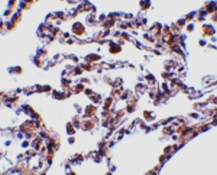
ARG46089 anti-TRAF3IP2 antibody IHC-P image
Immunohistochemistry: Human lung stained with ARG46089 anti-TRAF3IP2 antibody.
-
ARG46089 anti-TRAF3IP2 antibody ICC/IF image
Immunofluorescence: A549 stained with ARG46089 anti-TRAF3IP2 antibody.
-
ARG46089 anti-TRAF3IP2 antibody WB image
Western blot: Human lung stained with ARG46089 anti-TRAF3IP2 antibody.
