ARG44124
anti-TR4 antibody
anti-TR4 antibody for Flow cytometry,IHC-Formalin-fixed paraffin-embedded sections,Western blot and Human,Mouse,Rat,Monkey
Gene Regulation antibody
概述
| 产品描述 | Rabbit Polyclonal recognizes TR4 |
|---|---|
| 反应物种 | Hu, Ms, Rat, Mk |
| 应用 | FACS, IHC-P, WB |
| 宿主 | Rabbit |
| 克隆 | Polyclonal |
| 同位型 | IgG |
| 靶点名称 | TR4 |
| 抗原物种 | Human |
| 抗原 | Human TR4 recombinant protein (Position: R7-L596). |
| 偶联标记 | Un-conjugated |
| 別名 | NR2C2; Nuclear Receptor Subfamily 2 Group C Member 2; TAK1; TR4; Orphan Nuclear Receptor TAK1; Orphan Nuclear Receptor TR4; TR2R1; HTAK1; Nuclear Receptor Subfamily 2, Group C, Member 2; Testicular Nuclear Receptor 4; Nuclear Hormone Receptor TR4; Testicular Receptor 4; Orphan Receptor TR4 |
应用说明
| 应用建议 |
|
||||||||
|---|---|---|---|---|---|---|---|---|---|
| 应用说明 | The dilutions indicate recommended starting dilutions and the optimal dilutions or concentrations should be determined by the scientist. |
属性
| 形式 | Liquid |
|---|---|
| 纯化 | Affinity purification with immunogen. |
| 缓冲液 | 0.9% NaCl, 0.2% Na2HPO4, 0.05% Sodium azide and 4% Trehalose. |
| 抗菌剂 | 0.05% Sodium azide |
| 稳定剂 | 4% Trehalose |
| 浓度 | 0.5 mg/ml |
| 存放说明 | For continuous use, store undiluted antibody at 2-8°C for up to a week. For long-term storage, aliquot and store at -20°C or below. Storage in frost free freezers is not recommended. Avoid repeated freeze/thaw cycles. Suggest spin the vial prior to opening. The antibody solution should be gently mixed before use. |
| 注意事项 | For laboratory research only, not for drug, diagnostic or other use. |
生物信息
| 数据库连接 | |
|---|---|
| 基因名称 | NR2C2 |
| 全名 | Nuclear Receptor Subfamily 2 Group C Member 2 |
| 背景介绍 | Testicular receptor 4 (TR4) is a member of the orphan nuclear receptor superfamily. Data suggests that TR4 may function as a regulator that modulates many signaling pathways. It has been suggested that TR4 is required for normal cerebellar development as TR4 knockout mice exhibit behavioral deficits in motor coordination (Chen, YT et al.,2008) and plays important roles in growth, embryonic and early postnatal survival (Collins, LL, et al., 2004). |
| 生物功能 | Orphan nuclear receptor that can act as a repressor or activator of transcription. An important repressor of nuclear receptor signaling pathways such as retinoic acid receptor, retinoid X, vitamin D3 receptor, thyroid hormone receptor and estrogen receptor pathways. May regulate gene expression during the late phase of spermatogenesis. Together with NR2C1, forms the core of the DRED (direct repeat erythroid-definitive) complex that represses embryonic and fetal globin transcription including that of GATA1. Binds to hormone response elements (HREs) consisting of two 5'-AGGTCA-3' half site direct repeat consensus sequences. Plays a fundamental role in early embryonic development and embryonic stem cells. Required for normal spermatogenesis and cerebellum development. Appears to be important for neurodevelopmentally regulated behavior (By similarity). |
| 细胞定位 | Nucleus |
| 研究领域 | Gene Regulation antibody |
| 预测分子量 | 65 kDa |
| 翻译后修饰 | Acetylation; Isopeptide bond; Phosphoprotein; Ubl conjugation |
检测图片 (5) Click the Picture to Zoom In
-
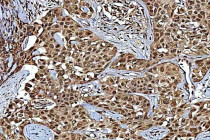
ARG44124 anti-TR4 antibody IHC-P image
Immunohistochemistry: Human acinic cell carcinoma parotid stained with ARG44124 anti-TR4 antibody at 2 μg/ml dilution.
-
ARG44124 anti-TR4 antibody WB image
Western blot: HeLa, Jurkat, PC-3 and 293T stained with ARG44124 anti-TR4 antibody at 0.5 μg/ml dilution.
-
ARG44124 anti-TR4 antibody FACS image
Flow Cytometry: 293T stained with ARG44124 anti-TR4 antibody at 1 µg/10^6 cells dilution.
-
ARG44124 anti-TR4 antibody WB image
Western blot: C6 stained with ARG44124 anti-TR4 antibody at 0.5 μg/ml dilution.
-
ARG44124 anti-TR4 antibody WB image
Western blot: NIH/3T3 stained with ARG44124 anti-TR4 antibody at 0.5 μg/ml dilution.
