ARG64028
anti-TPTE / PTEN2 antibody
anti-TPTE / PTEN2 antibody for IHC-Formalin-fixed paraffin-embedded sections,Western blot and Human
Cancer antibody; Cell Biology and Cellular Response antibody; Signaling Transduction antibody
概述
| 产品描述 | Goat Polyclonal antibody recognizes TPTE / PTEN2 |
|---|---|
| 反应物种 | Hu |
| 应用 | IHC-P, WB |
| 特异性 | This antibody is expected to recognise all reported isoforms (NP_954870.2, NP_954868.1 and NP_954869.1). It may cross-react with the almost identical TPTE2 (GeneID 93492; NP_570141.2, NP_954864.1, NP_954863.1). |
| 宿主 | Goat |
| 克隆 | Polyclonal |
| 同位型 | IgG |
| 靶点名称 | TPTE / PTEN2 |
| 抗原物种 | Human |
| 抗原 | C-ERRTDKTHSEKFQ |
| 偶联标记 | Un-conjugated |
| 別名 | Putative tyrosine-protein phosphatase TPTE; Tumor antigen BJ-HCC-5; PTEN2; Transmembrane phosphatase with tensin homology; CT44; EC 3.1.3.48; Cancer/testis antigen 44 |
应用说明
| 应用建议 |
|
||||||
|---|---|---|---|---|---|---|---|
| 应用说明 | WB: Recommend incubate at RT for 1h. IHC-P: Antigen Retrieval: Steam tissue section in Citrate buffer (pH 6.0). * The dilutions indicate recommended starting dilutions and the optimal dilutions or concentrations should be determined by the scientist. |
属性
| 形式 | Liquid |
|---|---|
| 纯化 | Purified from goat serum by antigen affinity chromatography. |
| 缓冲液 | Tris saline (pH 7.3), 0.02% Sodium azide and 0.5% BSA. |
| 抗菌剂 | 0.02% Sodium azide |
| 稳定剂 | 0.5% BSA |
| 浓度 | 0.5 mg/ml |
| 存放说明 | For continuous use, store undiluted antibody at 2-8°C for up to a week. For long-term storage, aliquot and store at -20°C or below. Storage in frost free freezers is not recommended. Avoid repeated freeze/thaw cycles. Suggest spin the vial prior to opening. The antibody solution should be gently mixed before use. |
| 注意事项 | For laboratory research only, not for drug, diagnostic or other use. |
生物信息
| 数据库连接 |
Swiss-port # P56180 Human Putative tyrosine-protein phosphatase TPTE |
|---|---|
| 背景介绍 | This gene encodes a PTEN-related tyrosine phosphatase which may play a role in the signal transduction pathways of the endocrine or spermatogenic function of the testis. Alternative splicing results in multiple transcript variants. [provided by RefSeq, Mar 2014] |
| 研究领域 | Cancer antibody; Cell Biology and Cellular Response antibody; Signaling Transduction antibody |
| 预测分子量 | 64 kDa |
检测图片 (2) Click the Picture to Zoom In
-
ARG64028 anti-TPTE / PTEN2 antibody WB image
Western Blot: Human Testis lysate (35 µg protein in RIPA buffer) stained with ARG64028 anti-TPTE / PTEN2 antibody at 1 µg/ml dilution.
-
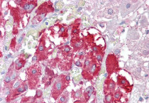
ARG64028 anti-TPTE / PTEN2 antibody IHC-P image
Immunohistochemistry: Paraffin-embedded Human adrenal gland tissue. Antigen Retrieval: Steam tissue section in Citrate buffer (pH 6.0). The tissue section was stained with ARG64028 anti-TPTE / PTEN2 antibody at 2.5 µg/ml dilution followed by AP-staining.
