ARG56911
anti-TPD52L1 / D53 antibody [d1C5]
anti-TPD52L1 / D53 antibody [d1C5] for Flow cytometry,IHC-Formalin-fixed paraffin-embedded sections and Human
概述
| 产品描述 | Mouse Monoclonal antibody [d1C5] recognizes TPD52L1 / D53 |
|---|---|
| 反应物种 | Hu |
| 应用 | FACS, IHC-P |
| 宿主 | Mouse |
| 克隆 | Monoclonal |
| 克隆号 | d1C5 |
| 同位型 | IgG2b, kappa |
| 靶点名称 | TPD52L1 / D53 |
| 抗原物种 | Human |
| 抗原 | Recombinant fragment around aa. 1-131 of Human TPD52L1 / D53. |
| 偶联标记 | Un-conjugated |
| 別名 | Tumor protein D53; Tumor protein D52-like 1; D53; hD53 |
应用说明
| 应用建议 |
|
||||||
|---|---|---|---|---|---|---|---|
| 应用说明 | * The dilutions indicate recommended starting dilutions and the optimal dilutions or concentrations should be determined by the scientist. |
属性
| 形式 | Liquid |
|---|---|
| 纯化 | Purification with Protein G. |
| 缓冲液 | PBS (pH 7.4), 0.02% Sodium azide and 10% Glycerol. |
| 抗菌剂 | 0.02% Sodium azide |
| 稳定剂 | 10% Glycerol |
| 浓度 | 1 mg/ml |
| 存放说明 | For continuous use, store undiluted antibody at 2-8°C for up to a week. For long-term storage, aliquot and store at -20°C. Storage in frost free freezers is not recommended. Avoid repeated freeze/thaw cycles. Suggest spin the vial prior to opening. The antibody solution should be gently mixed before use. |
| 注意事项 | For laboratory research only, not for drug, diagnostic or other use. |
生物信息
| 数据库连接 | |
|---|---|
| 基因名称 | TPD52L1 |
| 全名 | tumor protein D52-like 1 |
| 背景介绍 | This gene encodes a member of the tumor protein D52 (TPD52) family. The encoded protein contains a coiled-coil domain and may form homo- or hetero-dimer with TPD52 family members. The protein is reported to be involved in cell proliferation and calcium signaling. It also interacts with the mitogen-activated protein kinase kinase kinase 5 (MAP3K5/ASK1) and positively regulates MAP3K5-induced apoptosis. Multiple alternatively spliced transcript variants have been observed, but the full-length nature of some variants has not yet been determined. [provided by RefSeq, Jul 2008] |
| 预测分子量 | 22 kDa |
检测图片 (2) Click the Picture to Zoom In
-
ARG56911 anti-TPD52L1 / D53 antibody [d1C5] FACS image
Flow Cytometry: A431 cell line stained with ARG56911 anti-TPD52L1 / D53 antibody [d1C5] at 2-5 µg for 1x10^6 cells (red line). Secondary antibody: Goat anti-Mouse IgG Alexa fluor 488 conjugate. Isotype control antibody was Mouse IgG (black line).
-
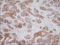
ARG56911 anti-TPD52L1 / D53 antibody [d1C5] IHC-P image
Immunohistochemistry: Paraffin-embedded sections of Human gastric cancer tissues stained with ARG56911 anti-TPD52L1 / D53 antibody [d1C5] at 1:200 for o/n at RT.
