ARG57504
anti-TOMM20 antibody [1B2]
anti-TOMM20 antibody [1B2] for Flow cytometry,ICC/IF,Western blot and Human
概述
| 产品描述 | Mouse Monoclonal antibody [1B2] recognizes TOMM20 |
|---|---|
| 反应物种 | Hu |
| 应用 | FACS, ICC/IF, WB |
| 宿主 | Mouse |
| 克隆 | Monoclonal |
| 克隆号 | 1B2 |
| 同位型 | IgG1, kappa |
| 靶点名称 | TOMM20 |
| 抗原物种 | Human |
| 抗原 | Recombinant Human TOMM20 (aa. 25-145) purified from E. coli. |
| 偶联标记 | Un-conjugated |
| 別名 | Outer mitochondrial membrane receptor Tom20; MAS20; Mitochondrial 20 kDa outer membrane protein; MOM19; Mitochondrial import receptor subunit TOM20 homolog; TOM20 |
应用说明
| 应用建议 |
|
||||||||
|---|---|---|---|---|---|---|---|---|---|
| 应用说明 | * The dilutions indicate recommended starting dilutions and the optimal dilutions or concentrations should be determined by the scientist. |
属性
| 形式 | Liquid |
|---|---|
| 纯化 | Purification with Protein A. |
| 缓冲液 | PBS (pH 7.4), 0.02% Sodium azide and 10% Glycerol. |
| 抗菌剂 | 0.02% Sodium azide |
| 稳定剂 | 10% Glycerol |
| 浓度 | 1 mg/ml |
| 存放说明 | For continuous use, store undiluted antibody at 2-8°C for up to a week. For long-term storage, aliquot and store at -20°C. Storage in frost free freezers is not recommended. Avoid repeated freeze/thaw cycles. Suggest spin the vial prior to opening. The antibody solution should be gently mixed before use. |
| 注意事项 | For laboratory research only, not for drug, diagnostic or other use. |
生物信息
| 数据库连接 |
Swiss-port # Q15388 Human Mitochondrial import receptor subunit TOM20 homolog |
|---|---|
| 基因名称 | TOMM20 |
| 全名 | translocase of outer mitochondrial membrane 20 homolog (yeast) |
| 生物功能 | Central component of the receptor complex responsible for the recognition and translocation of cytosolically synthesized mitochondrial preproteins. Together with TOM22 functions as the transit peptide receptor at the surface of the mitochondrion outer membrane and facilitates the movement of preproteins into the TOM40 translocation pore (By similarity). [UniProt] |
| 预测分子量 | 16 kDa |
| 翻译后修饰 | Ubiquitinated by PRKN during mitophagy, leading to its degradation and enhancement of mitophagy. Deubiquitinated by USP30. |
检测图片 (3) Click the Picture to Zoom In
-
ARG57504 anti-TOMM20 antibody [1B2] ICC/IF image
Immunoflorescense: HeLa cells stained with ARG57504 anti-TOMM20 antibody [1B2] at 1:100 dilution. The secondary antibody (green) was used Alexa Fluor 488. DAPI was stained the cell nucleus (blue).
-
ARG57504 anti-TOMM20 antibody [1B2] FACS image
Flow Cytometry: HeLa cells stained with ARG57504 anti-TOMM20 antibody [1B2] at 2 - 5 µg/10^6 cells (red). Goat-anti Mouse IgG (Alexa fluor 488) was used as the secondary antibody. Mouse monoclonal IgG was used as the isotype control (dark gray), cells without incubation with primary and secondary antibody was used as the negative control (light gray).
-
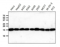
ARG57504 anti-TOMM20 antibody [1B2] WB image
Western blot: 40 µg of HeLa, HepG2, A431, K562, A549, 293T, MCF7, SK-OV-3 and PC3 cell lysates stained with ARG57504 anti-TOMM20 antibody [1B2] at 1:1000 dilution.

