ARG46591
anti-TMEM59 antibody
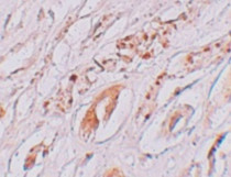
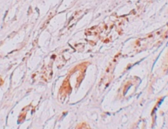
anti-TMEM59 antibody for Western blot,IHC-Formalin-fixed paraffin-embedded sections and Human
概述
| 产品描述 | Rabbit Polyclonal antibody recognizes TMEM59 |
|---|---|
| 反应物种 | Hu |
| 应用 | IHC-P, WB |
| 宿主 | Rabbit |
| 克隆 | Polyclonal |
| 同位型 | IgG |
| 靶点名称 | TMEM59 |
| 抗原物种 | Human |
| 抗原 | A 16 amino acid synthetic peptide within the last 50 amino acids of human TMEM59. |
| 偶联标记 | Un-conjugated |
| 別名 | TMEM59; UNQ169; HSPC001; C1orf8; Liver membrane-bound protein; PRO195; Transmembrane protein 59; DCF1 |
应用说明
| 应用建议 |
|
||||||
|---|---|---|---|---|---|---|---|
| 应用说明 | * The dilutions indicate recommended starting dilutions and the optimal dilutions or concentrations should be determined by the scientist. |
属性
| 纯化 | Affinity chromatography purified |
|---|---|
| 缓冲液 | PBS and 0.02% Sodium azide. |
| 抗菌剂 | 0.02% Sodium azide |
| 浓度 | 1 mg/ml |
| 存放说明 | For continuous use, store undiluted antibody at 2-8°C for up to a week. For long-term storage, aliquot and store at -20°C. Storage in frost free freezers is not recommended. Avoid repeated freeze/thaw cycles. Suggest spin the vial prior to opening. The antibody solution should be gently mixed before use. |
| 注意事项 | For laboratory research only, not for drug, diagnostic or other use. |
生物信息
| 数据库连接 | |
|---|---|
| 基因名称 | TMEM59 |
| 全名 | transmembrane protein 59 |
| 背景介绍 | This gene encodes a protein shown to regulate autophagy in response to bacterial infection. This protein may also regulate the retention of amyloid precursor protein (APP) in the Golgi apparatus through its control of APP glycosylation. Overexpression of this protein has been found to promote apoptosis in a glioma cell line. Alternative splicing results in multiple transcript variants. [provided by RefSeq, Feb 2015] |
| 生物功能 | Acts as a regulator of autophagy in response to S.aureus infection by promoting activation of LC3 (MAP1LC3A, MAP1LC3B or MAP1LC3C). Acts by interacting with ATG16L1, leading to promote a functional complex between LC3 and ATG16L1 and promoting LC3 lipidation and subsequent activation of autophagy (PubMed:27273576, PubMed:23376921). Modulates the O-glycosylation and complex N-glycosylation steps occurring during the Golgi maturation of several proteins such as APP, BACE1, SEAP or PRNP (PubMed:20427278). Inhibits APP transport to the cell surface and further shedding (PubMed:20427278). [UniProt] |
| 细胞定位 | Late endosome membrane; Single-pass type I membrane protein. Lysosome membrane; Single-pass type I membrane protein. Cell membrane; Single-pass type I membrane protein. Golgi apparatus membrane; Single-pass type I membrane protein. Note=Mainly localizes to late endosomes/lysosomes. Probably first exported to the cell surface and then actively endocytosed to transiently localize in early endosomes on its way to the late endosomal/lysosomal compartment where it becomes quickly degraded. [UniProt] |
| 预测分子量 | 36 kDa |
| 翻译后修饰 | N-glycosylated. [UniProt] |
检测图片 (2) Click the Picture to Zoom In
